Pellegrini–Stieda syndrome

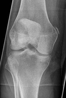
Pellegrini-Stieda syndrome. Also visible is a fracture of the patella.
Pellegrine–Stieda syndrome (also called Stieda disease and Köhler–Pellegrine–Stieda disease) refers to the ossification of the superior part of the medial collateral ligament of the knee. It is a common incidental finding on knee radiographs. It is named for the Italian surgeon A. Pellegrini (b. 1877) and the German surgeon A. Stieda (1869–1945).[1]
References
Further reading
- Altschuler, Eric L.; Bryce, Thomas N. (December 2006). "Images in clinical medicine. Pellegrini-Stieda syndrome". The New England Journal of Medicine. 354 (1): e1. doi:10.1056/NEJMicm040406. PMID 16394294.
- Wang, JC; Shapiro, MS (1995). "Pellegrini-Stieda syndrome". American journal of orthopedics. 24 (6): 493–7. PMID 7670873.
External links
This article is issued from Wikipedia - version of the 4/16/2014. The text is available under the Creative Commons Attribution/Share Alike but additional terms may apply for the media files.