Russell bodies

Russell bodies are eosinophilic, large, homogeneous immunoglobulin-containing inclusions usually found in a plasma cell undergoing excessive synthesis of immunoglobulin; the Russell body is characteristic of the distended endoplasmic reticulum. They are found in the peripheral areas of tumors. Russell bodies are thought to have originated as an SOS compartment, where abnormal proteins that are not secreted, but have fled intracellular degradation, can gather without blocking normal secretory pathways. The excess immunoglobulin builds up and forms intracytoplasmic globules, which is thought to be a result of insufficient protein transport within the cell. This causes the proteins to neither be degraded or secreted and stay stored in dilated cisternae.[1] In 1949, Pearse discovered that Russell bodies also contain mucoproteins that are secreted by plasma cells. Russell bodies are not tissue specific; during research they were induced in rat glioma cells.[2] Russell bodies were found to have positive reactions to PAS stain, CD 38 and CD 138 stains. Plasma cells that contain Russell bodies and are stained with H&E stain are found to be autofluorescent, while those without Russell bodies are not autofluorescent. Russell bodies tend to be found in places with chronic inflammation. Multiple aggregrates of Russell bodies create what are known as Mott cells.
This is one cell variation found in multiple myeloma.[3]
They are named for William Russell (1852-1940), a Scottish physician.[4][5]
See also; "Mott Cell."

Additional images
-

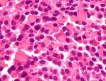
Russell bodies.
References
- ↑ Rubio, C.A. (2005). "Mott Cell (Russell Bodies) Barrett's Oesophagitis" (PDF). In vivo.
- ↑ Valetti, C., Grossi, C.E., Milstein, C. , Sitia, R. (November 15, 1991). "Russell Bodies: A General Response of Secretory Cells to Synthesis of a Mutant Immunoglobulin Which Can Neither Exit from, Nor Be Degraded in, the Endoplasmic Reticulum" (PDF). The Rockefeller University Press.
- ↑ Martín-Noya A, Ríos-Herranz E, Rafel-Ribas E (February 1999). "Multiple myeloma with numerous intranuclear Russell bodies". Haematologica. 84 (2): 179–80. PMID 10091418.
- ↑ synd/1962 at Who Named It?
- ↑ Russell, W (13 December 1890). "An Address on a Characteristic Organism of Cancer". British Medical Journal (BMJ) 2 (1563): 1356–1360.doi:10.1136/bmj.2.1563.1356. PMC 2208600.PMID 20753194.
External links
- http://www.healthsystem.virginia.edu/internet/hematology/hessimages/russell-bodies-website-arrow.jpg