Scapholunate ligament
| Scapholunate ligament | |
|---|---|
![]() | |
| From | scaphoid |
| To | lunate |
The scapholunate ligament is a ligament of the wrist.[1]
The scapholunate ligament is an intraarticular ligament binding the scaphoid and lunate bones of the wrist together. It is divided into three areas, dorsal, proximal and palmar, with the dorsal segment being the strongest part.[2] It is the main stabilizer of the scaphoid. In contrast to the scapholunate ligament, the lunotriquetral ligament is more prominent on the palmar side.
Clinical significance
Complete rupture of this ligament leads to wrist instability.[3][4] The instability can be either dynamic in nature which typically cannot be seen on X-Ray, or static which can be seen on X-Ray. The Watson's test may be used in diagnosis.
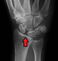
Stress view showing scapholunate instability
Stress view showing scapholunate instability
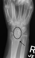
Scapholunate ligament disruption associated with a colles fracture
Scapholunate disassociation
Treatment
Treatment will vary depending upon the degree of injury and can range from observation, through to surgical reconstruction of the wrist.
References
- ↑ Mark D. Miller; Jennifer Hart; John M. MacKnight (10 July 2009). Essential Orthopaedics. Elsevier Health Sciences. pp. 305–. ISBN 978-1-4160-5473-3. Retrieved 1 November 2010.
- ↑ Berger, R. A. (2001). "The anatomy of the ligaments of the wrist and distal radioulnar joints". Clinical orthopaedics and related research (383): 32–40. PMID 11210966.
- ↑ "Scapholunate ligament injuries". Eatonhand.com. Retrieved 2011-01-13.
- ↑ "Scapholunate Instability - Wheeless' Textbook of Orthopaedics". Wheelessonline.com. 2011-01-08. Retrieved 2011-01-13.
