Schnyder crystalline corneal dystrophy
| Schnyder crystalline corneal dystrophy | |
|---|---|
|
| |
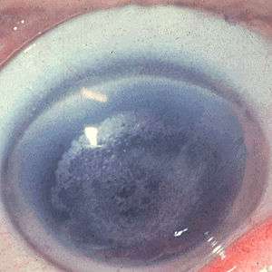
| Schnyder corneal dystrophy. Crystalline opacities are evident in the central cornea (Courtesy Dr. G.N. Foulks) | |
| Classification and external resources | |
| OMIM | 121800 |
| eMedicine | article/1196212 |
Schnyder crystalline corneal dystrophy (SCD) is a rare form of corneal dystrophy. It is caused by heterozygous mutations in UBIAD1 gene.[1][2][3] Cells in the cornea accumulate cholesterol and phosopholipid deposits leading to the opacity, in severe cases requiring corneal transplants. Abnormal cholesterol metabolism has been noted in other cell types of affected patients (skin fibroblasts) suggesting that this may be a systemic disorder with clinical manifestations limited to the cornea.
Alternative names
- Crystalline stromal dystrophy
- Schnyder crystalline dystrophy sine crystals
- Hereditary crystalline stromal dystrophy of Schnyder
- Schnyder's crystalline corneal dystrophy
Notes
- ↑ Orr et al, PLoS One (2007) vol 2, e685 doi:10.1371/journal.pone.0000685 PMID 17668063
- ↑ Yellore et al, Molec Vision (2007) vol 13, 1777-1782 PMID 17960116
- ↑ Weiss et al, IOVS (2007) vol 48, 5007-5012 doi:10.1167/iovs.07-0845 PMID 17962451
This article is issued from Wikipedia - version of the 8/21/2013. The text is available under the Creative Commons Attribution/Share Alike but additional terms may apply for the media files.