Tufted angioma

Tufted angioma
Tufted angioblastoma
Classification and external resources
ICD-10 M9161/1
eMedicine article/1086612
MeSH C536924

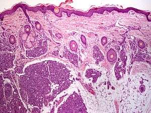
A tufted angioma (also known as an "Acquired tufted angioma," "Angioblastoma," "Angioblastoma of Nakagawa," "Hypertrophic hemangioma," "Progressive capillary hemangioma," and "Tufted hemangioma"[1][2]) usually develops in infancy or early childhood on the neck and upper trunk, and is an ill-defined, dull red macule with a mottled appearance, varying from 2 to 5 cm in diameter.[2]:596

See also

References

  1. Rapini, Ronald P.; Bolognia, Jean L.; Jorizzo, Joseph L. (2007). Dermatology: 2-Volume Set. St. Louis: Mosby. p. 1779. ISBN 1-4160-2999-0.
  2. 1 2 James, William; Berger, Timothy; Elston, Dirk (2005). Andrews' Diseases of the Skin: Clinical Dermatology. (10th ed.). Saunders. ISBN 0-7216-2921-0.


This article is issued from Wikipedia - version of the 5/19/2016. The text is available under the Creative Commons Attribution/Share Alike but additional terms may apply for the media files.