Psammoma body

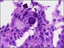
Micrograph of psammoma body in the centre of the field in a meningioma of brain. H&E stain.
A psammoma body is a round collection of calcium, seen microscopically. The term is derived from the Greek word ψάμμος (psámmos), meaning "sand".
Etiology
Psammoma bodies are associated with the papillary (nipple-like) histomorphology and are thought to arise from (1) the infarction and calcification of papillae tips and (2) calcification of intralymphatic tumor thrombi.[1]
Association with lesions
Psammoma bodies are commonly seen in certain tumors such as:
- Papillary thyroid carcinoma
- Papillary renal cell carcinoma
- Micropapillary subtype of lung adenocarcinoma
- Ovarian papillary serous cystadenoma and cystadenocarcinoma[2]
- Endometrial adenocarcinomas (Papillary serous carcinoma ~3%-4%)
- Meningiomas, in the central nervous system[3]
- Peritoneal and Pleural Mesothelioma
- Somatostatinoma (pancreas)[4]
- Prolactinoma of the pituitary [5] ...
Benign lesions

Micrograph of a psammomatous melanotic schwannoma with a psammoma body, as may be seen in Carney complex. H&E stain.
Psammoma bodies may be seen in:
- Endosalpingiosis[6]
- Psammomatous melanotic schwannoma
- Melanocytic nevus[7]
Appearance
Psammoma bodies usually have a laminar appearance, are circular, acellular and basophilic.
References
- ↑ Johannessen JV, Sobrinho-Simões M (September 1980). "The origin and significance of thyroid psammoma bodies". Lab. Invest. 43 (3): 287–96. PMID 7401638.
- ↑ Ovarian papillary serous cystadenocarcinoma at WebPath, The Internet Pathology Laboratory for Medical Education at Mercer University School of Medicine. Retrieved July 2011
- ↑ http://spinwarp.ucsd.edu/neuroweb/Text/br-300b.htm
- ↑ 10.1148/rg.306105523, October 2010, RadioGraphics, 30, 1445-1464
- ↑ Robbin's Pathology, Eight Ed
- ↑ Hallman KB, Nahhas WA, Connelly PJ (September 1991). "Endosalpingiosis as a source of psammoma bodies in a Papanicolaou smear. A case report". J Reprod Med. 36 (9): 675–8. PMID 1774734.
- ↑ Rapini, Ronald. Practical Dermatopathology. Elsevier Mosby, 2005, p. 10.
External links
| Look up papillary in Wiktionary, the free dictionary. |
Slides:
This article is issued from Wikipedia - version of the 11/30/2016. The text is available under the Creative Commons Attribution/Share Alike but additional terms may apply for the media files.