Progressive transformation of germinal centres
| Progressive transformation of germinal centres | |
|---|---|
![]() | |
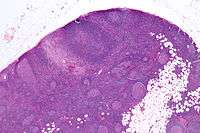
| Micrograph of a lymph node biopsy showing progressive transformation of germinal centres. H&E stain. | |
| Classification and external resources |
Progressive transformation of germinal centres, abbreviated PTGCs and also progressive transformation of germinal centers, is a reactive lymph node process of undetermined etiology.
Symptoms
PTGC is usually characterized by localized lymphadenopathy and is otherwise typically asymptomatic.
Diagnosis

PTGC is diagnosed by surgical excision of the affected lymph node(s), and examination by a pathologist. The differential diagnosis includes non-neoplastic causes of lymphadenopathy (e.g. cat-scratch fever, Kikuchi disease) and malignancy, i.e. cancer.
Microscopic appearance
PTGCs is characterized by:[1]
- follicular hyperplasia (many follicles),
- focally large germinal centres, with poorly demarcated germinal centre (GC)/mantle zone interfaces (as GCs infiltrated by mantle zone lymphocytes), and
- an expanded mantle zone.
Treatment
PTGC is treated by excisional biopsy and follow-up. It may occasionally recur and in a small proportion of patients has been reported to subsequently develop Hodgkin lymphoma (usually nodular lymphocyte predominant Hodgkin lymphoma).[2][3]
See also
References
- ↑ Verma A, Stock W, Norohna S, Shah R, Bradlow B, Platanias LC (2002). "Progressive transformation of germinal centers. Report of 2 cases and review of the literature". Acta Haematol. 108 (1): 33–8. doi:10.1159/000063057. PMID 12145465.
- ↑ Hansmann ML, Fellbaum C, Hui PK, Moubayed P (February 1990). "Progressive transformation of germinal centers with and without association to Hodgkin's disease". Am. J. Clin. Pathol. 93 (2): 219–26. PMID 2405631.
- ↑ Kojima M, Nakamura S, Motoori T, et al. (April 2003). "Progressive transformation of germinal centers: a clinicopathological study of 42 Japanese patients". Int. J. Surg. Pathol. 11 (2): 101–7. doi:10.1177/106689690301100205. PMID 12754626.
