Tunica externa
| Tunica externa (vessels) | |
|---|---|
![]() | |
|
Section of a medium-sized artery. | |
| Details | |
| Identifiers | |
| Latin |
Tunica externa vasorum, tunica adventitia vasorum |
| Code | TH H3.09.02.0.01009 |
| TA | A12.0.00.017 |
| FMA | 45635 |
The tunica externa (New Latin "outer coat"), also known as the tunica adventitia (or adventitia for short), is the outermost tunica (layer) of a blood vessel, surrounding the tunica media. It is mainly composed of collagen and, in arteries, is supported by external elastic lamina. The collagen serves to anchor the blood vessel to nearby organs, giving it stability.
The tunicae of blood vessels are three layers: an inner, middle, and outer layer that are called, respectively, the tunica intima, the tunica media, and the tunica externa (or tunica adventitia).
Pathology
A common pathological disorder concerning the tunica externa is scurvy, also known as vitamin C deficiency. Scurvy occurs because vitamin C is essential for the synthesis of collagen, and without it, the faulty collagen cannot maintain the vein walls and rupture, leading to a multitude of problems.
Additional images
Transverse section through a small artery and vein of the mucous membrane of the epiglottis of a child. (Tunica adventitia is at 'a')
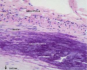
Microphotography of arterial wall with calcified (violet colour) atherosclerotic plaque (haematoxylin & eosin stain)
See also
References
This article incorporates text in the public domain from the 20th edition of Gray's Anatomy (1918)
External links
- Anatomy photo: Circulatory/vessels/vessels7/vessels4 - Comparative Organology at University of California, Davis - "Bird, vessels (LM, High)"
- Image at About.com

