Triple-A syndrome
| Triple A syndrome | |
|---|---|
![]() | |
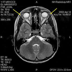
| MRI of the brain of 12-year-old boy with triple-A syndrome showing hypoplastic lacrimal glands (yellow arrows.) | |
| Classification and external resources | |
| Specialty | endocrinology |
| ICD-10 | E27.4 |
| OMIM | 231550 |
| DiseasesDB | 32088 |
| eMedicine | ped/71 |
Triple-A syndrome (AAA), also known as Achalasia-Addisonianism-Alacrima syndrome or Allgrove syndrome,[1] is a rare autosomal recessive congenital disorder. In most cases, there is no family history of it.[2] The syndrome was discovered by Jeremy Allgrove and colleagues in 1978. Triple A stands for achalasia-addisonianism-alacrima syndrome. Alacrima is usually the earliest manifestation.[3] It is a progressive disorder that can take years to develop the full blown clinical picture.[4]
Characteristics
Individuals affected by AAA have adrenal insufficiency/Addison's disease due to ACTH resistance, alacrima (absence of tear secretion), and achalasia (a failure of a ring of muscle fibers, such as a sphincter, to relax) of the lower esophageal sphincter at the cardia which delays food going to the stomach and causes dilation of the thoracic esophagus. There may also be signs of autonomic dysfunction with AAA, such as pupillary abnormalities, an abnormal reaction to intradermal histamine, abnormal sweating, orthostatic hypotension, and disturbances of the heart rate.[5] Hypoglycemia (low blood sugar) is often mentioned as an early sign.[4] The disorder has also been associated with mild mental retardation.[4]
The syndrome is highly variable. Managed effectively, affected individuals can have a normal lifespan and bear children.
Cause and genetics
Triple-A syndrome is associated with mutations in the AAAS gene, which encodes a protein known as ALADIN (ALacrima Achalasia aDrenal Insufficiency Neurologic disorder).[6][7] In 2000, Huebner et al. mapped the syndrome to a 6 cM interval on human chromosome 12q13 near the type II keratin gene cluster.[8] Since inheritance and gene for the association is known, early diagnosis can allow genetic counseling.[3]
See also
References
- ↑ Online Mendelian Inheritance in Man (OMIM) 231550
- ↑ Dusek, Tina; Korsic, Marta; Koehler, Katrin; Perkovic, Zdravko; Huebner, Angela; Korsic, Mirko (2006). "A Novel AAAS Gene Mutation (p.R194X) in a Patient with Triple A Syndrome". Hormone Research. 65 (4): 171–176. doi:10.1159/000092003. PMID 16543750.
- 1 2 Bharadia, Lalit; Kalla, Mukesh; Sharma, S K; Charan, Rohit; Gupta, J B; Khan, Firoz (2005). "Triple A Syndrome". Indian Journal of Gastroenterology. 24 (5): 218–9. PMID 16361770.
- 1 2 3 Prpic, I.; Huebner, A.; Persic, M.; Handschugg, K.; Pavletic, M. (2003). "Triple A syndrome: genotype-phenotype assessment". Clinical Genetics. 63 (5): 414–417. doi:10.1034/j.1399-0004.2003.00070.x. PMID 12752575.
- ↑ Brooks, B.P.; Kleta, R.; Stuart, C.; Tuchman, M.; Jeong, A.; Stergiopoulos, S.G.; Bei, T.; Bjornson, B.; Russell, L.; Chanoine, J-P.; Tsagarakis, S.; Kalsner, LR.; Stratakis, CA. (2005). "Genotype heterogeneity and clinical phenotype in triple A syndrome". Clinical Genetics. 68 (3): 215–221. doi:10.1111/j.1399-0004.2005.00482.x. PMID 16098009.
- ↑ Huebner, Angela; Kaindl, A.M.; Knobeloch, K.P.; Petzold, H.; Mann, P.; Koehler, K. (2004). "The Triple A Syndrome Is Due to Mutations in Aladin, a Novel Member of the Nuclear Pore Complex". Endocrine Research. 30 (4): 891–899. doi:10.1081/ERC-200044138. PMID 15666842.
- ↑ Salmaggi A, Zirilli L, Pantaleoni C, et al. (2008). "Late-onset triple A syndrome: a risk of overlooked or delayed diagnosis and management". Horm. Res. 70 (6): 364–372. doi:10.1159/000161867. PMID 18953174.
- ↑ Huebner A, Yoon SJ, Ozkinay F, et al. (Nov 2000). "Triple A syndrome--clinical aspects and molecular genetics". Endocr. Res. 26 (4): 751–759. doi:10.3109/07435800009048596. PMID 11196451.
External links
- Washington University School of Medicine
- International multi-lingual communitarian website on Allgrove Syndrome
- Allgrove (AAA) Syndrome at eMedicine
- OMIM: 231550 Achalasia Addisonianism Alacrimia syndrome; Triple A syndrome at NIH's Office of Rare Diseases
- CT Scan of Achalasia in Allgrove Syndrome
