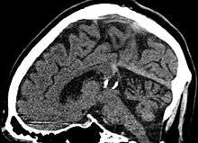
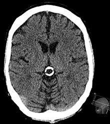
Pineal gland cyst


A pineal gland cyst is a usually benign (non-malignant) cyst in the pineal gland, a small endocrine gland in the brain. Historically, these fluid-filled bodies appeared on 1-4% of magnetic resonance imaging (MRI) brain scans, but were more frequent at death, seen in 21-41% of autopsies.[1] A 2007 study by Pua et al. found a frequency of 23% in brain scans (with a mean diameter of 4.3 mm).[1]
It was once believed that smaller cysts (less than 5.0 mm) were usually asymptomatic, but for larger cysts (greater than 5.0 mm), symptoms could include headache, unexpected seizures, visual disturbances, memory loss, cognitive decline, muscle fasciculations, nausea, weakness, fatigue, light sensitivity, tinnitus, circadian rhythm dysfunction, or hydrocephalus if the cyst impinged on the superior colliculi or caused obstruction of the cerebral aqueduct. Newer research shows that the size of the cyst does not necessarily correlate to the presence of symptoms. In some cases, it will need to be removed before life-threatening situations occur.
Despite the pineal gland being in the center of the brain, due to recent advancements in endoscopic medicine, endoscopic brain surgery to drain and/or remove the cyst can be done with the patient spending 1-3 nights in the hospital, and being fully recovered in weeks, rather than a year, as is the case with open-skull brain surgery.[2]
The National Organization for Rare Disorders states that pineal cysts larger than 5.0 mm are "rare findings" and are possibly symptomatic. If narrowing of the cerebral aqueduct occurs, many neurological symptoms may exist, including headaches, vertigo, nausea, muscle fasciculations, eye sensitivity, and ataxia. Continued monitoring of the cyst might be recommended to monitor its growth, and surgery may be necessary.[3]
In a small population of people with larger, symptomatic cysts, the following comorbid conditions have been noted: Pseudotumor cerebri (elevated intracranial pressure), empy sella, hormonal disturbances, flattened optic discs, chiari malformation, sjogren's, POTS, dysautonomia, PCOS.

References
- 1 2 Pu, Y.; Mahankali, S.; Hou, J.; Li, J.; Lancaster, J.L.; Gao, J.-H.; Appelbaum, D.E.; Fox, P.T. (2007). "High Prevalence of Pineal Cysts in Healthy Adults Demonstrated by High-Resolution, Noncontrast Brain MR Imaging". American Journal of Neuroradiology. 28 (9): 1706–9. doi:10.3174/ajnr.A0656. PMID 17885233.
- ↑ Shahinian, Hrayr; Ra, Yoon (2013). "Fully Endoscopic Resection of Pineal Region Tumors". Journal of Neurological Surgery Part B: Skull Base. 74 (3): 114–7. doi:10.1055/s-0033-1338165. PMC 3712663
. PMID 24436899. - ↑ Pineal Cysts, Symptomatic, National Organization for Rare Disorders
Further reading
- Na, Joo-Young; Lee, Kyung-Hwa; Kim, Hyung-Seok; Park, Jong-Tae (2014). "An Autopsy Case of Sudden Unexpected Death Due to a Glial Cyst of the Pineal Gland". The American Journal of Forensic Medicine and Pathology. 35 (3): 186–8. doi:10.1097/PAF.0000000000000107.
- Milroy, CM; Smith, CL (1996). "Sudden death due to a glial cyst of the pineal gland". Journal of Clinical Pathology. 49 (3): 267–9. doi:10.1136/jcp.49.3.267. PMC 500415
. PMID 8675746. - Richardson, JK; Hirsch, CS (1986). "Sudden, unexpected death due to "pineal apoplexy"". The American Journal of Forensic Medicine and Pathology. 7 (1): 64–8. doi:10.1097/00000433-198603000-00014. PMID 3728423.
- Mena, Hernando; Armonda, Rocco A.; Ribas, Jorge L.; Ondra, Steven L.; Rushing, Elisabeth J. (1997). "Nonneoplastic pineal cysts: A clinicopathologic study of twenty-one cases". Annals of Diagnostic Pathology. 1 (1): 11–8. doi:10.1016/S1092-9134(97)80004-4. PMID 9869821.
- Ayhan, Selim; Bal, Ercan; Palaoglu, Selcuk; Cila, Aysenur (2011). "Pineal cyst apoplexy: report of an unusual case managed conservatively". Neurologia i Neurochirurgia Polska. 45 (6): 604–7. doi:10.1016/S0028-3843(14)60129-8. PMID 22212992.
- Kwee, AB; Kubat, B; Kwee, WS (2003). "Diagnose in beeld (166). Plotse dood bij een jonge vrouw" [Diagnostic image (166). Sudden death in a young woman. Cyst of the pineal gland with a prominent cerebellar tonsillar herniation]. Nederlands Tijdschrift Voor Geneeskunde (in Dutch). 147 (47): 2327. PMID 14669539.
- Gore, Pankaj A.; Gonzalez, L. Fernando; Rekate, Harold L.; Nakaji, Peter (2008). "Endoscopic supracerebellar infratentorial approach for pineal cyst resection: technical case report". Neurosurgery. 62 (3 Suppl 1): 108–9; discussion 109. doi:10.1227/01.neu.0000317380.60938.79. PMID 18424974.