Quadriceps tendon rupture
| Quadriceps tendon rupture | |
|---|---|
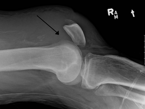
![]() | |
| An x-ray demonstrating quadriceps tendon rupture. Note the abnormal angle of the patella and soft-tissue swelling marked by the arrow. | |
| Classification and external resources | |
| ICD-9-CM | 727.65 |
| eMedicine | article/1249621 |
A quadriceps tendon rupture is a tear of the tendon of the major leg extensor (rectus femoris), usually close to its insertion at the superior pole of the patella.
Symptoms
Symptoms are pain and the inability to extend the knee against resistance. A gap can often be palpated at the tendon's normal location.
Diagnosis
The diagnosis is usually made clinically, but ultrasound or MRI can be used if there is any doubt.
Quadriceps tendon rupture in plain X-ray
Quadriceps tendon rupture in plain X-ray: Incomplete rupture with haematoma in tendon.
Quadriceps tendon rupture in plain X-ray
X-ray of a tear of the patellar tendon. On the left: The kneecap is pulled up. On the right: Significant dent in the soft tissue above the kneecap.
Operative image: 1. Kneecap 2. upper patella pole with drill holes 3. Stump of the quadriceps tendon
Treatment
The tendon can be surgically repaired. Afterwards a brace is given that prevents flexion of the knee. Athletes who have suffered this injury generally return to action in about 9 months to a year.
In culture
The quadriceps injury became known worldwide when famous professional wrestler Paul Levesque (aka Triple H) suffered one in the ring at a WWE Raw event. In the night's main event, he and Stone Cold Steve Austin were defending the Tag Team Championship against Chris Jericho and Chris Benoit. At one point, Jericho had Austin trapped in the Walls of Jericho. Triple H ran in to break it up, but just as he did, he suffered a tear in his left quadriceps muscle,[5][45] causing it to come completely off the bone.[12] Despite his inability to place any weight on his leg, Triple H was able to complete the match.[12] He even allowed Jericho to put him in the Walls of Jericho, a move that places considerable stress on the quadriceps. The tear required an operation, which was performed by orthopedic surgeon Dr. James Andrews (who described Levesque's defect as "a shotgun had gone off inside his thigh). The rigorous rehabilitation process kept Triple H out of action for over eight months.[5][12] He was missing from action for almost a year, and returned to WWE at Madison Square Garden in January 2002. Coincidentally later that year, his good friend Kevin Nash suffered exactly the same injury - and several years later at the 2005 Royal Rumble, WWE Chairman Vincent McMahon (Levesque's father in law) tore both quads when attempting to slide into the ring. He boasted to his son in law that he'd recovered in almost half the time!
Levesque himself suffered an occurrence of the injury in his other leg (when executing a spinebuster move), and again returned at full strength.
