Sertoli cell nodule
| Sertoli cell nodule | |
|---|---|
![]() | |
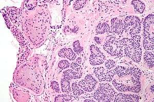
| Micrograph of a Sertoli cell nodule. H&E stain. | |
| Classification and external resources |
A Sertoli cell nodule, also Pick's adenoma, testicular tubular adenoma and tubular adenoma of the testis, is a benign proliferation of Sertoli cells that arises in association with cryptorchidism (undescended testis). They are not composed of a clonal cell population, i.e. neoplastic; thus, technically, they should not be called an adenoma.[1]
Pathology
Sertoli cell nodules are unencapsulated nodules that consist of:[1][2]
- cells arranged in well-formed tubules (that vaguely resemble immature Sertoli cells), with
- bland hyperchromatic oval/round nuclei that are stratified, and
- may contain eosinophilic (hyaline) blob in lumen (centre).
Additional images
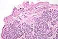
Micrograph of a Sertoli cell nodule. H&E stain.
Micrograph of a Sertoli cell nodule. H&E stain.
See also
References
- 1 2 Tadrous, Paul J. (2007). Diagnostic criteria handbook in histopathology: a surgical pathology vade mecum. John Wiley & Sons Canada Ltd. p. 227. ISBN 978-0-470-51903-5.
- ↑ Ricco R, Bufo P (October 1980). "[Histologic study of 3 cases of so-called tubular adenoma of the testis]". Boll. Soc. Ital. Biol. Sper. (in Italian). 56 (20): 2110–5. PMID 6109541.
External links
- Testis, Sex Cord Stromal Tumor - eMedicine.
- Sertoli cell nodules in the undescended testis: a histochemical, immunohistochemical, and ultrastructural study of hyaline deposits - bmj.com.
- Giant Sertoli cell nodule of the testis: distinction from other Sertoli cell lesions - bmj.com.
This article is issued from Wikipedia - version of the 5/27/2016. The text is available under the Creative Commons Attribution/Share Alike but additional terms may apply for the media files.
