Transitional cell carcinoma of the ovary
| Transitional cell carcinoma of the ovary | |
|---|---|
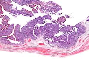
![]() | |
| Micrograph of transitional cell carcinoma of the ovary. H&E stain. | |
| Classification and external resources |
Transitional cell carcinoma of the ovary, abbreviated TCC of the ovary, is a rare type of ovarian cancer that has an appearance similar to urothelial carcinoma (also known as transitional cell carcinoma).[1]
Diagnosis
TCC of the ovary is diagnosed by examination of the tissue by a pathologist. It has a characteristic appearance under the microscope and distinctive pattern of immunostaining.[2]
Pathology
It is not related urothelial carcinoma.[1] It is in the transitional cell category of ovarian tumours which also includes malignant Brenner tumour and benign Brenner tumour.
Treatment
The main treatment is surgical resection.[1]
Prognosis
These tumours do better than other types of epithelial tumours of the ovary.[1]
Additional images
Low mag.
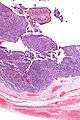
Very high mag.
See also
References
- 1 2 3 4 Tazi, EM.; Lalya, I.; Tazi, MF.; Ahellal, Y.; M'rabti, H.; Errihani, H. (2010). "Transitional cell carcinoma of the ovary: a rare case and review of literature.". World J Surg Oncol. 8: 98. doi:10.1186/1477-7819-8-98. PMC 2996384
. PMID 21073751. - ↑ Eichhorn, JH.; Young, RH. (Apr 2004). "Transitional cell carcinoma of the ovary: a morphologic study of 100 cases with emphasis on differential diagnosis.". Am J Surg Pathol. 28 (4): 453–63. doi:10.1097/00000478-200404000-00004. PMID 15087664.
This article is issued from Wikipedia - version of the 10/2/2014. The text is available under the Creative Commons Attribution/Share Alike but additional terms may apply for the media files.
