Porokeratosis
| Porokeratosis | |
|---|---|
|
| |
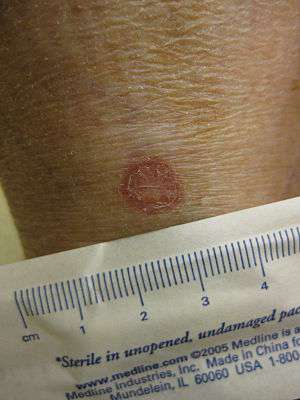
| A porokeratosis lesion in a patient with disseminated superficial actinic porokeratosis. | |
| Classification and external resources | |
| OMIM | 175800, 175850 175860, 175800, 175850 |
| DiseasesDB | 33408, 32454, 34839.htm 31356, 33408, 32454, 34839 |
| eMedicine | article/1059123 |
| MeSH | D017499 |
Porokeratosis (or parakeratosis) is a specific disorder of keratinization that is characterized histologically by the presence of a cornoid lamella, a thin column of closely stacked, parakeratotic cells extending through the stratum corneum with a thin or absent granular layer.[1]:532
Types
Porokeratosis may be divided into the following clinical types:[1]:532
- Plaque-type porokeratosis (also known as "Classic porokeratosis" and "Porokeratosis of Mibelli"[2]) is characterized by skin lesions that start as small, brownish papules that slowly enlarge to form irregular, annular, hyperkeratotic or verrucous plaques.[1]:533[3]:566 Sometimes they may show gross overgrowth and even horn-like structures may develop.[4] Skin malignancy, although rare, is reported from all types of porokeratosis. Squamous cell carcinomae has been reported to develop in Mibelli's type porokeratosis over partianal areas involving anal mucosa. This was the first report mentioning mucosal malignancy in any form of porokeratosis.[4]
- Disseminated superficial porokeratosis is a more generalized processes and involves mainly the extremities in a bilateral, symmetric fashion.[1]:533 In about 50% of cases, skin lesions only develop in sun-exposed areas, and this is referred to as disseminated superficial actinic porokeratosis[1]:533
- Porokeratosis palmaris et plantaris disseminata is characterized by skin lesions that are superficial, small, relatively uniform, and demarcated by a distinct peripheral ridge of no more than 1mm in height.[1]:534[2]:1668[3]:567
- Linear porokeratosis is characterized clinically skin lesions are identical to those of classic porokeratosis, including lichenoid papules, annular lesions, hyperkeratotic plaques with central atrophy, and the characteristic peripheral ridge.[1][2]:1668[3]:567
- Punctate porokeratosis is a skin condition associated with either classic porokeratosis or linear porokeratosis types of porokeratosis, and is characterized by multiple, minute, and discrete punctate, hyperkeratotic, seed-like skin lesions surrounded by a thin, raised margin on the palms and soles.[1]:535[2]:1668
- Porokeratosis plantaris discreta is a skin condition that occurs in adults, with a 4:1 female preponderance, characterized by a sharply marginated, rubbery, wide-based papules.[3]:213 It is also known as "Steinberg's lesion".[5] It was characterized in 1970.[6]
Pathology

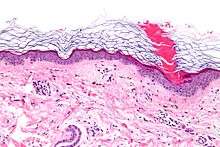
Micrograph of a case of porokeratosis showing a characteristic cornoid lamella (dark pink/red structure in the right/upper portion of the image). H&E stain.
Porokeratosis has a characteristic histomorphologic feature known as a cornoid lamella.
See also
- List of cutaneous conditions
- List of cutaneous conditions associated with increased risk of nonmelanoma skin cancer
References
- 1 2 3 4 5 6 7 8 Freedberg, et al. (2003). Fitzpatrick's Dermatology in General Medicine. (6th ed.). McGraw-Hill. ISBN 0-07-138076-0.
- 1 2 3 4 Rapini, Ronald P.; Bolognia, Jean L.; Jorizzo, Joseph L. (2007). Dermatology: 2-Volume Set. St. Louis: Mosby. p. 1668. ISBN 1-4160-2999-0.
- 1 2 3 4 James, William; Berger, Timothy; Elston, Dirk (2005). Andrews' Diseases of the Skin: Clinical Dermatology. (10th ed.). Saunders. ISBN 0-7216-2921-0.
- 1 2 Familial disseminated plaque type porokeratosis with multiple horns and squamous cell carcinoma involving anal skin
- ↑ Lemont H (2008). "What's your diagnosis? Porokeratosis plantaris discreta (Steinberg's lesion)". J Am Podiatr Med Assoc. 98 (4): 337–8. PMID 18685058.
- ↑ Taub J, Steinberg MD (1970). "Porokeratosis plantaris discreta, a previously unrecognized dermatopathological entity". Int. J. Dermatol. 9 (2): 83–90. doi:10.1111/j.1365-4362.1970.tb04584.x. PMID 5426632.
External links
- Database of rare diseases at Orphanet
- Rare Disease Foundation
- NIH's Genetic and Rare Diseases Information Center
- Swedish Socialstyrelsens Rare Disease Database (In English)
- e-rare: experimental diagnostic system for Rare Diseases (In English and Italian) please read disclaimer
- www.DSAPinstitute.org
This article is issued from Wikipedia - version of the 5/18/2016. The text is available under the Creative Commons Attribution/Share Alike but additional terms may apply for the media files.