Cerebral edema
| Cerebral edema | |
|---|---|
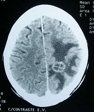
![]() | |
| Edema (darker areas) surrounding a secondary brain tumor. | |
| Classification and external resources | |
| Specialty | Neurosurgery |
| ICD-10 | G93.6 |
| ICD-9-CM | 348.5 |
| DiseasesDB | 2227 |
| MeSH | D001929 |
Cerebral edema or cerebral oedema is excess accumulation of fluid in the intracellular or extracellular spaces of the brain.
Signs and symptoms
Certain changes in morphology are associated with cerebral edema: the brain becomes soft and smooth and overfills the cranial vault, gyri (ridges) become flattened, sulci (grooves) become narrowed, and ventricular cavities become compressed.
Symptoms include nausea, vomiting, blurred vision, faintness, and in severe cases, seizures and coma. If brain herniation occurs, respiratory symptoms or respiratory arrest can also occur due to compression of the respiratory centers in the pons and medulla oblongata.
Causes
Cerebral edema can result from brain trauma or from nontraumatic causes such as ischemic stroke, cancer, or brain inflammation due to meningitis or encephalitis.[1]
The blood–brain barrier (BBB) or the blood–cerebrospinal fluid (CSF) barrier may break down, allowing fluid to accumulate in the brain's extracellular space.
Altered metabolism may cause brain cells to retain water, and dilution of the blood plasma may cause excess water to move into brain cells.
Fast travel to high altitude without proper acclimatization can cause high-altitude cerebral edema (HACE).
Types
Four types of cerebral edema have been identified:[2]
Vasogenic
Vasogenic edema occurs due to a breakdown of the tight endothelial junctions that make up the blood–brain barrier. This allows intravascular proteins and fluid to penetrate into the parenchymal extracellular space. Once plasma constituents cross the barrier, the edema spreads; this may be quite rapid and extensive. As water enters white matter, it moves extracellularly along fiber tracts and can also affect the gray matter. This type of edema may result from trauma, tumors, focal inflammation, late stages of cerebral ischemia and hypertensive encephalopathy.
Mechanisms contributing to blood–brain barrier dysfunction include physical disruption by arterial hypertension or trauma, and tumor-facilitated release of vasoactive and endothelial destructive compounds (e.g. arachidonic acid, excitatory neurotransmitters, eicosanoids, bradykinin, histamine, and free radicals). Subtypes of vasogenic edema include:
- Hydrostatic cerebral edema
- This form of cerebral edema is seen in acute malignant hypertension. It is thought to result from direct transmission of pressure to cerebral capillaries with transudation of fluid from the capillaries into the extravascular compartment.
- Cerebral edema from brain cancer
- Cancerous glial cells (glioma) of the brain can increase secretion of vascular endothelial growth factor (VEGF), which weakens the junctions of the blood–brain barrier. Dexamethasone can be of benefit in reducing VEGF secretion.[3]
- High altitude cerebral edema
- High altitude cerebral edema (or HACE) is a severe and sometimes fatal form of altitude sickness that results from capillary fluid leakage due to the effects of hypoxia on the mitochondria-rich endothelial cells of the blood–brain barrier.[4]
- Symptoms can include headache, loss of coordination (ataxia), weakness, disorientation, memory loss, psychotic symptoms (hallucinations and delusions), and coma. HACE generally occurs after a week or more at high altitude. If not treated quickly, severe cases can result in death. Immediate descent by 2,000 - 4,000 feet is a crucial life-saving measure. Medications such as dexamethasone can be prescribed for treatment in the field, but proper training in their use is required. Anyone suffering from HACE should be evacuated to a medical facility for proper follow-up treatment. A Gamow bag can sometimes be used to stabilize the sufferer before transport or emergency descent.
Cytotoxic
In cytotoxic edema, the blood–brain barrier remains intact but a disruption in cellular metabolism impairs functioning of the sodium and potassium pump in the glial cell membrane, leading to cellular retention of sodium and water. Swollen astrocytes occur in gray and white matter. Cytotoxic edema is seen with various toxins, including dinitrophenol, triethyltin, hexachlorophene, and isoniazid. It can occur in Reye's syndrome, severe hypothermia, early ischemia, encephalopathy, early stroke or hypoxia, cardiac arrest, and pseudotumor cerebri.
During an ischemic stroke, a lack of oxygen and glucose leads to a breakdown of the sodium-calcium pumps on brain cell membranes, which in turn results in a massive buildup of sodium and calcium intracellularly. This causes a rapid uptake of water and subsequent swelling of the cells.[5] It is this swelling of the individual cells of the brain that is seen as the main distinguishing characteristic of cytotoxic edema, as opposed to vasogenic edema, wherein the influx of fluid is typically seen in the interstitial space rather than within the cells themselves.[6] While not all patients who have experienced a stroke will develop a severe edema, those who do have a very poor prognosis.[7]
In most instances, cytotoxic and vasogenic edema occur together. It is generally accepted that cytotoxic edema is dominant immediately following an injury or infarct, but gives way to a vasogenic edema that can persist for several days or longer.[5] The use of specific MRI techniques has allowed for some differentiation between the two mechanisms and suggests that in the case of trauma, the cytotoxic response dominates [8]
Osmotic
Normally, the osmolality of cerebral-spinal fluid (CSF) and extracellular fluid (ECF) in the brain is slightly lower than that of plasma. Plasma can be diluted by several mechanisms, including excessive water intake (or hyponatremia), syndrome of inappropriate antidiuretic hormone secretion (SIADH), hemodialysis, or rapid reduction of blood glucose in hyperosmolar hyperglycemic state (HHS), formerly known as hyperosmolar non-ketotic acidosis (HONK). Plasma dilution decreases serum osmolality, resulting in a higher osmolality in the brain compared to the serum. This creates an abnormal pressure gradient and movement of water into the brain, which can cause progressive cerebral edema, resulting in a spectrum of signs and symptoms from headache and ataxia to seizures and coma.
Interstitial
Interstitial edema occurs in obstructive hydrocephalus due to a rupture of the CSF–brain barrier. This results in trans-ependymal flow of CSF, causing CSF to penetrate the brain and spread to the extracellular spaces and the white matter. Interstitial cerebral edema differs from vasogenic edema as CSF contains almost no protein.
Treatments
Treatment approaches can include osmotherapy using mannitol, diuretics to decrease fluid volume, corticosteroids to suppress the immune system, hypertonic saline, and surgical decompression to allow the brain tissue room to swell without compressive injury.[9][10]
Research
Many studies of the mechanical properties of brain edema were conducted in the 2010, most of them based on finite element analysis (FEA), a widely used numerical method in solid mechanics. For example, Gao and Ang used the finite element method to study changes in intracranial pressure during craniotomy operations.[11] A second line of research on the condition looks at thermal conductivity, which is related to tissue water content.[12]
References
- ↑ Raslan A, Bhardwaj A (2007). "Medical management of cerebral edema". Neurosurgical Focus. 22 (5): E12. doi:10.3171/foc.2007.22.5.13. PMID 17613230.
- ↑ Qureshi AI, Suarez JI (2000). "Use of hypertonic saline solutions in treatment of cerebral edema and intracranial hypertension". Critical Care Medicine. 28 (9): 3301–3313. doi:10.1097/00003246-200009000-00032. PMID 11008996.
- ↑ Heiss JD, Papavassiliou E, Merrill MJ, Nieman L, Knightly JJ, Walbridge S, Edwards NA, Oldfield EH (1996). "Mechanism of dexamethasone suppression of brain tumor-associated vascular permeability in rats. Involvement of the glucocorticoid receptor and vascular permeability factor". Journal of Clinical Investigation. 98 (6): 1400–1408. doi:10.1172/JCI118927. PMC 507566
. PMID 8823305. - ↑ Van Osta A, Moraine JJ, Mélot C, Mairbäurl H, Maggiorini M, Naeije R (2005). "Effects of high altitude exposure on cerebral hemodynamics in normal subjects". STROKE. 36 (3): 557–560. doi:10.1161/01.STR.0000155735.85888.13. PMID 15692117.
- 1 2 Rosenberg, Gary (1999). "Ischemic Brain Edema". Progress in cardiovascular diseases. 42 (3): 209–16. doi:10.1016/s0033-0620(99)70003-4. PMID 10598921.
- ↑ Klatzo, Igor (1 January 1987). "Pathophysiological aspects of brain edema". Acta Neuropathologica. 72 (3): 236–239. doi:10.1007/BF00691095.
- ↑ Hacke, W.; Schwab, S.; Horn, M.; Spranger, M.; De Georgia, M.; von Kummer, R. (1 April 1996). "'Malignant' Middle Cerebral Artery Territory Infarction: Clinical Course and Prognostic Signs". Archives of Neurology. 53 (4): 309–315. doi:10.1001/archneur.1996.00550040037012.
- ↑ Barzó, P; Marmarou, A; Fatouros, P; Hayasaki, K; Corwin, F (December 1997). "Contribution of vasogenic and cellular edema to traumatic brain swelling measured by diffusion-weighted imaging.". Journal of Neurosurgery. 87 (6): 900–7. doi:10.3171/jns.1997.87.6.0900. PMID 9384402.
- ↑ Raslan A, Bhardwaj A (2007). "Medical management of cerebral edema". Neurosurgical focus. 22 (5): E12. doi:10.3171/foc.2007.22.5.13. PMID 17613230.
- ↑ Mortazavi, Martin M.; Romeo, Andrew K.; Deep, Aman; Griessenauer, Christoph J.; Shoja, Mohammadali M.; Tubbs, R. Shane; Fisher, Winfield. "Hypertonic saline for treating raised intracranial pressure: literature review with meta-analysis". Journal of Neurosurgery. 116 (1): 210–221. doi:10.3171/2011.7.jns102142.
- ↑ Gao CP, Ang BT (2008). "Biomechanical modeling of decompressive craniectomy in traumatic brain injury". Acta Neurochirurgica. 102 (supplement): 279–282. doi:10.1007/978-3-211-85578-2_52.
- ↑ Ko S.-B.; Choi H. Alex; Parikh G.; Schmidt J. Michael; Lee K.; Badjatia N.; Claassen J.; Connolly E. Sander; Mayer S. A. (2012). "Real time estimation of brain water content in comatose patients". Ann. Neurol.
External links
- MedPix Vasogenic Edema
