Arteriolosclerosis
| Arteriolosclerosis | |
|---|---|
|
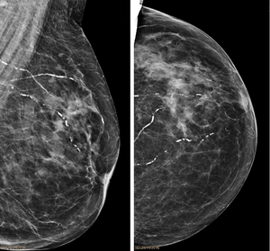
Right breast mammograms showing several calcified arterioles. Patient 94 years old. | |
| Classification and external resources | |
| MeSH | D050379 |

Arteriolosclerosis is a form of cardiovascular disease affecting the small arteries and arterioles.
Types include hyaline arteriolosclerosis and hyperplastic arteriolosclerosis,[1] both associated with vessel wall thickening and luminal narrowing that may cause downstream ischemic injury. Arteriolosclerosis is most often associated with hypertension and/or diabetes mellitus.[2]
The following terms are similar, yet distinct, in both spelling and meaning, and can be easily confused: arteriosclerosis, arteriolosclerosis, and atherosclerosis. Arteriosclerosis is a general term describing any hardening (and loss of elasticity) of medium or large arteries (from the Greek arteria, meaning artery, and sclerosis, meaning hardening); arteriolosclerosis is any hardening (and loss of elasticity) of arterioles (small arteries); atherosclerosis is a hardening of an artery specifically due to an atheromatous plaque. The term atherogenic is used for substances or processes that cause atherosclerosis.
References
- ↑ "Arteriolosclerosis" at Dorland's Medical Dictionary
- ↑ Robbins, Stanley L.; Kumar, Vinay (2007). Robbins basic pathology. Saunders/Elsevier. p. 343. ISBN 0-8089-2366-8.
