Auer rod

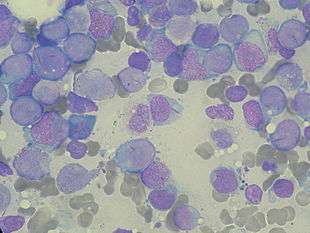
Bone marrow aspirate showing acute myeloid leukemia with Auer rods in several blasts

Auer rods are clumps of azurophilic granular material that form elongated needles seen in the cytoplasm of myeloid leukemic blasts. They can be seen in the leukemic blasts of acute myeloid leukemia with maturation and acute promyelocytic leukemia (known as acute myeloid leukemia M2 and M3, in the FAB classification, respectively) and in high grade myelodysplastic syndromes and myeloproliferative syndromes. They are composed of fused lysosomes/primary neutrophilic granules and contain peroxidase, lysosomal enzymes, and large crystalline inclusions. Morphologically, the Auer "rods" come in all sizes and shapes. They have been described as needle-shapes with pointed ends (most common), comma-shapes, and diamond-shapes; others were long and rectangular. Occasional corkscrew forms and rare granular Auer bodies were also noted. More appropriately, they can be referred to as Auer bodies.[1]

They are also used to distinguish the pre-leukemia myelodysplastic syndromes: refractory anemia with excess blasts 2 (which has Auer rods) from RAEB 1 (which does not). However, rare cases of RAEB1 show rare auer rods, and when they do, they have a worse prognosis.

Eponym

These cytoplasmic inclusions are named for John Auer, a US physiologist (1875-1948).[2]

However, they were first described in 1905 by a Canadian physician, Thomas McCrae, then at The Johns Hopkins Hospital,[3] one year before Auer, as acknowledged in Auer's article. Both McCrae and Auer mistakenly thought that the cells containing the rods were lymphoblasts.[4]

Additional images

References

  1. http://bloodjournal.hematologylibrary.org/content/5/9/847.full.pdf+html
  2. Auer, John (1906). "Some hitherto undescribed structures found in the large lymphocytes of a case of acute leukaemia". American Journal of the Medical Sciences. 131 (6): 1002–1015. doi:10.1097/00000441-190606000-00008. ISSN 0002-9629.
  3. McCrae, Thomas (February 1905). "Acute lymphatic leukaemia with a report of five cases". British Medical Journal. 1 (2304): 404–408. doi:10.1136/bmj.1.2304.404. PMC 2319598Freely accessible. PMID 20761949.
  4. Bain, Barbara (August 2011). "Auer rods or McCrae rods?". American Journal of Hematology. 86 (8): 689. doi:10.1002/ajh.21978. PMID 21761434.

External links

This article is issued from Wikipedia - version of the 10/21/2016. The text is available under the Creative Commons Attribution/Share Alike but additional terms may apply for the media files.