Salivary duct carcinoma
| Salivary duct carcinoma | |
|---|---|
![]() | |
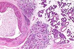
| Low magnification micrograph of a salivary duct carcinoma with characteristic comedonecrosis (left of image) adjacent to normal parotid gland (right of image). H&E stain. | |
| Classification and external resources |
Salivary duct carcinoma, abbreviated SDC, is a rare type of aggressive cancer that arises from the salivary glands.[1] It is predominantly seen in men and, generally, has a poor prognosis.[2] Other high grade carcinomas can mimic SDC. About 40-60% of SDC arise in pleomorphic adenomas. Most, if not all, SDCs express androgen receptor by immunohistochemistry.[3] Therapeutically relevant genetic alterations include ERBB2/Her2 amplification, PIK3CA and/or HRAS mutations.[4][5]
Symptoms
The typical presentation is a rapidly growing mass with associated pain.[2] This may be seen in association with neck lymph node swelling (cervical lymphadenopathy), due to metastases, and facial nerve paralysis.
Diagnosis
SDC are diagnosed by examination of tissue, e.g. a biopsy.
Their histologic appearance is similar to ductal breast carcinoma.
See also
Additional images
Very low mag.
Intermed. mag.
Very high mag.
References
- ↑ Kinnera, VS; Mandyam, KR; Chowhan, AK; Nandyala, R; Bobbidi, VP; Vutukuru, VR (July 2009). "Salivary duct carcinoma of parotid gland.". Journal of Oral and Maxillofacial Pathology. 13 (2): 85–8. doi:10.4103/0973-029x.57676. PMC 3162867
. PMID 21887008. - 1 2 Rajesh, NG.; Prayaga, AK.; Sundaram, C. (2011). "Salivary duct carcinoma: correlation of morphologic features by fine needle aspiration cytology and histopathology.". Indian J Pathol Microbiol. 54 (1): 37–41. doi:10.4103/0377-4929.77321. PMID 21393874.
- ↑ Williams, L; Thompson, LD; Seethala, RR; Weinreb, I; Assaad, AM; Tuluc, M; Ud Din, N; Purgina, B; Lai, C; Griffith, CC; Chiosea, SI (May 2015). "Salivary duct carcinoma: the predominance of apocrine morphology, prevalence of histologic variants, and androgen receptor expression.". The American journal of surgical pathology. 39 (5): 705–13. doi:10.1097/pas.0000000000000413. PMID 25871467.
- ↑ Chiosea, SI; Williams, L; Griffith, CC; Thompson, LD; Weinreb, I; Bauman, JE; Luvison, A; Roy, S; Seethala, RR; Nikiforova, MN (June 2015). "Molecular characterization of apocrine salivary duct carcinoma.". The American journal of surgical pathology. 39 (6): 744–52. doi:10.1097/pas.0000000000000410. PMID 25723113.
- ↑ Nardi, V; Sadow, PM; Juric, D; Zhao, D; Cosper, AK; Bergethon, K; Scialabba, VL; Batten, JM; Borger, DR; Iafrate, AJ; Heist, RS; Lawrence, DP; Flaherty, KT; Bendell, JC; Deschler, D; Li, Y; Wirth, LJ; Dias-Santagata, D (15 January 2013). "Detection of novel actionable genetic changes in salivary duct carcinoma helps direct patient treatment.". Clinical Cancer Research. 19 (2): 480–90. doi:10.1158/1078-0432.ccr-12-1842. PMID 23186780.
