Caput medusae
For the cactus, see Astrophytum caput-medusae.
| Caput medusae | |
|---|---|
|
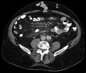
Axial CT showing portosystemic collateral circulation via the umbilical vein: caput medusae in liver cirrhosis | |
| Classification and external resources | |
| Specialty | cardiology |
| ICD-10 | I86.8 (ILDS I86.820) |
Caput medusae, also known as palm tree sign, is the appearance of distended and engorged superficial epigastric veins, which are seen radiating from the umbilicus across the abdomen. The name caput medusae (Latin for "head of Medusa") originates from the apparent similarity to Medusa's head, which had venomous snakes in place of hair. It is also a symptom of portal hypertension. It is caused by dilation of the paraumbilical veins, which carries oxygenated blood from mother to fetus in utero and normally closes within one week of birth, becoming re-canalised due to portal hypertension caused by liver failure.
Differential diagnosis
Inferior vena cava obstruction
- Produces abdominal collateral veins to bypass the blocked inferior vena cava and permit venous return from the legs.
How to differentiate
Determine the direction of flow in the veins below the umbilicus. After pushing down on the prominent vein, blood will:
- flow toward the legs -> caput medusae
- flow toward the head-> inferior vena cava obstruction.
See also
This article is issued from Wikipedia - version of the 11/8/2016. The text is available under the Creative Commons Attribution/Share Alike but additional terms may apply for the media files.
