Sarcocystis nesbitti
| Sarcocystis nesbitti | |
|---|---|
| Scientific classification | |
| Kingdom: | Protista |
| Phylum: | Apicomplexa |
| Class: | Conoidasida |
| Order: | Eucoccidiorida |
| Family: | Sarcocystidae |
| Genus: | Sarcocystis |
| Species: | S. nesbitti |
| Binomial name | |
| Sarcocystis nesbitti Mandour, 1969 | |
Sarcocystis nesbitti is a species of protozoon.
Human infection

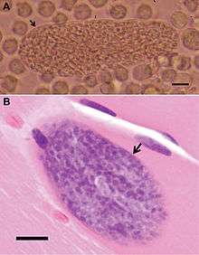
An outbreak investigation was conducted on 93 symptomatic persons from Malaysia following a college retreat on January 17–19, 2012, on Pangkor Island. Predominant manifestations were fever (relapsing in ≈50% of patients), myalgia, headache, and cough. Although only 2 patients were confirmed to be acutely infected with S. nesbitti, it was likely that the remaining students and teachers in the group had the same infection because nearly all had similar signs and symptoms with onset of illness within days of each other. In addition, 9 patients had a distinctive facial myositis, but sarcocysts could not be verified in all of them because only 3 patients agreed to provide a muscle biopsy specimen.[1]
History of discovery
In 1843, Swiss scientist Friedrich Miescher found “milky white threads” in the muscles of a mouse, which for years were known as“Miescher’s tubules.” In 1882, Lankester named the parasite Sarcocystis, from the Greek sarx (flesh) and kystis (bladder). Scientists were unsure whether to classify the species as protozoa or as fungi because only the sarcocyst stage had been identified. In 1967, crescent-shaped structures typically found in protozoa were seen in sarcocyst cultures, and it was determined to be a protozoan, a close relative of Toxoplasma spp. In 1969, A. M. Mandour described a new species of Sarcocystis in rhesus macaques, which he named Sarcocystis nesbitti, after Mr. P. Nesbitt, who saw the trophozoites in stained smears. Snakes are now known to be the definitive hosts of S. nesbitti, and several primates, including humans, can be intermediate hosts.[2]
References
- ↑ AbuBakar, S; Teoh, B-T; Sam, S-S; Chang, L-Y; Johari, J; Hooi, P-S; et al. (Dec 2013). "Outbreak of human infection with Sarcocystis nesbitti, Malaysia, 2012". Emerg Infect Dis. 19: 1989–1991. doi:10.3201/eid1912.120530.
- ↑ "Etymologia: Sarcocystis nesbitti". Emerg Infect Dis. 2012. doi:10.3201/eid1912.AC-1912.
This article uses public domain text from the CDC as quoted.