Clear-cell sarcoma
| Clear-cell sarcoma | |
|---|---|
![]() | |
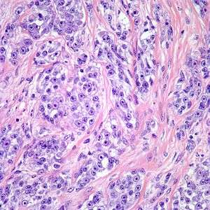
| Clear cell sarcoma. Tumor cells with prominent nucleoli and clear cytoplasm are arranged in well-defined nests surrounded by dense fibrous stroma. | |
| Classification and external resources | |
| ICD-O | 9044/3 |
| MeSH | D018227 |
Clear-cell sarcoma (formerly known as malignant melanoma of the soft parts) is a rare form of cancer called sarcoma.[1] It is known to occur mainly in the soft tissues and dermis. Rare forms were thought to occur in the gastrointestinal tract before they were discovered to be different and redesignated as GNET.
Recurrence is common.[2]
It has been associated with both EWSR1-ATF1 and EWSR1-CREB1 fusion transcripts.[3]
Clear cell sarcoma of the soft tissues in adults is not related to the pediatric tumor known as clear cell sarcoma of the kidney.[4]
Pathology
Despite the name clear cell sarcoma, the tumor cells do not necessarily need to have clear cytoplasm. The lesion has a distincly nested growth pattern with a mixture of spindle, epithelioid and tumor giant cells. Approximately two thirds of the tumors contain melanin pigment. Clear cell sarcoma, similar to melanoma, has consistent positivity for S-100, HMB-45, and MITF.[5]
Diagnosis
Imaging studies such as X-rays, computed tomography scans, or MRI may be required to diagnose clear-cell sarcoma together with a physical exam. Normally a biopsy is also necessary. Furthermore, a chest CT, a bone scan and positron emission tomography (PET) may be part of the tests in order to evaluate areas where metastases occur.[6]
Signs and symptoms
It presents as a slow growing mass that especially affects tendons and aponeuroses and it is deeply situated. Patients often perceive it as a lump or hard mass. It causes either pain or tenderness but only until it becomes large enough. This kind of tumor is commonly found in the extremities especially around the knee, feet and ankle. Patients diagnosed with clear cell sarcoma are usually between the ages of 20 and 40.[1]
Prognosis
When the tumor is large and there is presence of necrosis and local recurrence, the prognosis is poor. Presence of metastasis occurs in more than 50% cases and the common places of its occurrence are the bone, lymph node and lungs.[7] Five-year survival rates, which are reported to be between 50-65%, are inaccurate because the disease is prone to late metastasis or recurrence. Ten and twenty-year survival rates are 33% and 10%, respectively.[1]
Treatment
Treatment depends upon the site and the extent of the disease. Clear cell sarcoma is usually treated with surgery in the first place in order to remove the tumor. The surgical procedure is then followed by radiation and sometimes chemotherapy.[8] Few cases of clear cell sarcoma respond to chemotherapy.[1] Several types of targeted therapy that may be of benefit to clear cell sarcoma patients are currently under investigation.[1]
See also
- Melanoma
- Clear-cell sarcoma of the kidney
- List of cutaneous conditions
- Hyalinizing clear cell carcinoma - has the same chromosomal translocation
References
- 1 2 3 4 5 Barry, G; Nielsen, T (June 2012). "Clear Cell Sarcoma of Soft Tissue". ESUN. 9 (3). Retrieved 15 June 2012.
- ↑ Malchau SS, Hayden J, Hornicek F, Mankin HJ (May 2007). "Clear cell sarcoma of soft tissues". J Surg Oncol. 95 (6): 519–22. doi:10.1002/jso.20730. PMID 17192915.
- ↑ Hisaoka M, Ishida T, Kuo TT, et al. (March 2008). "Clear cell sarcoma of soft tissue: a clinicopathologic, immunohistochemical, and molecular analysis of 33 cases". Am. J. Surg. Pathol. 32 (3): 452–60. doi:10.1097/PAS.0b013e31814b18fb. PMID 18300804.
- ↑ Poppe B, Forsyth R, Dhaene K, Speleman F. Soft tissue tumors: Clear cell sarcoma. Atlas Genet Cytogenet Oncol Haematol. November 2002.
- ↑ "Clear cell sarcoma". Pathology Outlines. Retrieved 26 May 2015.
- ↑ "Diagnosis". Retrieved 2010-06-29.
- ↑ "Clear Cell Sarcoma of Tendons and Aponeuroses". Retrieved 2010-06-29.
- ↑ "Treatment". Retrieved 2010-06-29.
