Spermatocele
| Spermatocele | |
|---|---|
|
| |
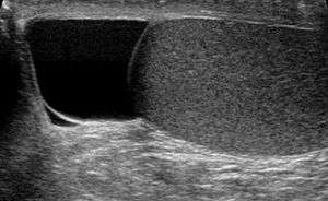
| Ultrasound of a testicle (grey) and a spermatocele (black). | |
| Classification and external resources | |
| Specialty | urology |
| ICD-10 | N43.4 |
| ICD-9-CM | 608.1 |
| DiseasesDB | 31243 |
| MeSH | D013088 |
Spermatocele (/spɜːrˈmætəsiːl/[1][2]) is a retention cyst of a tubule of the rete testis or the head of the epididymis distended with barely watery fluid that contains spermatozoa. Spermatoceles are the most common cystic condition encountered within the scrotum. They vary in size from several millimeters to many centimeters. Spermatoceles are generally not painful. However, some men may experience discomfort from larger spermatoceles. They are harmless.
Etiology
Spermatoceles can originate as diverticulum from the tubules found in the head of the epididymis. Sperm formation gradually causes the diverticulum to increase in size, causing a spermatocele. They are due to continuity between the epididymis and tunica vaginalis.
They are also believed to result from epididymitis or physical trauma. Scarring of any part of the epididymis can cause it to become obstructed and in turn form a spermatocele. It can also result from vasectomy.
Diagnosis

Spermatoceles can be discovered as incidental scrotal masses found on physical examination by a physician. They may also be discovered by self-inspection of the scrotum and testicles.
Finding a painless, cystic mass at the head of the epididymis, that transilluminates and can be clearly differentiated from the testicle, is generally sufficient. If uncertainty exists, ultrasonography of the scrotum can confirm if it is spermatocele.
If an individual finds what he suspects to be a spermatocele, he is advised to consult a urologist.
Treatment
Small cysts are best left alone, as are larger cysts that are an asymptomatic condition. Only when the cysts are causing discomfort and are enlarging in size, or the patient wants the spermatocele removed, should a spermatocelectomy be considered. Pain may persist even after removal.
Spermatocelectomy can be performed on an outpatient basis, with the use of local or general anesthesia.
A spermatocelectomy will not improve fertility.
References
- ↑ Entry "spermatocele" in Merriam-Webster Online Dictionary.
- ↑ OED 2nd edition, 1989.