Tornwaldt cyst
| Tornwaldt cyst | |
|---|---|
![]() | |
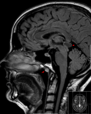
| Tornwaldt cyst imaged on sagittal MRI (FLAIR). The cyst appears hyperintense in the midline of the nasopharynx (arrow). In this case there is also a cyst of the pinealis gland (arrowhead) showing a signal intensity slightly higher than the CSF. | |
| Classification and external resources |
A Tornwaldt cyst is a benign cyst located in the upper posterior nasopharynx. It can be seen on computed tomography (CT) or magnetic resonance imaging (MRI) of the head as a well-circumscribed round mass lying in the midline. In most cases, treatment is not necessary. It was first described by Gustav Ludwig Tornwaldt.
See also
- Tornwaldt's disease
External links
| Wikimedia Commons has media related to Tornwaldt's cyst. |
This article is issued from Wikipedia - version of the 7/20/2016. The text is available under the Creative Commons Attribution/Share Alike but additional terms may apply for the media files.
