Pituicytoma
| Pituicytoma | |
|---|---|
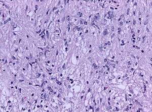
![]() | |
| Biopsy specimen of a pituicytoma of the posterior pituitary gland (H&E stain, x200 magnification) | |
| Classification and external resources | |
| Specialty | oncology |
| ICD-10 | C75.1 |
| ICD-O | 9432/1 |
Pituicytoma is a rare brain tumor. It grows at the base of the brain from the pituitary gland. This tumor is thought to be derived from the parenchymal cells of the posterior lobe of the pituitary gland, called pituicytes. Some researchers believe that they arise from the folliculostellate cells in the anterior lobe of the pituitary. As such, it is a low-grade glioma. It occurs in adults and symptoms include visual disturbance and endocrine dysfunction. They are often mistaken for pituitary adenomas which have a similar presentation and occur in the same location. The treatment consists of surgical resection, which is curative in most cases.[1]
References
- Brat D, Scheithauer B, Staugaitis S, Holtzman N, Morgello S, Burger P (2000). "Pituicytoma: A distinctive low grade glioma of the neurohypophysis". Am J Surg Pathol. 24: 362–368. doi:10.1097/00000478-200003000-00004.
- Cenacchi G, Giovenali P, Castrioto C, Giangaspero F (2001). "Pituicytoma: Ultrastructural evidence of a possible origin from folliculo-stellate cells of the adenohypophysis". Ultrastruct Pathol. 25: 309–312. doi:10.1080/019131201753136331.
- Danila DC, Zhang X, Zhou Y, Dickerson GR, Fletcher JA, Hedley-Whyte ET, Selig MK, Johnson SR, Klibanski A (2000). "A human pituitary tumor-derived folliculo-stellate cell line". J Clin Endocrinol Metab. 85: 1180–1187. doi:10.1210/jc.85.3.1180.
- Figarella-Branger D, Dufour H, Fernandez C, Bouvier-Labit C, Grisoli F, Pellissier JF (2002). "Pituicytomas, a mis-diagnosed benign tumor of the neurohypophysis: Report of three cases". Acta Neuropathol. 104: 313–319.
- Hurley T, D'Angelo C, Clasen R, Wilkinson S, Passavoy R (1994). "Magnetic resonance imaging and pathological analysis of a pituicytoma: Case report". Neurosurgery. 35: 314–317. doi:10.1097/00006123-199408000-00021.
- Inoue K, Couch EF, Takano K, Ogawa S (1999). "The structure and function of folliculo-stellate cells in the anterior pituitary gland". Arch Histol Cytol. 62: 205–218. doi:10.1679/aohc.62.205.
- ↑ Feng M, Carmichael JD, Bonert V, Bannykh S, Mamelak AN (2014). "Surgical management of pituicytomas: case series and comprehensive literature review.". Pituitary. 17 (5): 399–413. doi:10.1007/s11102-013-0515-z. PMID 24037647.
This article is issued from Wikipedia - version of the 11/7/2016. The text is available under the Creative Commons Attribution/Share Alike but additional terms may apply for the media files.
