Salpingitis isthmica nodosa
| Salpingitis isthmica nodosa | |
|---|---|
![]() | |
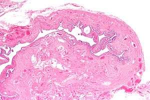
| Micrograph of salpingitis isthmica nodosa, showing the characteristic nodular thickening. H&E stain. | |
| Classification and external resources |
Salpingitis isthmica nodosa, also known as diverticulosis of the Fallopian tube, is nodular thickening of the narrow part of the uterine tube, due to inflammation. It is abbreviated SIN.
Symptoms
SIN is associated with infertility and ectopic pregnancy,[1] and may present as either.
Pathology
It is characterized by nodular thickening of the tunica muscularis of the narrow (isthmic) portion of the Fallopian tube. In severe cases, it leads to complete obliteration of the tubal lumen. It is uncommonly bilateral.[2]
Diagnosis
It is diagnosed with hysterosalpingography.
See also
References
- ↑ Jenkins, CS.; Williams, SR.; Schmidt, GE. (Oct 1993). "Salpingitis isthmica nodosa: a review of the literature, discussion of clinical significance, and consideration of patient management.". Fertil Steril. 60 (4): 599–607. PMID 8405510.
- ↑ Skibsted, L.; Sperling, L.; Hansen, U.; Hertz, J. (Jul 1991). "Salpingitis isthmica nodosa in female infertility and tubal diseases.". Hum Reprod. 6 (6): 828–31. PMID 1757522.
This article is issued from Wikipedia - version of the 7/24/2016. The text is available under the Creative Commons Attribution/Share Alike but additional terms may apply for the media files.
