Melanoma

Melanoma
A melanoma of approximately 2.5 cm by 1.5 cm
Pronunciation i/ˌmɛləˈnmə/
Classification and external resources
Specialty Oncology and dermatology
ICD-10 C43
ICD-9-CM 172.9
ICD-O M8720/3
OMIM 155600
DiseasesDB 7947
MedlinePlus 000850
eMedicine derm/257 med/1386 ent/27 plastic/456
MeSH D008545

Melanoma, also known as malignant melanoma, is a type of cancer that develops from the pigment-containing cells known as melanocytes.[1] Melanomas typically occur in the skin but may rarely occur in the mouth, intestines, or eye.[1][2] In women they most commonly occur on the legs, while in men they are most common on the back.[2] Sometimes they develop from a mole with concerning changes including an increase in size, irregular edges, change in color, itchiness, or skin breakdown.[1]

The primary cause of melanoma is ultraviolet light (UV) exposure in those with low levels of skin pigment.[2][3] The UV light may be from either the sun or from other sources, such as tanning devices. About 25% develop from moles.[2] Those with many moles, a history of affected family members, and who have poor immune function are at greater risk.[1] A number of rare genetic defects such as xeroderma pigmentosum also increase risk.[4] Diagnosis is by biopsy of any concerning skin lesion.[1]

Avoiding UV light and the use of sunscreen may prevent melanoma.[2] Treatment is typically removal by surgery. In those with slightly larger cancers, nearby lymph nodes may be tested for spread. Most people are cured if spread has not occurred. For those in whom melanoma has spread, immunotherapy, biologic therapy, radiation therapy, or chemotherapy may improve survival.[1] With treatment the five-year survival rates in the United States is 98% among those with localized disease and 17% among those in whom spread has occurred.[5] The likelihood that it will come back or spread depends how thick the melanoma is, how fast the cells are dividing, and whether or not the overlying skin has broken down.[2]

Melanoma is the most dangerous type of skin cancer. Globally, in 2012, it occurred in 232,000 people and resulted in 55,000 deaths. Australia and New Zealand have the highest rates of melanoma in the world. There are also high rates in Europe and North America while it is less common in Asia, Africa, and Latin America.[2] Melanoma is more common in men than women.[4] Melanoma has become more common since the 1960s in areas that are mostly Caucasian.[2][4]

Signs and symptoms

Early signs of melanoma are changes to the shape or color of existing moles or, in the case of nodular melanoma, the appearance of a new lump anywhere on the skin. At later stages, the mole may itch, ulcerate or bleed.[6] Early signs of melanoma are summarized by the mnemonic "ABCDE":

These classifications do not, however, apply to the most dangerous form of melanoma, nodular melanoma, which has its own classifications:

Metastatic melanoma may cause nonspecific paraneoplastic symptoms, including loss of appetite, nausea, vomiting and fatigue. Metastasis of early melanoma is possible, but relatively rare: less than a fifth of melanomas diagnosed early become metastatic. Brain metastases are particularly common in patients with metastatic melanoma.[7] It can also spread to the liver, bones, abdomen or distant lymph nodes.

Cause

Melanomas are usually caused by DNA damage resulting from exposure to ultraviolet (UV) light from the sun. Genetics also play a role.

UV radiation

The ultraviolet radiation from tanning beds increases the risk of melanoma.[8] The International Agency for Research on Cancer finds that tanning beds are "carcinogenic to humans" and that people who begin using tanning devices before age 30 are 75% more likely to develop melanoma.[9]

Those who work in airplanes also appear to have an increased risk, believed to be due to greater exposure to UV.[10]

Ultraviolet UVB light (wavelengths between 315 – 280 nm) from the sun is absorbed by skin cell DNA and results in a type of direct DNA damage called cyclobutane pyrimidine dimers (CPDs). Thymine-thymine, cytosine-cytosine or cytosine-thymine dimers are formed by the joining of two adjacent pyrimidine bases within a DNA strand. Somewhat similarly to UVB, UVA light (longer wavelengths between 400 – 315 nm) from the sun or from tanning beds can also be directly absorbed by skin DNA (at about 100 to 1000 fold lower efficiency than UVB is absorbed).[11]

Studies suggest that exposure to ultraviolet radiation (UVA[12] and UVB) is one of the major contributors to the development of melanoma. Occasional extreme sun exposure (resulting in "sunburn") is causally related to melanoma.[13] Melanoma is most common on the back in men and on legs in women (areas of intermittent sun exposure). The risk appears to be strongly influenced by socio-economic conditions rather than indoor versus outdoor occupations; it is more common in professional and administrative workers than unskilled workers.[14][15] Other factors are mutations in or total loss of tumor suppressor genes. Use of sunbeds (with deeply penetrating UVA rays) has been linked to the development of skin cancers, including melanoma.[16]

Possible significant elements in determining risk include the intensity and duration of sun exposure, the age at which sun exposure occurs, and the degree of skin pigmentation. Melanoma rates tend to be highest in countries settled by migrants from northern Europe that have a large amount of direct, intense sunlight that the skin of the settlers is not adapted to, most notably Australia. Exposure during childhood is a more important risk factor than exposure in adulthood. This is seen in migration studies in Australia.[17]

Genetics

A number of rare mutations, which often run in families, greatly increase melanoma susceptibility. Several genes increase risks. Some rare genes have a relatively high risk of causing melanoma; some more common genes, such as a gene called MC1R that causes red hair, have a relatively lower elevated risk. Genetic testing can be used to search for the mutations.

One class of mutations affects the gene CDKN2A. An alternative reading frame mutation in this gene leads to the destabilization of p53, a transcription factor involved in apoptosis and in fifty percent of human cancers. Another mutation in the same gene results in a nonfunctional inhibitor of CDK4, a cyclin-dependent kinase that promotes cell division. Mutations that cause the skin condition xeroderma pigmentosum (XP) also increase melanoma susceptibility. Scattered throughout the genome, these mutations reduce a cell's ability to repair DNA. Both CDKN2A and XP mutations are highly penetrant (the chances of a carrier to express the phenotype is high).

Familial melanoma is genetically heterogeneous,[18] and loci for familial melanoma appear on the chromosome arms 1p, 9p and 12q. Multiple genetic events have been related to melanoma's pathogenesis (disease development).[19] The multiple tumor suppressor 1 (CDKN2A/MTS1) gene encodes p16INK4a – a low-molecular weight protein inhibitor of cyclin-dependent protein kinases (CDKs) – which has been localised to the p21 region of human chromosome 9.[20]

Other mutations confer lower risk, but are more common in the population. People with mutations in the MC1R gene, for example, are two to four times more likely to develop melanoma than those with two wild-type (typical unaffected type) copies. MC1R mutations are very common; in fact, all red-haired people have a mutated copy. Mutation of the MDM2 SNP309 gene is associated with increased risks for younger women.[21]

Fair- and red-haired people, persons with multiple atypical nevi or dysplastic nevi and persons born with giant congenital melanocytic nevi are at increased risk.[22]

A family history of melanoma greatly increases a person's risk because mutations in several genes have been found in melanoma-prone families.[23] People with a history of one melanoma are at increased risk of developing a second primary tumor.[24]

Pathophysiology

Where melanoma is most likely to develop
Molecular basis for melanoma cell motility: actin-rich podosomes (yellow), along with cell nuclei (blue), actin (red), and an actin regulator (green).

The earliest stage of melanoma starts when melanocytes begin out-of-control growth. Melanocytes are found between the outer layer of the skin (the epidermis) and the next layer (the dermis). This early stage of the disease is called the radial growth phase, when the tumor is less than 1 mm thick. Because the cancer cells have not yet reached the blood vessels deeper in the skin, it is very unlikely that this early-stage melanoma will spread to other parts of the body. If the melanoma is detected at this stage, then it can usually be completely removed with surgery.

When the tumor cells start to move in a different direction — vertically up into the epidermis and into the papillary dermis — cell behaviour changes dramatically.[25]

The next step in the evolution is the invasive radial growth phase, which is a confusing term; however, it explains the process of the radial growth, in which individual cells start to acquire invasive potential. From this point on the melanoma is capable of spreading. The Breslow's depth of the lesion is usually less than 1 mm (0.04 in), while the Clark level is usually 2.

The vertical growth phase (VGP) following is the invasive melanoma. The tumor becomes able to grow into the surrounding tissue and can spread around the body through blood or lymph vessels. The tumor thickness is usually more than 1 mm (0.04 in), and the tumor involves the deeper parts of the dermis.

The host elicits an immunological reaction against the tumor during the VGP,[26] which is judged by the presence and activity of the tumor infiltrating lymphocytes (TILs). These cells sometimes completely destroy the primary tumor; this is called regression, which is the latest stage of development. In certain cases, the primary tumor is completely destroyed and only the metastatic tumor is discovered. About 40% of human melanomas contain activating mutations affecting the structure of the B-Raf protein, resulting in constitutive signaling through the Raf to MAP kinase pathway.[27]

In general, cancers are caused by damage to DNA.[28] UVA light mainly causes thymine-thymine dimers.[29] UVA also produces reactive oxygen species and these inflict other DNA damage, primarily single-strand breaks, oxidized pyrimidines and the oxidized purine 8-oxoguanine (a mutagenic DNA change) at 1/10th, 1/10th and 1/3rd the frequencies of UVA-induced thymine-thymine dimers, respectively.

If unrepaired, CPD photoproducts can lead to mutations by inaccurate translesion synthesis during DNA replication or repair. The most frequent mutations due to inaccurate synthesis past CPDs are cytosine to thymine (C>T) or CC>TT transition mutations. These are commonly referred to as UV fingerprint mutations, as they are the most specific mutation caused by UV, being frequently found in sun-exposed skin but rarely found in internal organs.[30] Errors in DNA repair of UV photoproducts, or inaccurate synthesis past these photoproducts, can also lead to deletions, insertions and chromosomal translocations.

The entire genomes of 25 melanomas were sequenced.[31] On average, about 80,000 mutated bases (mostly C>T transitions) and about 100 structural rearragements were found per melanoma genome. This is much higher than the approximately 70 mutations across generations (parent to child).[32][33] Among the 25 melanomas, about 6,000 protein-coding genes had missense, nonsense or splice site mutations.

UV radiation causes damage to the DNA of cells, typically thymine dimerization, which when unrepaired can create mutations in the cell's genes. When the cell divides, these mutations are propagated to new generations of cells. If the mutations occur in protooncogenes or tumor suppressor genes, the rate of mitosis in the mutation-bearing cells can become uncontrolled, leading to the formation of a tumor. Data from patients suggest that aberrant levels of activating transcription factor in the nucleus of melanoma cells are associated with increased metastatic activity of melanoma cells;[34][35][36] studies from mice on skin cancer tend to confirm a role for activating transcription factor-2 in cancer progression.[37][38]

Diagnosis

ABCD rule illustration: On the left side from top to bottom: melanomas showing (A) Asymmetry, (B) a border that is uneven, ragged, or notched, (C) coloring of different shades of brown, black, or tan and (D) diameter that had changed in size. The normal moles on the right side do not have abnormal characteristics (no asymmetry, even border, even color, no change in diameter).
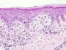
Melanoma in skin biopsy with H&E stain — this case may represent superficial spreading melanoma.
Lymph node with almost complete replacement by metastatic melanoma. The brown pigment is focal deposition of melanin.

Visual inspection is the most common diagnostic technique.[39] Moles that are irregular in color or shape are typically treated as candidates. To detect melanomas (and increase survival rates), it is recommended to learn to recognize them (see "ABCDE" mnemonic above), to regularly examine moles for changes (shape, size, color, itching or bleeding) and to consult a qualified physician when a candidate appears.[40][41]

ABCDE

A popular method for remembering the signs and symptoms of melanoma is the mnemonic "ABCDE":

However, many melanomas present as lesions smaller than 6 mm in diameter; and all melanomas are malignant when they first appear as a small dot. Physicians typically examine all moles, including those less than 6 mm in diameter. Seborrheic keratosis may meet some or all of the ABCD criteria, and can lead to false alarms. Doctors can generally distinguish seborrheic keratosis from melanoma upon examination, or with dermatoscopy.

Some advocate replacing enlarging with evolution. Certainly moles that change and evolve will be a concern. Alternatively, some practitioners prefer elevation. Elevation can help identify a melanoma, but lack of elevation does not mean that the lesion is not a melanoma. Most melanomas in the US are detected before they become elevated. By the time elevation is visible, they may have progressed to the more dangerous invasive stage.

Nodular melanomas do not fulfill these criteria, having their own mnemonic, "EFG":

Ugly duckling

A recent and novel method is the "ugly duckling sign".[42] It is simple, easy to teach, and highly effective. Correlation of common lesion characteristics is made. Lesions that greatly deviate from the common characteristics are labeled an "Ugly Duckling", and a further professional exam is required. The "Little Red Riding Hood" sign[42] suggests that individuals with fair skin and light-colored hair might have difficult-to-diagnose amelanotic melanomas. Extra care is required when examining such individuals, as they might have multiple melanomas and severely dysplastic nevi. A dermatoscope must be used to detect "ugly ducklings", as many melanomas in these individuals resemble non-melanomas or are considered to be "wolves in sheep's clothing".[43] These fair-skinned individuals often have lightly pigmented or amelanotic melanomas that do not present easy-to-observe color changes and variations. Their borders are often indistinct, complicating visual identification without a dermatoscope.

Amelanotic melanomas and melanomas arising in fair-skinned individuals are very difficult to detect, as they fail to show many of the characteristics in the ABCD rule, break the "Ugly Duckling" sign and are hard to distinguish from acne scarring, insect bites, dermatofibromas, or lentigines.

Biopsy

Following a visual examination and a dermatoscopic exam,[43] or in vivo diagnostic tools such as a confocal microscope, the doctor may biopsy the suspicious mole. A skin biopsy performed under local anesthesia is often required to assist in making or confirming the diagnosis and in defining severity. Elliptical excisional biopsies may remove the tumor, followed by histological analysis and Breslow scoring. Punch biopsies are contraindicated in suspected melanomas, for fear of seeding tumor cells and hastening the spread of malignant cells.

Total body photography, which involves photographic documentation of as much body surface as possible, is often used during follow-up for high-risk patients. The technique has been reported to enable early detection and provides a cost-effective approach (with any digital camera), but its efficacy has been questioned due to its inability to detect macroscopic changes.[39] The diagnosis method should be used in conjunction with (and not as a replacement for) dermoscopic imaging, with a combination of both methods appearing to give extremely high rates of detection.

Classification

An anal melanoma

Melanoma is divided into the following types:[44]

See also:[45]

Laboratory

Lactate dehydrogenase (LDH) tests are often used to screen for metastases, although many patients with metastases (even end-stage) have a normal LDH; extraordinarily high LDH often indicates metastatic spread of the disease to the liver.

It is common for patients diagnosed with melanoma to have chest X-rays and an LDH test, and in some cases CT, MRI, PET and/or PET/CT scans. Although controversial, sentinel lymph node biopsies and examination of the lymph nodes are also performed in patients to assess spread to the lymph nodes. A diagnosis of melanoma is supported by the presence of the S-100 protein marker.

HMB-45 is a monoclonal antibody that reacts against an antigen present in melanocytic tumors such as melanomas. It is used in anatomic pathology as a marker for such tumors. The antibody was generated to an extract of melanoma. It reacts positively against melanocytic tumors but not other tumors, thus demonstrating specificity and sensitivity. The antibody also reacts positively against junctional nevus cells but not intradermal nevi, and against fetal melanocytes but not normal adult melanocytes.

HMB-45 is nonreactive with almost all non-melanoma human malignancies, with the exception of rare tumors showing evidence of melanogenesis (e.g., pigmented schwannoma, clear cell sarcoma) or tumors associated with tuberous sclerosis complex (angiomyolipoma and lymphangiomyoma).

Staging

Further context on cancer staging is available at TNM.

Also of importance are the "Clark level" and "Breslow's depth", which refer to the microscopic depth of tumor invasion.[46]

Melanoma stages:[47] 5 year survival rates:

T stages of melanoma

Stage 0: Melanoma in situ (Clark Level I), 99.9% survival

Stage I / II: Invasive melanoma, 89–95% survival

F18-FDG PET/CT in a melanoma patient showing multiple lesions, most likely metastases

Stage II: High risk melanoma, 45–79% survival

Stage III: Regional metastasis, 24–70% survival

Stage IV: Distant metastasis, 7–19% survival

Based upon AJCC five-year survival from initial melanoma diagnosis with proper treatment.

Prevention

Avoiding ultraviolet radiation

Minimizing exposure to sources of ultraviolet radiation (the sun and sunbeds),[48] following sun protection measures and wearing sun protective clothing (long-sleeved shirts, long trousers, and broad-brimmed hats) can offer protection.

Using artificial light for tanning was once believed to help prevent skin cancers, but it can actually lead to an increased incidence of melanomas.[49] Even though tanning beds emit mostly UVA, which causes tanning, it by itself might be enough to induce melanomas.

To decrease ultraviolet light exposure it is recommended to avoid the sun between the hours of 9 a.m. and 3 p.m. or avoid the sun when one's shadow is shorter than one's height.

Sunscreen

Sunscreen appears to be effective in preventing melanoma.[2][50] In the past, use of sunscreens with a sun protection factor (SPF) rating of 50 or higher on exposed areas were recommended; as older sunscreens more effectively blocked UVA with higher SPF.[51] Currently, newer sunscreen ingredients (avobenzone, zinc oxide, and titanium dioxide) effectively block both UVA and UVB even at lower SPFs. Sunscreen also protects against squamous cell carcinoma, another skin cancer.[52]

Treatment

Extensive malignant melanoma on a person's chest

Confirmation of the clinical diagnosis is done with a skin biopsy. This is usually followed up with a wider excision of the scar or tumor. Depending on the stage, a sentinel lymph node biopsy is done, as well, although controversy exists around trial evidence for this procedure.[53] Treatment of advanced malignant melanoma is performed from a multidisciplinary approach.

Surgery

Excisional biopsies may remove the tumor, but further surgery is often necessary to reduce the risk of recurrence. Complete surgical excision with adequate surgical margins and assessment for the presence of detectable metastatic disease along with short- and long-term followup is standard. Often this is done by a wide local excision (WLE) with 1 to 2 cm margins. Melanoma-in-situ and lentigo malignas are treated with narrower surgical margins, usually 0.2 to 0.5 cm. Many surgeons consider 0.5 cm the standard of care for standard excision of melanoma-in-situ,[54] but 0.2 cm margin might be acceptable for margin controlled surgery (Mohs surgery, or the double-bladed technique with margin control). The wide excision aims to reduce the rate of tumor recurrence at the site of the original lesion. This is a common pattern of treatment failure in melanoma. Considerable research has aimed to elucidate appropriate margins for excision with a general trend toward less aggressive treatment during the last decades.[55]

Mohs surgery has been reported with cure rate as low as 77%[56] and as high as 98.0% for melanoma-in-situ.[57] CCPDMA and the "double scalpel" peripheral margin controlled surgery is equivalent to Mohs surgery in effectiveness on this "intra-epithelial" type of melanoma.

Melanomas that spread usually do so to the lymph nodes in the area of the tumor before spreading elsewhere. Attempts to improve survival by removing lymph nodes surgically (lymphadenectomy) were associated with many complications, but no overall survival benefit. Recently, the technique of sentinel lymph node biopsy has been developed to reduce the complications of lymph node surgery while allowing assessment of the involvement of nodes with tumor.[58]

Biopsy of sentinel lymph nodes is a widely used procedure when treating cutaneous melanoma.[59][60]

Neither sentinel lymph node biopsy nor other diagnostic tests should be performed to evaluate early, thin melanoma, including melanoma in situ, T1a melanoma or T1b melanoma ≤ 0.5mm.[61] People with these conditions are unlikely to have the cancer spread to their lymph nodes or anywhere else and already have a 97% 5-year survival rate.[61] Because of these things, sentinel lymph node biopsy is unnecessary health care for them.[61] Furthermore, baseline blood tests and radiographic studies should not be performed only based on identifying this kind of melanoma, as there are more accurate tests for detecting cancer and these tests have high false-positive rates.[61]

Sentinel lymph node biopsy is often performed, especially for T1b/T2+ tumors, mucosal tumors, ocular melanoma and tumors of the limbs. A process called lymphoscintigraphy is performed in which a radioactive tracer is injected at the tumor site to localize the sentinel node(s). Further precision is provided using a blue tracer dye, and surgery is performed to biopsy the node(s). Routine hematoxylin and eosin (H&E) and immunoperoxidase staining will be adequate to rule out node involvement. Polymerase chain reaction (PCR) tests on nodes, usually performed to test for entry into clinical trials, now demonstrate that many patients with a negative sentinel lymph node actually had a small number of positive cells in their nodes. Alternatively, a fine-needle aspiration biopsy may be performed and is often used to test masses.

If a lymph node is positive, depending on the extent of lymph node spread, a radical lymph node dissection will often be performed. If the disease is completely resected, the patient will be considered for adjuvant therapy. Excisional skin biopsy is the management of choice. Here, the suspect lesion is totally removed with an adequate (but minimal, usually 1 or 2 mm) ellipse of surrounding skin and tissue.[62] To avoid disruption of the local lymphatic drainage, the preferred surgical margin for the initial biopsy should be narrow (1 mm). The biopsy should include the epidermal, dermal, and subcutaneous layers of the skin. This enables the histopathologist to determine the thickness of the melanoma by microscopic examination. This is described by Breslow's thickness (measured in millimeters). However, for large lesions, such as suspected lentigo maligna, or for lesions in surgically difficult areas (face, toes, fingers, eyelids), a small punch biopsy in representative areas will give adequate information and will not disrupt the final staging or depth determination. In no circumstances should the initial biopsy include the final surgical margin (0.5 cm, 1.0 cm, or 2 cm), as a misdiagnosis can result in excessive scarring and morbidity from the procedure. A large initial excision will disrupt the local lymphatic drainage and can affect further lymphangiogram-directed lymphnode dissection. A small punch biopsy can be used at any time where for logistical and personal reasons a patient refuses more invasive excisional biopsy. Small punch biopsies are minimally invasive and heal quickly, usually without noticeable scarring.

Add on treatment

High-risk melanomas may require adjuvant treatment, although attitudes to this vary in different countries. In the United States, most patients in otherwise good health will begin up to a year of high-dose interferon treatment, which has severe side effects, but may improve the patient's prognosis slightly.[63] However British Association of Dermatologist guidelines on melanoma state that interferon is not recommended as a standard adjuvant treatment for melanoma.[64] A 2011 meta-analysis showed that interferon could lengthen the time before a melanoma comes back but increased survival by only 3% at 5 years. The unpleasant side effects also greatly decrease quality of life.[65]

In Europe, interferon is usually not used outside the scope of clinical trials.[66][67]

Metastatic melanomas can be detected by X-rays, CT scans, MRIs, PET and PET/CTs, ultrasound, LDH testing and photoacoustic detection.[68]

Chemotherapy and immunotherapy

Various chemotherapy agents, including temozolomide, dacarbazine (also termed DTIC), immunotherapy (with interleukin-2 (IL-2) or interferon (IFN)), as well as local perfusion, are used by different centers. The overall success in metastatic melanoma is quite limited.[69]

IL-2 (Proleukin) was the first new therapy approved (1990 Europe, 1992 USA) for the treatment of metastatic melanoma in 20 years. Studies have demonstrated that IL-2 offers the possibility of a complete and long-lasting remission in this disease, although only in a small percentage of patients.[70] Intralesional IL-2 for in-transit metastases has a high complete response rate ranging from 40 to 100%.[71]

By 2005 a number of new agents and novel approaches were under evaluation and showed promise.[72]

In 2009 Clinical trial participation was considered the standard of care for metastatic melanoma.[73]

Therapies for metastatic melanoma include biologic immunotherapy agents ipilimumab, pembrolizumab, and nivolumab; BRAF inhibitors, such as vemurafenib and dabrafenib; and a MEK inhibitor trametinib.[71]

Ongoing research is looking at treatment by adoptive cell transfer.[74] For this purpose, application of prestimulated or modified T cells [75] or dendritic cells is possible.[76]

Lentigo maligna

Standard excision is still being done by most surgeons. Unfortunately, the recurrence rate is exceedingly high (up to 50%). This is due to the ill-defined visible surgical margin, and the facial location of the lesions (often forcing the surgeon to use a narrow surgical margin). The narrow surgical margin used, combined with the limitation of the standard "bread-loafing" technique of fixed tissue histology — result in a high "false negative" error rate, and frequent recurrences. Margin control (peripheral margins) is necessary to eliminate the false negative errors. If bread loafing is used, distances from sections should approach 0.1 mm to assure that the method approaches complete margin control.

Mohs surgery has been done with cure rate reported to be as low as 77%,[56] and as high as 95% by another author.[57] The "double scalpel" peripheral margin controlled excision method approximates the Mohs method in margin control, but requires a pathologist intimately familiar with the complexity of managing the vertical margin on the thin peripheral sections and staining methods.[77]

Some melanocytic nevi, and melanoma-in-situ (lentigo maligna) have resolved with an experimental treatment, imiquimod (Aldara) topical cream, an immune enhancing agent. Some dermasurgeons are combining the 2 methods: surgically excising the cancer and then treating the area with Aldara cream postoperatively for three months.

Radiation therapy

Radiation therapy is often used after surgical resection for patients with locally or regionally advanced melanoma or for patients with unresectable distant metastases. Kilovoltage x-ray beams are often used for these treatments and have the property of the maximum radiation dose occurring close to the skin surface.[78] It may reduce the rate of local recurrence but does not prolong survival.[79] Radioimmunotherapy of metastatic melanoma is currently under investigation. Radiotherapy has a role in the palliation of metastatic melanoma.[80]

Prognosis

A diagram showing the most common sites for melanoma to spread

Features that affect prognosis are tumor thickness in millimeters (Breslow's depth), depth related to skin structures (Clark level), type of melanoma, presence of ulceration, presence of lymphatic/perineural invasion, presence of tumor-infiltrating lymphocytes (if present, prognosis is better), location of lesion, presence of satellite lesions, and presence of regional or distant metastasis.[81] Certain types of melanoma have worse prognoses but this is explained by their thickness. Interestingly, less invasive melanomas even with lymph node metastases carry a better prognosis than deep melanomas without regional metastasis at time of staging. Local recurrences tend to behave similarly to a primary unless they are at the site of a wide local excision (as opposed to a staged excision or punch/shave excision) since these recurrences tend to indicate lymphatic invasion.

When melanomas have spread to the lymph nodes, one of the most important factors is the number of nodes with malignancy. Extent of malignancy within a node is also important; micrometastases in which malignancy is only microscopic have a more favorable prognosis than macrometastases. In some cases micrometastases may only be detected by special staining, and if malignancy is only detectable by a rarely employed test known as the polymerase chain reaction (PCR), the prognosis is better. Macrometastases in which malignancy is clinically apparent (in some cases cancer completely replaces a node) have a far worse prognosis, and if nodes are matted or if there is extracapsular extension, the prognosis is worse still.

When there is distant metastasis, the cancer is generally considered incurable. The five-year survival rate is less than 10%.[47] The median survival is 6–12 months. Treatment is palliative, focusing on life extension and quality of life. In some cases, patients may live many months or even years with metastatic melanoma (depending on the aggressiveness of the treatment). Metastases to skin and lungs have a better prognosis. Metastases to brain, bone and liver are associated with a worse prognosis. Survival is better with metastasis in which the location of the primary tumor is unknown.[82]

There is not enough definitive evidence to adequately stage, and thus give a prognosis for, ocular melanoma and melanoma of soft parts, or mucosal melanoma (e.g. rectal melanoma), although these tend to metastasize more easily. Even though regression may increase survival, when a melanoma has regressed, it is impossible to know its original size and thus the original tumor is often worse than a pathology report might indicate.

Epidemiology

Age-standardized new cases per year of melanoma of the skin per 100,000 inhabitants in 2008.[83]
  no data
  less than 1.75
  1.76–3.50
  3.51–5.25
  5.26–7.00
  7.01–8.75
  8.76–10.50
  10.51–12.25
  12.26–14.00
  14.01–15.75
  15.76–17.50
  17.76–19.25
  more than 19.25
Deaths from melanoma and other skin cancers per million persons in 2012
  0-2
  3-5
  6-6
  7-8
  9-9
  10-13
  14-18
  19-37
  38-51
  52-114

Globally, in 2012, melanoma occurred in 232,000 people and resulted in 55,000 deaths.[2] Australia and New Zealand have the highest rates of melanoma in the world.[2] It has become more common in the last 20 years in areas that are mostly Caucasian.[2]

The rate of melanoma has increased in the recent years, but it is not clear to what extent changes in behavior, in the environment, or in early detection are involved.[84]

Australia

Australia has a very high - and increasing - rate of melanoma. In 2012, deaths from melanoma occurred in 7.3-9.8 per 100,000 population. In Australia, melanoma is the third most common cancer in either sex; indeed, its incidence is higher than for lung cancer, although the latter accounts for more deaths. It is estimated that in 2012, more than 12,000 Australians were diagnosed with melanoma: given Australia's modest population, this is better expressed as 59.6 new cases per 100,000 population per year; >1 in 10 of all new cancer cases were melanomas.[85] Melanoma incidence in Australia is matter of significance, for the following reasons:

United States

In the United States about 9,000 people die from melanoma a year.[86] In 2011 it affected 19.7 per 100,000, and resulted in death in 2.7 per 100,000.[86]

History

Although melanoma is not a new disease, evidence for its occurrence in antiquity is rather scarce. However, one example lies in a 1960s examination of nine Peruvian mummies, radiocarbon dated to be approximately 2400 years old, which showed apparent signs of melanoma: melanotic masses in the skin and diffuse metastases to the bones.[87]

John Hunter is reported to be the first to operate on metastatic melanoma in 1787. Although not knowing precisely what it was, he described it as a "cancerous fungous excrescence". The excised tumor was preserved in the Hunterian Museum of the Royal College of Surgeons of England. It was not until 1968 that microscopic examination of the specimen revealed it to be an example of metastatic melanoma.[88]

The French physician René Laennec was the first to describe melanoma as a disease entity. His report was initially presented during a lecture for the Faculté de Médecine de Paris in 1804 and then published as a bulletin in 1806.[89] The first English language report of melanoma was presented by an English general practitioner from Stourbridge, William Norris in 1820.[90] In his later work in 1857 he remarked that there is a familial predisposition for development of melanoma (Eight Cases of Melanosis with Pathological and Therapeutical Remarks on That Disease). Norris was also a pioneer in suggesting a link between nevi and melanoma and the possibility of a relationship between melanoma and environmental exposures, by observing that most of his patients had pale complexions.[91] He also described that melanomas could be amelanotic and later showed the metastatic nature of melanoma by observing that they can disseminate to other visceral organs.

The first formal acknowledgment of advanced melanoma as untreatable came from Samuel Cooper in 1840. He stated that the only chance for a cure depends upon the early removal of the disease (i.e., early excision of the malignant mole) ...'[92] More than one and a half centuries later this situation remains largely unchanged.

The world melanoma is from the Greek μέλας melas meaning "dark".[93]

Research

Pharmacotherapy research for unresectable or metastatic malignant melanoma offers new treatment possibilities.[94] In addition to the advances with recently approved agents, ongoing research into combination therapy, such as dabrafenib and trametinib, may reveal a more effective and better-tolerated option for patients with metastatic melanoma. One important pathway in melanin synthesis involves the transcription factor MITF. The MITF gene is highly conserved and is found in people, mice, birds, and even fish. MITF production is regulated via a fairly straightforward pathway. UV radiation causes increased expression of transcription factor p53 in keratinocytes, and p53 causes these cells to produce melanocyte-stimulating hormone (MSH), which binds to melanocortin 1 receptors (MC1R) on melanocytes. Ligand-binding at MC1R receptors activates adenylate cyclases, which produce cAMP, which activates CREB, which promote MITF expression. The targets of MITF include p16 (a CDK inhibitor) and Bcl2, a gene essential to melanocyte survival. It is often difficult to design drugs that interfere with transcription factors, but perhaps new drugs will be discovered that can impede some reaction in the pathway upstream of MITF.

Studies of chromatin structure also promise to shed light on transcriptional regulation in melanoma cells.[95] It has long been assumed that nucleosomes are positioned randomly on DNA, but murine studies of genes involved in melanin production now suggest that nucleosomes are stereotypically positioned on DNA. When a gene is undergoing transcription, its transcription start site is almost always nucleosome-free. When the gene is silent, however, nucleosomes often block the transcriptional start site, suggesting that nucleosome position may play a role in gene regulation. In addition to genetic mutations, evidence demonstrates that epigenetic events (e.g. loss of DNA hydroxymethylation 5-hydroxymethylcytosine) also play roles in melanoma tumorigenesis.[96]

Finally, given the fact that melanin helps protect skin cells from UV-induced damage, new melanoma prevention strategies could involve attempts to induce melanin synthesis in individuals who would otherwise get sunburns. Redheads, for example, do not tan because they have MC1R mutations. In mice, it has been shown that the melanin production pathway can be rescued downstream of MC1R.

Targeted therapies

In clinical research setting other therapies, such as adoptive cell therapy or gene therapy, are being tested.[97]

Two kinds of experimental treatments developed at the National Cancer Institute (NCI), have been used in metastatic melanoma with tentative success.[25]

The first treatment involves adoptive cell therapy (ACT) using TILs immune cells (tumor infiltrating lymphocytes) isolated from a person's own melanoma tumor.[71] These cells are grown in large numbers in a laboratory and returned to the patient after a treatment that temporarily reduces normal T cells in the patient's body. TIL therapy following lymphodepletion can result in durable complete response in a variety of setups.[98][99]

The second treatment, adoptive transfer of genetically altered autologous lymphocytes, depends on delivering genes that encode so called T cell receptors (TCRs), into patient's lymphocytes.[71] After that manipulation lymphocytes recognize and bind to certain molecules found on the surface of melanoma cells and kill them.[100]

A vaccine to train the immune system to fight cancer showed modest benefit in late-stage testing in 2009 against melanoma.[101][102]

BRAF inhibitors

About 60% of melanomas contain a mutation in the B-Raf gene. Early clinical trials suggested that B-Raf inhibitors including Plexxicon's vemurafenib could lead to substantial tumor regression in a majority of patients if their tumor contain the B-Raf mutation.[103] In June 2011, a large clinical trial confirmed the positive findings from those earlier trials.[104][105]

In August 2011 Vemurafenib received FDA approval for the treatment of late-stage melanoma. In May 2013 the US FDA approved dabrafenib as a single agent treatment for patients with BRAF V600E mutation-positive advanced melanoma.[106]

Some researchers believe that combination therapies that simultaneously block multiple pathways may improve efficacy by making it more difficult for the tumor cells to mutate before being destroyed. In October 2012 a study reported that combining Dabrafenib with a MEK inhibitor trametinib led to even better outcomes. Compared to Dabrafenib alone, progression-free survival was increased to 41% from 9%, and the median progression-free survival increased to 9.4 months versus 5.8 months. Some side effects were, however, increased in the combined study. [107][108]

In January 2014, the FDA approved the combination of dabrafenib and trametinib for the treatment of patients with BRAF V600E/K-mutant metastatic melanoma.[109]

Eventual resistance to BRAF and MEK inhibitors may be due to a cell surface protein known as EphA2 which is now being investigated.[110]

Ipilimumab

At the American Society of Clinical Oncology Conference in June 2010, the Bristol-Myers Squibb pharmaceutical company reported the clinical findings of their drug ipilimumab. The study found an increase in median survival from 6.4 to 10 months in patients with advanced melanomas treated with the monoclonal ipilimumab, versus an experimental vaccine. It also found a one-year survival rate of 25% in the control group using the vaccine, 44% in the vaccine and ipilimumab group, and 46% in the group treated with ipilimumab alone.[111] However, some have raised concerns about this study for its use of the unconventional control arm, rather than comparing the drug against a placebo or standard treatment.[112][113] The criticism was that although Ipilimumab performed better than the vaccine, the vaccine has not been tested before and may be causing toxicity, making the drug appear better by comparison.

Ipilimumab was approved by the FDA in March 2011 to treat patients with late-stage melanoma that has spread or cannot be removed by surgery.[114][115][116]

In June 2011, a clinical trial of ipilimumab plus dacarbazine combined this immune system booster with the standard chemotherapy drug that targets cell division. It showed an increase in median survival for these late stage patients to 11 months instead of the 9 months normally seen. Researchers were also hopeful that perhaps 10–20% of patients could live a long time. Some serious side-effects of revving up the immune system were seen in some patients. A course of treatment costs $120,000. The drug's brandname is Yervoy.[104][117]

Surveillance methods

Advances in high resolution ultrasound scanning have enabled surveillance of metastatic burden to the sentinel lymph nodes.[118] The Screening and Surveillance of Ultrasound in Melanoma trial (SUNMEL) is evaluating ultrasound as an alternative to invasive surgical methods.[119]

Oncolytic virotherapy

In some countries oncolytic virotherapy methods are studied and used to treat melanoma. Oncolytic virotherapy is a promising branch of virotherapy, where oncolytic viruses are used to treat diseases; viruses can increase metabolism, reduce anti-tumor immunity and disorganize vasculature.[120] Talimogene laherparepvec (T-VEC) (which is a herpes simplex virus type 1–derived oncolytic immunotherapy), was shown to be useful against metastatic melanoma in 2015 with an increased survival of 4.4 months.[121]

References

  1. 1 2 3 4 5 6 "Melanoma Treatment–for health professionals (PDQ®)". National Cancer Institute. June 26, 2015. Retrieved 30 June 2015.
  2. 1 2 3 4 5 6 7 8 9 10 11 12 World Cancer Report 2014. World Health Organization. 2014. pp. Chapter 5.14. ISBN 9283204298.
  3. Kanavy HE, Gerstenblith MR (December 2011). "Ultraviolet radiation and melanoma". Semin Cutan Med Surg. 30 (4): 222–8. doi:10.1016/j.sder.2011.08.003. PMID 22123420.
  4. 1 2 3 Azoury, SC; Lange, JR (October 2014). "Epidemiology, risk factors, prevention, and early detection of melanoma.". The Surgical clinics of North America. 94 (5): 945–62, vii. doi:10.1016/j.suc.2014.07.013. PMID 25245960.
  5. "SEER Stat Fact Sheets: Melanoma of the Skin". NCI. Retrieved June 2015. Check date values in: |access-date= (help)
  6. "MelanomaWarningSigns.com".
  7. Fiddler IJ (October 1995). "Melanoma metastasis". Cancer Control. 2 (5): 398–404. PMID 10862180.
  8. Boniol, M; Autier, P; Boyle, P; Gandini, S (Jul 24, 2012). "Cutaneous melanoma attributable to sunbed use: systematic review and meta-analysis.". BMJ (Clinical research ed.). 345: e4757. doi:10.1136/bmj.e4757. PMC 3404185Freely accessible. PMID 22833605.
  9. WHO International Agency for Research on Cancer Monograph Working Group (August 2009). "A Review of Human Carcinogens—Part D:Radiation". The Lancet Oncology. 10 (8): 751–2. doi:10.1016/S1470-2045(09)70213-X. PMID 19655431.
  10. Sanlorenzo, Martina; Wehner, Mackenzie R.; Linos, Eleni; Kornak, John; Kainz, Wolfgang; Posch, Christian; Vujic, Igor; Johnston, Katia; Gho, Deborah; Monico, Gabriela; McGrath, James T.; Osella-Abate, Simona; Quaglino, Pietro; Cleaver, James E.; Ortiz-Urda, Susana (3 September 2014). "The Risk of Melanoma in Airline Pilots and Cabin Crew". JAMA Dermatology. doi:10.1001/jamadermatol.2014.1077.
  11. Rünger TM, Farahvash B, Hatvani Z, Rees A (January 2012). "Comparison of DNA damage responses following equimutagenic doses of UVA and UVB: a less effective cell cycle arrest with UVA may render UVA-induced pyrimidine dimers more mutagenic than UVB-induced ones". Photochem. Photobiol. Sci. 11 (1): 207–15. doi:10.1039/c1pp05232b. PMID 22005748.
  12. Wang S, Setlow R, Berwick M, Polsky D, Marghoob A, Kopf A, Bart R (2001). "Ultraviolet A and melanoma: a review". J Am Acad Dermatol. 44 (5): 837–46. doi:10.1067/mjd.2001.114594. PMID 11312434.
  13. Oliveria S, Saraiya M, Geller A, Heneghan M, Jorgensen C (2006). "Sun exposure and risk of melanoma". Arch Dis Child. 91 (2): 131–8. doi:10.1136/adc.2005.086918. PMC 2082713Freely accessible. PMID 16326797.
  14. Lee J, Strickland D (1980). "Malignant melanoma: social status and outdoor work". Br J Cancer. 41 (5): 757–63. doi:10.1038/bjc.1980.138. PMC 2010319Freely accessible. PMID 7426301.
  15. Pion IA, Rigel DS, Garfinkel L, Silverman MK, Kopf AW (January 1995). "Occupation and the risk of malignant melanoma". Cancer. 75 (2 Suppl): 637–44. doi:10.1002/1097-0142(19950115)75:2. PMID 7804988.
  16. The World Health Organization recommends that no person under 18 should use a sunbed
  17. Khlat M, Vail A, Parkin M, Green A (1992). "Mortality from melanoma in migrants to Australia: variation by age at arrival and duration of stay". Am J Epidemiol. 135 (10): 1103–13. PMID 1632422.
  18. Greene MH. (1998). "The genetics of hereditary melanoma and nevi". Cancer. 86 (11): 2464–77. doi:10.1002/(SICI)1097-0142(19991201)86:11. PMID 10630172.
  19. Halachmi S, Gilchrest BA (2001). "Update on genetic events in the pathogenesis of melanoma". Current Opinion in Oncology. 13 (2): 129–136. doi:10.1097/00001622-200103000-00008. PMID 11224711.
  20. CDKN2A cyclin-dependent kinase inhibitor 2A (melanoma, p16, inhibits CDK4) from Entrez Gene
  21. Firoz for Cancer Research, EF; Warycha, M; Zakrzewski, J; Pollens, D; Wang, G; Shapiro, R; Berman, R; Pavlick, A; Manga, P; Ostrer, H.; Celebi, J. T.; Kamino, H.; Darvishian, F.; Rolnitzky, L.; Goldberg, J. D.; Osman, I.; Polsky, D. (2009). "Association of MDM2 SNP309, Age of Onset, and Gender in Cutaneous Melanoma.". Clinical Cancer Research. 15 (7): 2573–80. doi:10.1158/1078-0432.CCR-08-2678. PMID 19318491.
  22. Bliss J, Ford D, Swerdlow A, Armstrong B, Cristofolini M, Elwood J, Green A, Holly E, Mack T, MacKie R (1995). "Risk of cutaneous melanoma associated with pigmentation characteristics and freckling: systematic overview of 10 case-control studies. The International Melanoma Analysis Group (IMAGE)". Int J Cancer. 62 (4): 367–76. doi:10.1002/ijc.2910620402. PMID 7635560.
  23. Miller A, Mihm M (2006). "Melanoma". N Engl J Med. 355 (1): 51–65. doi:10.1056/NEJMra052166. PMID 16822996.
  24. Rhodes A, Weinstock M, Fitzpatrick T, Mihm M, Sober A (1987). "Risk factors for cutaneous melanoma. A practical method of recognizing predisposed individuals". JAMA. 258 (21): 3146–54. doi:10.1001/jama.258.21.3146. PMID 3312689.
  25. 1 2 Hershkovitz L, Schachter J, Treves AJ, Besser MJ (2010). "Focus on adoptive T cell transfer trials in melanoma". Clin. Dev. Immunol. 2010: 260267. doi:10.1155/2010/260267. PMC 3018069Freely accessible. PMID 21234353.
  26. "ASCO Annual Meeting Proceedings Part I. Abstract: Protective effect of a brisk tumor infiltrating lymphocyte infiltrate in melanoma: An EORTC melanoma group study". Journal of Clinical Oncology. 25 (18S): 8519. 2007.
  27. Davies, M A; Samuels, Y (2010). "Analysis of the genome to personalize therapy for melanoma". Oncogene. 29 (41): 5545–5555. doi:10.1038/onc.2010.323. PMC 3169242Freely accessible. PMID 20697348.
  28. Bernstein C, Prasad AR, Nfonsam V, Bernstein H. (2013). DNA Damage, DNA Repair and Cancer, New Research Directions in DNA Repair, Prof. Clark Chen (Ed.), ISBN 978-953-51-1114-6, InTech, http://www.intechopen.com/books/new-research-directions-in-dna-repair/dna-damage-dna-repair-and-cancer
  29. Sage E, Girard PM, Francesconi S (January 2012). "Unravelling UVA-induced mutagenesis". Photochem. Photobiol. Sci. 11 (1): 74–80. doi:10.1039/c1pp05219e. PMID 21901217.
  30. Budden T, Bowden NA (2013). "The Role of Altered Nucleotide Excision Repair and UVB-Induced DNA Damage in Melanomagenesis". Int J Mol Sci. 14 (1): 1132–51. doi:10.3390/ijms14011132. PMC 3565312Freely accessible. PMID 23303275.
  31. Berger MF, Hodis E, Heffernan TP, Deribe YL, Lawrence MS, Protopopov A, Ivanova E, Watson IR, Nickerson E, Ghosh P, Zhang H, Zeid R, Ren X, Cibulskis K, Sivachenko AY, Wagle N, Sucker A, Sougnez C, Onofrio R, Ambrogio L, Auclair D, Fennell T, Carter SL, Drier Y, Stojanov P, Singer MA, Voet D, Jing R, Saksena G, Barretina J, Ramos AH, Pugh TJ, Stransky N, Parkin M, Winckler W, Mahan S, Ardlie K, Baldwin J, Wargo J, Schadendorf D, Meyerson M, Gabriel SB, Golub TR, Wagner SN, Lander ES, Getz G, Chin L, Garraway LA (May 2012). "Melanoma genome sequencing reveals frequent PREX2 mutations". Nature. 485 (7399): 502–6. doi:10.1038/nature11071. PMC 3367798Freely accessible. PMID 22622578.
  32. Roach JC, Glusman G, Smit AF, et al. (April 2010). "Analysis of genetic inheritance in a family quartet by whole-genome sequencing". Science. 328 (5978): 636–9. doi:10.1126/science.1186802. PMC 3037280Freely accessible. PMID 20220176.
  33. Campbell CD, Chong JX, Malig M, et al. (November 2012). "Estimating the human mutation rate using autozygosity in a founder population". Nat. Genet. 44 (11): 1277–81. doi:10.1038/ng.2418. PMC 3483378Freely accessible. PMID 23001126.
  34. Leslie MC, Bar-Eli M (January 2005). "Regulation of gene expression in melanoma: new approaches for treatment". J. Cell. Biochem. 94 (1): 25–38. doi:10.1002/jcb.20296. PMID 15523674.
  35. Bhoumik A, Singha N, O'Connell MJ, Ronai ZA (June 2008). "Regulation of TIP60 by ATF2 modulates ATM activation". J. Biol. Chem. 283 (25): 17605–14. doi:10.1074/jbc.M802030200. PMC 2427333Freely accessible. PMID 18397884.
  36. Bhoumik A, Jones N, Ronai Z (March 2004). "Transcriptional switch by activating transcription factor 2-derived peptide sensitizes melanoma cells to apoptosis and inhibits their tumorigenicity". Proc. Natl. Acad. Sci. U.S.A. 101 (12): 4222–7. doi:10.1073/pnas.0400195101. PMC 384722Freely accessible. PMID 15010535.
  37. Vlahopoulos SA, Logotheti S, Mikas D, Giarika A, Gorgoulis V, Zoumpourlis V (April 2008). "The role of ATF-2 in oncogenesis". BioEssays. 30 (4): 314–27. doi:10.1002/bies.20734. PMID 18348191.
  38. Huang Y, Minigh J, Miles S, Niles RM (2008). "Retinoic acid decreases ATF-2 phosphorylation and sensitizes melanoma cells to taxol-mediated growth inhibition". J Mol Signal. 3: 3. doi:10.1186/1750-2187-3-3. PMC 2265711Freely accessible. PMID 18269766.
  39. 1 2 Wurm EM, Soyer HP (October 2010). "Scanning for melanoma". Australian Prescriber (33): 150–5.
  40. "Prevention: ABCD's of Melanoma". American Melanoma Foundation.
  41. Friedman R, Rigel D, Kopf A (1985). "Early detection of malignant melanoma: the role of physician examination and self-examination of the skin". CA Cancer J Clin. 35 (3): 130–51. doi:10.3322/canjclin.35.3.130. PMID 3921200.
  42. 1 2 Mascaro JM, Mascaro JM (November 1998). "The dermatologist's position concerning nevi: a vision ranging from "the ugly duckling" to "little red riding hood"". Arch Dermatol. 134 (11): 1484–5. doi:10.1001/archderm.134.11.1484. PMID 9828892.
  43. 1 2 "Introduction to Dermoscopy". DermNet New Zealand.
  44. James, William D.; Berger, Timothy G.; et al. (2006). Andrews' Diseases of the Skin: clinical Dermatology. Saunders Elsevier. pp. 694–9. ISBN 0-7216-2921-0.
  45. Rapini, Ronald P.; Bolognia, Jean L.; Jorizzo, Joseph L. (2007). Dermatology: 2-Volume Set. St. Louis: Mosby. ISBN 1-4160-2999-0.
  46. "Malignant Melanoma: staging". Collaborative Hypertext of Radiology. Medical College of Wisconsin. 1 September 2006. Archived from the original on 2010-07-18.
  47. 1 2 Balch C, Buzaid A, Soong S, Atkins M, Cascinelli N, Coit D, Fleming I, Gershenwald J, Houghton A, Kirkwood J, McMasters K, Mihm M, Morton D, Reintgen D, Ross M, Sober A, Thompson J, Thompson J (2001). "Final version of the American Joint Committee on Cancer staging system for cutaneous melanoma". J Clin Oncol. 19 (16): 3635–48. PMID 11504745.
  48. Autier P (2005). "Cutaneous malignant melanoma: facts about sunbeds and sunscreen". Expert Rev Anticancer Ther. 5 (5): 821–33. doi:10.1586/14737140.5.5.821. PMID 16221052.
  49. Clough-Gorr KM, Titus-Ernstoff L, Perry AE, Spencer SK, Ernstoff MS (September 2008). "Exposure to sunlamps, tanning beds, and melanoma risk". Cancer Causes Control. 19 (7): 659–69. doi:10.1007/s10552-008-9129-6. PMID 18273687.
  50. Kanavy HE, Gerstenblith MR (December 2011). "Ultraviolet radiation and melanoma". Semin Cutan Med Surg. 30 (4): 222–8. doi:10.1016/j.sder.2011.08.003. PMID 22123420.
  51. Can Melanoma Be Prevented? Archived June 27, 2006, at the Wayback Machine.
  52. Burnett M.E.; Wang S.Q. (April 2011). "Current sunscreen controversies: a critical review". Photodermatology, Photoimmunology & Photomedicine. 27 (2): 58–67. doi:10.1111/j.1600-0781.2011.00557.x. PMID 21392107.
  53. "The Sentinel Node Biopsy Procedure in Melanoma does not offer a survival advantage". Malignant Melanoma. 2008-01-08. Retrieved 2012-08-13.
  54. Clark GS, Pappas-Politis EC, Cherpelis BS, et al. (July 2008). "Surgical management of melanoma in situ on chronically sun-damaged skin". Cancer Control. 15 (3): 216–24. PMID 18596673.
  55. Balch C, Urist M, Karakousis C, Smith T, Temple W, Drzewiecki K, Jewell W, Bartolucci A, Mihm M, Barnhill R (1993). "Efficacy of 2-cm surgical margins for intermediate-thickness melanomas (1 to 4 mm). Results of a multi-institutional randomized surgical trial". Ann Surg. 218 (3): 262–7; discussion 267–9. doi:10.1097/00000658-199309000-00005. PMC 1242959Freely accessible. PMID 8373269.
  56. 1 2 Mohs, Frederic Edward; Mikhail, George R. (January 1991). Mohs micrographic surgery. W.B. Saunders. pp. 13–14. ISBN 978-0-7216-3415-9.
  57. 1 2 Bene NI, Healy C, Coldiron BM (May 2008). "Mohs micrographic surgery is accurate 95.1% of the time for melanoma in situ: a prospective study of 167 cases". Dermatol Surg. 34 (5): 660–4. doi:10.1111/j.1524-4725.2007.34124.x. PMID 18261099. Cure rate as high as 98% for small melanoma in situ, and as high as 95% noted for lentigo maligna variant of melanona in situ has been reported with Mohs surgery.
  58. "The Screening and Surveillance of Ultrasound in Melanoma trial (SUNMEL)". Archived from the original on 2009-01-06.
  59. Crowson, AN; Haskell, H (Oct 2013). "The role of sentinel lymph-node biopsy in the management of cutaneous melanoma.". Giornale italiano di dermatologia e venereologia : organo ufficiale, Societa italiana di dermatologia e sifilografia. 148 (5): 493–9. PMID 24005142.
  60. Ross, MI; Gershenwald, JE (May–Jun 2013). "Sentinel lymph node biopsy for melanoma: a critical update for dermatologists after two decades of experience.". Clinics in dermatology. 31 (3): 298–310. doi:10.1016/j.clindermatol.2012.08.004. PMID 23608449.
  61. 1 2 3 4 American Academy of Dermatology (February 2013), "Five Things Physicians and Patients Should Question", Choosing Wisely: an initiative of the ABIM Foundation, American Academy of Dermatology, retrieved 5 December 2013, which cites
  62. Swanson N, Lee K, Gorman A, Lee H (2002). "Biopsy techniques. Diagnosis of melanoma". Intensive 2011: The Third International Conference on Resource Intensive Applications and Services. 20 (4): 677–80. doi:10.1016/S0733-8635(02)00025-6. PMID 12380054.
  63. Kirkwood J, Strawderman M, Ernstoff M, Smith T, Borden E, Blum R (1996). "Interferon alfa-2b adjuvant therapy of high-risk resected cutaneous melanoma: the Eastern Cooperative Oncology Group Trial EST 1684". J Clin Oncol. 14 (1): 7–17. PMID 8558223.
  64. English (2010). Neil H. Cox; John S.C., eds. British Association of Dermatologists' management guidelines. Chichester, West Sussex: Wiley-Blackwell. ISBN 978-1-4443-3552-1. Retrieved 19 August 2013.
  65. Wheatley K, Ives N, Eggermont A, et al. (2007). "Adjuvant therapy for melanoma: an individual patient meta-analysis of randomised trials". J Clin Oncol. 25: 8526.
  66. Kirkwood J, Ibrahim J, Sondak V, Richards J, Flaherty L, Ernstoff M, Smith T, Rao U, Steele M, Blum R (2000). "High- and low-dose interferon alfa-2b in high-risk melanoma: first analysis of intergroup trial E1690/S9111/C9190". J Clin Oncol. 18 (12): 2444–58. PMID 10856105.
  67. Kirkwood J, Ibrahim J, Sondak V, Ernstoff M, Ross M (2002). "Interferon alfa-2a for melanoma metastases". Lancet. 359 (9310): 978–9. doi:10.1016/S0140-6736(02)08001-7. PMID 11918944.
  68. Weight RM, Viator JA, Dale PS, Caldwell CW, Lisle AE (2006). "Photoacoustic detection of metastatic melanoma cells in the human circulatory system". Opt Lett. 31 (20): 2998–3000. doi:10.1364/OL.31.002998. PMID 17001379.
  69. Bajetta E, Del Vecchio M, Bernard-Marty C, Vitali M, Buzzoni R, Rixe O, Nova P, Aglione S, Taillibert S, Khayat D (2002). "Metastatic melanoma: chemotherapy". Semin Oncol. 29 (5): 427–45. doi:10.1053/sonc.2002.35238. PMID 12407508.
  70. Buzaid A (2004). "Management of metastatic cutaneous melanoma". Oncology (Williston Park). 18 (11): 1443–50; discussion 1457–9. PMID 15609471.
  71. 1 2 3 4 Maverakis E, Cornelius LA, Bowen GM, Phan T, Patel FB, Fitzmaurice S, He Y, Burrall B, Duong C, Kloxin AM, Sultani H, Wilken R, Martinez SR, Patel F (2015). "Metastatic melanoma - a review of current and future treatment options". Acta Derm Venereol. 95 (5): 516–524. doi:10.2340/00015555-2035. PMID 25520039.
  72. Danson S, Lorigan P (2005). "Improving outcomes in advanced malignant melanoma: update on systemic therapy". Drugs. 65 (6): 733–43. doi:10.2165/00003495-200565060-00002. PMID 15819587.
  73. Bhatia S, Tykodi SS, Thompson JA (2009). "Treatment of Metastatic Melanoma: An Overview". Oncology. 23 (6): 488–96. PMC 2737459Freely accessible. PMID 19544689.
  74. Rosenberg, SA; Restifo, NP (3 April 2015). "Adoptive cell transfer as personalized immunotherapy for human cancer.". Science. 348 (6230): 62–8. doi:10.1126/science.aaa4967. PMID 25838374.
  75. Med Sci Monit. 2014 Jun 10;20:953-9. doi: 10.12659/MSM.890496. Clinical application of adoptive T cell therapy in solid tumors. Zang YW, Gu XD, Xiang JB, Chen ZY
  76. Van Lint, S; Wilgenhof, S; Heirman, C; Corthals, J; Breckpot, K; Bonehill, A; Neyns, B; Thielemans, K (September 2014). "Optimized dendritic cell-based immunotherapy for melanoma: the TriMix-formula.". Cancer immunology, immunotherapy : CII. 63 (9): 959–67. doi:10.1007/s00262-014-1558-3. PMID 24878889.
  77. Johnson TM, Headington JT, Baker SR, Lowe L (November 1997). "Usefulness of the staged excision for lentigo maligna and lentigo maligna melanoma: the "square" procedure". J. Am. Acad. Dermatol. 37 (5 Pt 1): 758–64. doi:10.1016/S0190-9622(97)70114-2. PMID 9366823.
  78. Hill, R; Healy, B; Holloway, L; Kuncic, Z; Thwaites, D; Baldock, C (21 March 2014). "Advances in kilovoltage x-ray beam dosimetry.". Physics in medicine and biology. 59 (6): R183–231. doi:10.1088/0031-9155/59/6/r183. PMID 24584183.
  79. Bastiaannet E, Beukema J, Hoekstra H (2005). "Radiation therapy following lymph node dissection in melanoma patients: treatment, outcome and complications". Cancer Treat Rev. 31 (1): 18–26. doi:10.1016/j.ctrv.2004.09.005. PMID 15707701.
  80. Boyer (1999). Primary Care Oncology. Ford.
  81. Homsi J, Kashani-Sabet M, Messina J, Daud A (2005). "Cutaneous melanoma: prognostic factors" (PDF). Cancer Control. 12 (4): 223–9. PMID 16258493.
  82. Bae, JM; Choi, YY; Kim, DS; Lee, JH; Jang, HS; Lee, JH; Kim, H; Oh, BH; Roh, MR; Nam, KA; Chung, KY (January 2015). "Metastatic melanomas of unknown primary show better prognosis than those of known primary: a systematic review and meta-analysis of observational studies.". Journal of the American Academy of Dermatology. 72 (1): 59–70. doi:10.1016/j.jaad.2014.09.029. PMID 25440435.
  83. "CANCERMondial (GLOBOCAN)". GLOBOCAN. 2010. Retrieved 12 August 2010.
  84. Berwick M, Wiggins C (2006). "The current epidemiology of cutaneous malignant melanoma". Front Biosci. 11: 1244–54. doi:10.2741/1877. PMID 16368510.
  85. "Cancer in Australia: an overview 2012". AIHW.
  86. 1 2 "Vital Signs: Melanoma Incidence and Mortality Trends and Projections — United States, 1982–2030". Morbidity and Mortality Weekly Report. June 2, 2015.
  87. Urteaga O, Pack G (1966). "On the antiquity of melanoma". Cancer. 19 (5): 607–10. doi:10.1002/1097-0142(196605)19:5<607::AID-CNCR2820190502>3.0.CO;2-8. PMID 5326247.
  88. Bodenham D (1968). "A study of 650 observed malignant melanomas in the South-West region". Annals of the Royal College of Surgeons of England. 43 (4): 218–39. PMC 2312310Freely accessible. PMID 5698493.
  89. Laennec RTH (1806). "Sur les melanoses". Bulletin de la Faculte de Medecine de Paris. 1: 24–26.
  90. Norris, W. (1820). "A case of fungoid disease". Edinb. Med. Surg. J. 16: 562–5.
  91. Norris W. Eight cases of Melanosis with pathological and therapeutical remarks on that disease. London: Longman; 1857.
  92. Cooper, Samuel (1840). First lines of theory and practice of surgery. London: Longman, Orme, Brown, Green and Longman.
  93. μέλας, Henry George Liddell, Robert Scott, A Greek-English Lexicon, on Perseus
  94. "Drugs in Clinical Development for Melanoma". Pharmaceutical Medicine. 26 (3): 171–183. 23 December 2012. doi:10.1007/BF03262391.
  95. Bastonini E; et al. (Sep 2014). "Chromatin barcodes as biomarkers for melanoma". Pigment Cell Melanoma Res. 27 (5): 788–800. doi:10.1111/pcmr.12258.
  96. Lian, Christine Guo; Xu, Yufei; Ceol, Craig; Wu, Feizhen; Larson, Allison; Dresser, Karen; Xu, Wenqi; Tan, Li; Hu, Yeguang. "Loss of 5-Hydroxymethylcytosine Is an Epigenetic Hallmark of Melanoma". Cell. 150 (6): 1135–1146. doi:10.1016/j.cell.2012.07.033. ISSN 0092-8674. PMC 3770275Freely accessible. PMID 22980977.
  97. Sotomayor M, Yu H, Antonia S, Sotomayor E, Pardoll D (2002). "Advances in gene therapy for malignant melanoma". Cancer Control (PDF). 9 (1): 39–48. PMID 11907465.
  98. Dudley ME, Yang JC, Sherry R, et al. (November 2008). "Adoptive cell therapy for patients with metastatic melanoma: evaluation of intensive myeloablative chemoradiation preparative regimens". J. Clin. Oncol. 26 (32): 5233–9. doi:10.1200/JCO.2008.16.5449. PMC 2652090Freely accessible. PMID 18809613.
  99. Besser MJ, Shapira-Frommer R, Treves AJ, et al. (May 2010). "Clinical responses in a phase II study using adoptive transfer of short-term cultured tumor infiltration lymphocytes in metastatic melanoma patients". Clin. Cancer Res. 16 (9): 2646–55. doi:10.1158/1078-0432.CCR-10-0041. PMID 20406835.
  100. "New Method of Gene Therapy Alters Immune Cells for Treatment of Advanced Melanoma; Technique May Also Apply to Other Common Cancers". 30 December 2015.
  101. "Immune System Taught To Fight Melanoma". CBSNews. 30 May 2009.
  102. Schwartzentruber, D. J.; Lawson, D. H.; Richards, J. M.; Conry, R. M.; Miller, D. M.; Treisman, J.; Gailani, F.; Riley, L.; Conlon, K.; Pockaj, B.; Kendra, K. L.; White, R. L.; Gonzalez, R.; Kuzel, T. M.; Curti, B.; Leming, P. D.; Whitman, E. D.; Balkissoon, J.; Reintgen, D. S.; Kaufman, H.; Marincola, F. M.; Merino, M. J.; Rosenberg, S. A.; Choyke, P.; Vena, D.; Hwu, P. (2011). "Gp100 Peptide Vaccine and Interleukin-2 in Patients with Advanced Melanoma". New England Journal of Medicine. 364 (22): 2119–2127. doi:10.1056/NEJMoa1012863.
  103. Harmon, Amy (February 21, 2010). "A Roller Coaster Chase for a Cure". The New York Times.
  104. 1 2 Andrew Pollack (June 5, 2011). "Drugs Show Promise Slowing Advanced Melanoma". New York Times.
  105. Chapman, Paul B.; Hauschild, Axel; Robert, Caroline; Haanen, John B.; Ascierto, Paolo; Larkin, James; Dummer, Reinhard; Garbe, Claus; Testori, Alessandro; Maio, Michele; Hogg, David; Lorigan, Paul; Lebbe, Celeste; Jouary, Thomas; Schadendorf, Dirk; Ribas, Antoni; O'Day, Steven J.; Sosman, Jeffrey A.; Kirkwood, John M.; Eggermont, Alexander M.M.; Dreno, Brigitte; Nolop, Keith; Li, Jiang; Nelson, Betty; Hou, Jeannie; Lee, Richard J.; Flaherty, Keith T.; McArthur, Grant A. (30 June 2011). "Improved Survival with Vemurafenib in Melanoma with BRAF V600E Mutation". New England Journal of Medicine. 364 (26): 2507–2516. doi:10.1056/NEJMoa1103782. PMC 3549296Freely accessible. PMID 21639808. Cite uses deprecated parameter |coauthors= (help)
  106. "GSK melanoma drugs add to tally of U.S. drug approvals". Reuters. May 30, 2013.
  107. "Combination of dabrafenib and trametinib delays development of treatment resistance in MM patients". News Medical. October 1, 2012.
  108. Flaherty, Keith T.; Infante, Jeffery R.; Daud, Adil; Gonzalez, Rene; Kefford, Richard F.; Sosman, Jeffrey; Hamid, Omid; Schuchter, Lynn; Cebon, Jonathan; Ibrahim, Nageatte; Kudchadkar, Ragini; Burris, Howard A.; Falchook, Gerald; Algazi, Alain; Lewis, Karl; Long, Georgina V.; Puzanov, Igor; Lebowitz, Peter; Singh, Ajay; Little, Shonda; Sun, Peng; Allred, Alicia; Ouellet, Daniele; Kim, Kevin B.; Patel, Kiran; Weber, Jeffrey (1 November 2012). "Combined BRAF and MEK Inhibition in Melanoma with BRAF V600 Mutations". New England Journal of Medicine. 367 (18): 1694–1703. doi:10.1056/NEJMoa1210093. PMC 3549295Freely accessible. PMID 23020132. Cite uses deprecated parameter |coauthors= (help)
  109. "Dabrafenib/Trametinib Combination Approved for Advanced Melanoma". OncLive. January 9, 2014.
  110. "Counteracting Drug Resistance in Melanoma". 2015.
  111. "Bristol drug cuts death risk in advanced melanoma". Reuters. June 5, 2010.
  112. "The Risk For Bristol". Forbes. Archived from the original on 2011-03-15.
  113. "Phase 3 clinical study: Ipilimumab boosts, sustains immune system responses against melanoma tumors". News-medical.net. 2010-06-09. Retrieved 2012-08-13.
  114. Jefferson E (2011-03-25). "FDA approves new treatment for a type of late-stage skin cancer" (Press release). U.S. Food and Drug Administration (FDA). Retrieved 2011-03-25.
  115. Pollack, Andrew (2011-03-25). "Approval for Drug That Treats Melanoma". The New York Times. Retrieved 2011-03-27.
  116. Drugs.com: Yervoy
  117. Robert C, Thomas L, Bondarenko I, et al. (June 2011). "Ipilimumab plus dacarbazine for previously untreated metastatic melanoma". N. Engl. J. Med. 364 (26): 2517–26. doi:10.1056/NEJMoa1104621. PMID 21639810.
  118. Voit C, Van Akkooi AC, Schäfer-Hesterberg G, et al. (February 2010). "Ultrasound morphology criteria predict metastatic disease of the sentinel nodes in patients with melanoma". J. Clin. Oncol. 28 (5): 847–52. doi:10.1200/JCO.2009.25.7428. PMID 20065175.
  119. "malignant-melanoma.org". Archived from the original on 2011-10-14.
  120. Forbes, NE; Abdelbary, H; Lupien, M; Bell, JC; Diallo, JS (Sep 20, 2013). "Exploiting tumor epigenetics to improve oncolytic virotherapy.". Frontiers in Genetics. 4: 184. doi:10.3389/fgene.2013.00184. PMID 24062768.
  121. "Talimogene Laherparepvec Improves Durable Response Rate in Patients With Advanced Melanoma". Journal of Clinical Oncology. 33: 2780–2788. 2015. doi:10.1200/JCO.2014.58.3377.
Look up melanoma in Wiktionary, the free dictionary.
Wikimedia Commons has media related to Melanoma.
This article is issued from Wikipedia - version of the 11/19/2016. The text is available under the Creative Commons Attribution/Share Alike but additional terms may apply for the media files.