Owl's eye appearance

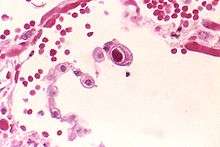
Cytomegalovirus infection of a lung pneumocyte, showing owl's eye appearance of a large cell at center.
Owl's eye appearance is a pattern in medical radiology and histopathology, and may refer to:
- Owl's eye appearance of inclusion bodies, which is highly specific for cytomegalovirus infection.[1]
- Owl's eye appearance of entire nucleus - a finding in Reed–Sternberg cells in individuals with Hodgkin's lymphoma.
- Owl's eye appearance of the Lentiform nucleus of the basal ganglia on head CT scan images in individuals with cerebral hypoxia[2]
References
- ↑ Mattes FM, McLaughlin JE, Emery VC, Clark DA, Griffiths PD (August 2000). "Histopathological detection of owl's eye inclusions is still specific for cytomegalovirus in the era of human herpesviruses 6 and 7". J. Clin. Pathol. 53 (8): 612–4. doi:10.1136/jcp.53.8.612. PMC 1762915
. PMID 11002765. - ↑ http://radiographics.rsna.org/content/28/2/417.full
This article is issued from Wikipedia - version of the 5/27/2016. The text is available under the Creative Commons Attribution/Share Alike but additional terms may apply for the media files.