Polymyositis
| Polymyositis | |
|---|---|
![]() | |
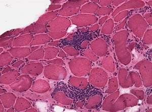
| Micrograph of polymyositis. Muscle biopsy. H&E stain. | |
| Classification and external resources | |
| Specialty | Rheumatology |
| ICD-10 | M33.2 |
| ICD-9-CM | 710.4 |
| DiseasesDB | 10343 |
| MedlinePlus | 000428 |
| eMedicine | med/3441 emerg/474 |
| MeSH | D017285 |
Polymyositis (PM) is a type of chronic inflammation of the muscles (inflammatory myopathy) related to dermatomyositis and inclusion body myositis. Its name means "inflammation of many muscles" (poly- + myos- + -itis). The inflammation is predominantly of the endomysium in polymyositis, whereas dermatomyositis is characterized by primarily perimysial inflammation.[1]
Epidemiology
Polymyositis, like dermatomyositis, strikes females with greater frequency than males.
Signs and symptoms
The hallmark of polymyositis is weakness and/or loss of muscle mass in the proximal musculature, as well as flexion of the neck and torso.[1] These symptoms can be associated with marked pain in these areas as well. The hip extensors are often severely affected, leading to particular difficulty in ascending stairs and rising from a seated position. The skin involvement of dermatomyositis is absent in polymyositis. Dysphagia (difficulty swallowing) or other problems with esophageal motility occur in as many as 1/3 of patients. Low grade fever and peripheral adenopathy may be present. Foot drop in one or both feet can be a symptom of advanced polymyositis and inclusion body myositis. The systemic involvement of polymyositis includes interstitial lung disease and cardiac disease, such as heart failure and conduction abnormalities.[2]
Polymyositis tends to become evident in adulthood, presenting with bilateral proximal muscle weakness often noted in the upper legs due to early fatigue while walking. Sometimes the weakness presents itself as an inability to rise from a seated position without help or an inability to raise one's arms above one's head. The weakness is generally progressive, accompanied by lymphocytic inflammation (mainly cytotoxic T cells).
Associated Illnesses
Polymyositis and the associated inflammatory myopathies have an associated increased risk of malignancy.[3] The features they found associated with an increased risk of cancer was older age, age greater than 45, male sex, dysphagia, cutaneous necrosis, cutaneous vasculitis, rapid onset of myositis (<4 weeks), elevated CK, higher ESR, higher CRP levels. Several factors were associated with lower-than-average risk, including the presence of ILD, arthritis/arthralgia, Raynaud's syndrome, or anti-Jo-1 antibody.[3] The malignancies that are associated are nasopharyngeal cancer, lung cancer, non-hodgkins lymphoma & bladder cancer amongst others.[4]
Cardiac involvement manifests itself typically as heart failure, and is present in up to 77% of patients.[2] Interstitial lung disease is found in up to 65% of patients with polymyositis, as defined by HRCT or restrictive ventilatory defects compatible with ILD.[5]
Causes
Polymyositis is an inflammatory myopathy mediated by cytotoxic T cells with an as yet unknown autoantigen, while dermatomyositis is a humorally mediated angiopathy resulting in myositis and a typical dermatitis.[6] The cause of polymyositis is unknown and may involve viruses and autoimmune factors. Cancer may trigger polymyositis and dermatomyositis, possibly through an immune reaction against cancer that also attacks a component of muscles.[7]
Diagnosis
Diagnosis is fourfold, history and physical examination, elevation of creatine kinase, electromyograph (EMG) alteration, and a positive muscle biopsy.[8]
The hallmark clinical features of polymyositis is proximal muscle weakness, with less important findings being muscle pain and dysphagia. Cardiac and pulmonary findings will be present in approximately 25% of cases of patients with polymyositis.
Sporadic inclusion body myositis (sIBM): IBM is often confused with (misdiagnosed as) polymyositis or dermatomyositis that does not respond to treatment is likely IBM. sIBM comes on over months to years; polymyositis comes on over weeks to months. Polymyositis tends to respond well to treatment, at least initially; IBM does not.
Treatment
The first line treatment for polymyositis is corticosteroids. Specialized exercise therapy may supplement treatment to enhance quality of life.
Notable cases
- Dan Christensen, painter of abstract art. Died due to heart failure caused by polymyositis.[9]
- Robert Erickson, American composer and teacher who was a leading modernist exponent of "12-tone" composition. Died from the effects of polymyositis.[10]
- David Lean, film director.[11][12]
See also
References
- 1 2 Kenneth W. Strauss; Hermann Gonzalez-Buritica; Munther A. Khamashta; Graham R.V. Hughes (1989). "Polymyositis-dermatomyositis: a clinical review". Postgraduate Medical Journal. 65: 437–443. doi:10.1136/pgmj.65.765.437.
- 1 2 Zhang Lu; Wang Guo-chun; Ma Li; Zu Ning (2012). "Cardiac Involvement in Adult Polymyositis or Dermatomyositis: A Systematic Review". Clinical Cardiology. 35 (11): 686–691. doi:10.1002/clc.22026.
- 1 2 Xin Lu; Hanbo Yang; Xiaoming Shu; Fang Chen; Yinli Zhang; Sigong Zhang; Qinglin Peng; Xiaolan Tian; Guochun Wang (2014). "Factors Predicting Malignancy in Patients with Polymyositis and Dermatomyostis: A Systematic Review and Meta-Analysis". PLOS ONE. 9 (4): e94128. doi:10.1371/journal.pone.0094128.
- ↑ Hill, C.L.; Zhang, Y.; Sigurgeirsson, B.; Pukkala, E.; Mellemkjaer, L.; Airio, A.; Evans, S.R.; Felson, D.T. (January 2001). "Frequency of specific cancer types in dermatomyositis and polymyositis: a population-based study". Lancet. 357 (9250): 96–100. doi:10.1016/S0140-6736(00)03540-6. PMID 11197446. Retrieved 20 April 2015.
- ↑ M Fathi; M Dastmalchi; E Rasmussen; I E Lundberg; G Tornling (2004). "Interstitial lung disease, a common manifestation of newly diagnosed polymyositis and dermatomyositis". Ann Rheum Dis. 63: 297–301. doi:10.1136/ard.2003.006122.
- ↑ Gerald J D Hengstman, Baziel G M van Engelen (2004). "Polymyositis, invasion of non-necrotic muscle fibres, and the art of repetition". British Medical Journal. 329: 1464–1467. doi:10.1136/bmj.329.7480.1464.
- ↑ Hajj-ali, Rula A. (August 2013). "Polymyositis and Dermatomyositis". Merck Manual Home Edition. Retrieved 20 April 2015.
- ↑ SCOLA, ROSANA HERMINIA, WERNECK, LINEU CESAR, PREVEDELLO, DANIEL MONTE SERRAT, TODERKE, EDIMAR LEANDRO, & IWAMOTO, FÁBIO MASSAITI. (2000). "Diagnosis of dermatomyositis and polymyositis: a study of 102 cases.". Arquivos de Neuro-Psiquiatria. 58: 789–799. doi:10.1590/S0004-282X2000000500001.
- ↑ "Dan Christensen, 64, Painter of Abstract Art, Dies". The New York Times. 27 January 2007. Retrieved 20 April 2015.
- ↑ "Obutiary - Robert Erickson". SF Gate. 29 April 1997. Retrieved 20 April 2015.
- ↑ Stevens, Jr., George (2006). Conversations with the Great Moviemakers of Hollywood's Golden Age at the American Film Institute. Knopf. p. 427. ISBN 978-1-4000-4054-4.
- ↑ Brownlow, Kevin (1996). David Lean: A Biography. Macmillan. pp. 1466–1467. ISBN 978-1-4668-3237-4. Retrieved 20 April 2015.
