Dislocation of hip
| Dislocation of hip | |
|---|---|
|
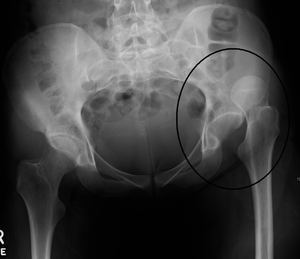
X-ray showing a joint dislocation of the left hip. | |
| Classification and external resources | |
| Specialty | rheumatology |
| ICD-10 | S73.0, Q65.0-Q65.2 |
| ICD-9-CM | 835 |
| OMIM | 142700 |
| DiseasesDB | 3056 |
| eMedicine | emerg/144 |
| MeSH | D006618 |
Dislocation of the hip is a common injury to the hip joint. Dislocation occurs when the ball–shaped head of the femur comes out of the cup–shaped acetabulum set in the pelvis. This may happen to a varying degree. A dislocated hip, much more common in females than in males, is a condition that can either be congenital or acquired.[1] Understanding the epidemiology, anatomy, difference between congenital and acquired, screening, treatments, and rehabilitation are all relevant to the topic.
Epidemiology
Acquired hip dislocation has the highest incidence rate immediately after hip replacement surgery and continues to have a high level for possibility of incidence throughout the first three months following the surgery. Following a primary total hip replacement surgery, 3.9% of patients experience hip dislocation during the twenty-six postoperative weeks. Following a revision total hip replacement surgery, approximately 14.4% of patients experience hip dislocation during the twenty-six postoperative weeks. The incidence of hip dislocation following hip replacement surgery greatly depends on patient, surgical and hip implant factors. Preoperative hip range is the most likely the most influential contribution as to whether a hip is able to remain stable or not. Because hip stability greatly depends on hip range of motion it is crucial for a hip’s postoperative range of motion to fall within a certain range in order to ensure maximum stability.
Following partial or total hip replacement surgery, patients with 115 degrees or greater of combined preoperative adduction, internal rotation, and adduction as well as a posterior approach experienced hip dislocation at a considerably higher frequency than patients who had less than 115 degrees of combined hip range of motion. In addition to the degrees of range of motion a patient possesses post surgery; size of the femoral head is another large contributing factor to the stability of the hip. High preoperative motion in combination with a posterior approach and femoral head size that is less than 32 mm had the highest hip dislocation rate. In general, the larger the head of the femur post surgery, the less likely a patient is to experience dislocation. This is because during the replacement surgery, a patient’s “ball and socket” of the femur head and hip socket are changed and no longer fit together in the perfect way they did prior to surgery. When a femur head is smaller than 32 mm post surgery, the looser the “ball” femur head fits inside the hip “socket”, therefore increasing the likelihood for the femur to slip and slide out of the socket, causing hip dislocation.
Congenital
Epidemiology is divided into five age groups which are newborns less than one year old, the next age group is people from the ages of 1-17, the third age group is 18–44 years old, the fourth age group is 45-64, and the final age group is 65–88 years old. The age group of <1 has 2,233 cases which accounts for 60.07% of all known cases. The age group of 1-17 has 686 cases which accounts for 18.44% of all cases of congenital hip dislocation. The next age group which is 18-44 has 249 cases which accounts for 6.70% of all cases and the age group of 45-64 has 332 cases which is about 8.93% of all cases. Finally, the age group of 65-84 has 158 cases which accounts for 4.25% of all cases of congenital hip dislocation. The epidemiology also shows that females are more prevalent to get congenital hip dislocation compared to their male counterparts. Females had 2,571 cases which is 69.15% of all cases while for men there are 1,136 cases which makes up 30.56% of all cases of congenital hip dislocation. The costs vary from age groups. The mean costs for the age group <1 is $7,803 while the median cost is $7,045. The costs for the age group of 1-17 are $13,573 for a mean and the median cost is $12,513. The mean cost for the age group of 18-44 is $16,656 and the median cost is $14,082. Finally, the age group of 45-64 has a mean cost of $14,388 and a median cost of $12,321. The amount of days of the hospital stay varies as well. In the age group 1-17 the length of stay is about 2.7 days, for the people ages 18–44 the average stay is 4.4 days, and the people ages 45–64 stay for about 3.4 days in the hospital setting.[2]
Acquired
Hip dislocation cases in people in the age group from 1 through 17 years old is 434 which is 16.20%, the age group of 18-44 has 1,026 cases which accounts for 38.30% of hip dislocations, the age group of 45-64 has 563 cases which account for 21.00% of cases, and people from the ages of 65 through 84 years old have 210 cases which makes up 7.82% of cases of hip dislocation. Hip dislocation is more prevalent in males by 2% compared to females. Hip dislocation cases in males are 1,348 which accounts for 50.31% of cases and the number of hip dislocations in females are 1,312 which makes up of 48.96% of hip dislocations. Hip dislocation most likely occurs at the age group of people ages to 18-44.[2]
It can also happen with individuals with connective tissue conditions (i.e. Ehlers Danlos Syndrome).
Human anatomy
The hip is considered one of the more complex regions of our body due to its multiaxial arrangement. There are many movements (hip flexion, hip extension, hip abduction, hip adduction, hip external rotation, hip internal rotation, hip diagonal abduction, hip diagonal adduction, and anterior, posterior, lateral, and transverse pelvic rotation) that are associated with the hip.[3]
Bones and joints
The pelvis and femur are the two main bones that form the hip joint. There is an articulation of the head of the femur and the acetabulum of the pelvis. Together, they make the hip joint an enarthrodial joint. There are two pelvic bones (right and left), each consisting of the Ilium, ischium, and the pubis. They connect to form the symphysis pubis on the anterior side, while the posterior side connects with the sacrum and coccyx to form sacroiliac joints. These bones are joined with help of strong ligaments, making them slightly movable joints. There are five strong and dense ligaments that help to reinforce the hip joint. They include the iliofemoral ligament, the teres ligament, the pubofemoral ligament, the ischiofemoral ligament, and the zona orbicularis ligament.[4]
Muscles and movements
The location of many of the muscles associated with the hip joint and pelvic girdle depend on the action. The anterior side of the hip exhibits primarily hip flexion with help from the rectus femoris, iliopsoas, pectineus, and sartorius. The lateral side performs primarily hip abduction with help from the gluteus medius, gluteus minimus, external rotators, and the tensor fasciae latae. The posterior side exhibits primarily hip extension with help from the gluteus maximus, hamstring muscles (biceps femoris, semitendinosus, semimembranosus), and the six deep external rotators (piriformis, obturator externus, obturator internus, gemellus superior, gemellus inferior, and quadrates femoris). The medial side performs primarily hip adduction with help from the adductor brevis, adductor longus, adductor magnus, and the gracilis.[4]
Hip flexion and hip extension take place in the sagittal plane while hip abduction and adduction move the femur in the frontal plane. Hip external and internal rotation laterally and medially moves the femur in the transverse plane, respectively. Anterior and posterior pelvic rotation involves anterior and posterior movement of the upper pelvis in the sagittal plane, respectively. Lateral pelvic rotation (left and right) occurs in the frontal plane, whereas transverse pelvic rotation (left and right) occurs in the horizontal plane.[4]
Anatomy relation to hip dislocation
The hip joint includes the articulation of the femoral head (of femur) and the acetabulum of the pelvis. In hip dislocation, the femoral head is dislodged from this socket. Posterior dislocation is the most prevalent, in which the femoral head lies posterior and superior to the acetabulum. This is most common when the femur is adducted and internally rotated. The opposite is true for the shoulder, where the most common dislocation occurs in the anterior and inferior directions.[1] The posterior side of the hip exhibits primarily hip extension, dealing with the muscles: gluteus maximus, hamstring muscles (biceps femoris, semitendinosus, semimembranosus), and the six deep external rotators (piriformis, obturator externus, obturator internus, gemellus superior, gemellus inferior, and quadrates femoris).[4]
Posterior vs. anterior
Nine out of ten hip dislocations are posterior. The affected limb will be shortened and internally rotated in this case. Posterior dislocations with an associated fracture are categorised by the Thompson and Epstein classification system.
In an anterior dislocation the limb will not be shortened as noticeably and will be externally rotated.
In both cases, the affected leg is virtually immovable by the patient, and is usually extremely painful.
Congenital vs. acquired
Congenital hip dislocation must be detected early when it can be easily treated by a few weeks of traction. If it is not detected, the child's hip may develop incorrectly, seen when the child begins to walk. If one hip is affected the child will have a limp and lurch and with bilateral dislocation there will be a waddling gait. On physical exam, with the baby in the supine position, the examiner flexes both the hips and knees to 90 degrees, and, holding the knees, pushes gently downward, which may induce a posterior dislocation or subluxation. Keeping the baby in this 90 degree flexed position, the examiner then externally rotates the thighs. A normal infant will demonstrate no evidence of dislocation. It can also be detected with the Galeazzi test. Congenital hip dislocation is much more common in girls than boys.
Acquired hip dislocations are extremely painful and commonly occur during car accidents. They may be treated by surgical realignment and traction.
Acquired hip injuries
Usually hip dislocation occurs when the head of the femur dislodges from its socket form the pelvis. In most patients, the femur shifts out of its socket in a posterior dislocation direction. The hip is now in a position where it is twisted in toward the middle of the body. The femur could also shift in an anterior direction which the hip will twist outward and away from the middle of the body. This dislocation is very painful and patients are unable to move when it occurs. Due to the dislocation, there could be some nerve damage resulting in loss of feeling in the foot or ankle.[5]
To actually dislocate a healthy hip, a great amount of force needs to be applied. Motor vehicle accidents are the most common ways that hip dislocations occur. Falls from a height, such as a ladder, can also generate enough force to dislocate a hip. In older individuals, even a slight fall could cause this type of injury. Wear and tear that the body undergoes throughout the years leads to increased incidents of hip dislocation in the older population.[6]
Hip injuries in sports are also quite common. In contact sports such as rugby and American football hip dislocation is a result of great amounts of force applied to the body during contact and collision. In other sports such as water skiing, skiing/snowboarding, gymnastics, and basketball these injuries are less common because there are fewer collisions and less contact. However, when the amount of force to the hip joint is greater than the muscles of the hip can compensate for, hip injuries can still occur.[5]
Several other injuries are also associated with hip dislocation. Fractures in the pelvis and legs, and minor back or head injuries can also occur, along with a hip dislocation, that is caused by a fall or athletic of injury.
Congenital hip dislocation
Congenital hip dislocation also known as dysplasia of the hip is a condition in which a child is born with a hip problem. Congenital hip dislocation is when the formation of the hip joint is abnormal. The ball at the top of the thighbone which is known as the femoral head is not stable within the socket (which is also known as the acetabulum). This abnormality may cause the ligaments of the hip to be loose or stretched. This condition is usually diagnosed once the baby is born; it mostly affects the left side of the hip in first-born children, girls, and babies born in a breech position. Girls are four times as likely to have hip dysplasia compared to boys. The cause of this condition is still unknown; however, some factors of congenital hip dislocation are through heredity and racial background. It is also thought that the higher incidence in some ethnic groups ( such as some Native American groups) is due to the practice swaddling of infants, which is known to be a potential risk factor for developing dysplasia. It also has a low prevalence risk in African Americans and southern Chinese. Native Americans are more likely to have congenital hip dislocation than any of the other races. The risk for Native Americans is about 25-50 in 1000. The overall frequency of developmental dysplasia of the hip is approximately 1 case per 1000 individuals; however, Barlow believed that the incidence of hip instability in newborns can be as high as 1 case for every 60 newborns.[7]

The early sign of congenital hip dislocation is when a person is able to hear "clicking" sounds when the legs are moved apart from one another. This condition can be treated if detected early. If this condition goes undetected it can cause one leg to look shorter than its counterpart and the buttock folds are also not symmetrical which causes more creases to be present on the affected side, and skin folds at the thigh are uneven. Another sign is that when a child begins to walk he or she may have a limp and favor the affected side when walking. When a child is walking it may be also walking on its toes or "waddle" like a duck. If the condition goes undetected it may cause negative long-term effects such as osteoarthritis as well affect the gait of the child when it first learns to walk. The baby may also learn how to walk much later than expected.[8]
Screening
Screening for congenital hip dislocation is done once the baby is born. The hospital staff does a number of reflex exercises to check that all of the baby’s reactions are normal. There are two ways that congenital hip dislocation can be detected: through the Ortolani maneuver and the Barlow maneuver.[9] In order to do the Ortolani maneuver it is recommended that the examiner put the newborn baby in a position in which the contralateral hip is held still while the thigh of the hip being tested is abducted and gently pulled anteriorly. If a "clunk" is heard (the sound of the femoral head moving over the acetabulum), the joint is normal, but absence of the "clunk" sound indicates that the acetabulum is not fully developed. The next method that can be used is called the Barlow maneuver. It is done by adducting the hip while pushing the thigh posteriorly. If the hip goes out of the socket it means it is dislocated, and the newborn has a congenital hip dislocation. The baby is laid on its back for examination by separation of its legs. If a clicking sound can be heard, it indicates that the baby may have a dislocated hip. It is highly recommended that these maneuvers be done when the baby is not fussing, because the baby may inhibit hip movement. There is yet another way to detect congenital hip dislocation, and it is called the tonic labyrinthine reflex (TLR). It is a reflex present in newborn babies. It is suggested that in order to perform this reflex exercise, the baby's head should be tilted back, causing the back to stiffen. The legs are straightened and pushed together with the toes pointed, and the arms are bent at the elbows and wrists. The hands are put into a fist, or the fingers curled. If this reflex is present past the newborn stage the person may have an abnormal extension pattern.
Treatment
There are numerous ways in order to address this condition. One treatment that can be used on newborns or infants is called a Pavlik harness. The Pavlik harness is a soft harness-like device that has straps that hold the legs apart and bent at the knee, in an attempt to keep the femur (ball) in the acetabulum (socket) in the correct position. Another treatment method that can be used to fix the condition is closed reduction in which the hip is positioned under anesthesia. This particular procedure can be done on children from the ages of six months to two years old. If the closed reduction treatment does not work, then open reduction (surgery) is another option to use. After the closed or open surgery is performed, the child may use a cast or brace in order to keep the hip bone in the socket while it is healing. By using one of these treatment methods the child can have normal hip joint function.[10]
Rehabilitation
Hip dislocation rehabilitation can take anywhere from two to three months, depending on the patient. Complications to nearby nerves and blood vessels can sometimes cause loss of blood supply to the bone, also known as osteonecrosis. The protective cartilage on the bone can also be disturbed from this type of injury. For this reason, it is important for patients to contact a physician and get treatment immediately following injury.[6]
- The first step to recovering from a hip dislocation is reduction. This refers to putting the bones back into their intended positions. Normally, this is done by a physician while the patient is under a sedative. Other times, a surgical procedure is required to reduce the hip bones back into their natural state.[11]
- Next, rest, ice, and take anti-inflammatory medication to reduce swelling at the hip.[11]
- Weight bearing is allowed for the type one posterior dislocation, but should only be done as pain allows and patient is comfortable.[11]
- Within 5–7 days of the injury occurrence, patients may perform passive range of motion exercises to increase flexibility.[11]
- A walking aid should be used until the patient is comfortable with both weight bearing and range of motion.[11]
Exercises used for rehabilitation


Individuals suffering from hip dislocation should participate in physical therapy and receive professional prescriptive exercises based on their individual abilities, progress, and overall range of motion. The following are some typical recommended exercises used as rehabilitation for hip dislocation. It is important to understand that each individual has different capabilities that can best be assessed by a physical therapist or medical professional, and that these are simply recommendations.[11]
- Bridge- Lie flat on back. Place arms with palms down beside body. Keep feet hip distance apart and bend knees. Slowly lift hips upward. Hold position for three to five seconds. This helps strengthen the glutes and increase stability of the hip joint.[11]
- Supine leg abduction- Lie flat on back. Slowly slide leg away from body and then back in, keeping the knees straight. This exercises the gluteus medius and helps to maintain stability in the hip while walking.[11]
- Side Lying Leg abduction- Lie on one side with one leg on top of the other. Slowly lift the top leg towards the ceiling and then lower it back down slowly.[11]
- Standing Hip abduction- Standing up and holding on to a nearby surface, slowly lift one leg away from the midline of the body and then lower it back to starting position. This is simply a more advanced way to do any of the lying hip abduction exercises, and should be done as the patient progresses in rehab.[11]
- Knee raises- While standing and holding onto a chair, slowly lift one leg off the ground and bring it closer to the body while bending the knee. Then lower the leg back down slowly. This helps to strengthen the hip flexor muscles and retain stability in the hip.[11]
- Hip flexion and extensions- Standing, hold on to a nearby chair or surface. Swing one leg forwards away from you, and hold the position for three to five seconds. Then swing the leg slowly backwards and behind your body. Hold for three to five seconds. This exercise helps to increase range of motion, as well as strengthening the hip flexor and hip extensor muscles that control much of the hip joint.[11]
- Adding ankle weights to any exercises can be done as progress is made in rehabilitation.[11]
See also
References
- 1 2 Hip Dislocation in Emergency Medicine at eMedicine
- 1 2 "HCUPnet: A tool for identifying, tracking, and analyzing national hospital statistics". Hcupnet.ahrq.gov. Retrieved 2015-03-01.
- ↑ "Hip Anatomy, Pictures, Function, Problems & Treatment". Healthpages.org. 2014-12-09. Retrieved 2015-03-01.
- 1 2 3 4 Floyd, R.T. (2009). Manual of structural kinesiology. New York, NY: McGraw-Hill
- 1 2 http://www.hipandpelvis.com/for-patients/patient-education/patient-education-pao/[]
- 1 2 "Hip Dislocation-OrthoInfo - AAOS". Orthoinfo.aaos.org. 2014-06-01. Retrieved 2015-03-01.
- ↑ Developmental Dysplasia of the Hip at eMedicine
- ↑ Archived September 22, 2009, at the Wayback Machine.
- ↑ French LM, Dietz FR; Dietz (July 1999). "Screening for developmental dysplasia of the hip". American Family Physician. 60 (1): 177–84, 187–8. PMID 10414637.
- ↑ "Congenital hip dislocation definition - MedicineNet - Health and Medical Information Produced by Doctors". Medterms.com. 2012-03-19. Retrieved 2015-03-01.
- 1 2 3 4 5 6 7 8 9 10 11 12 13 Hip Dislocation Treatment & Management at eMedicine
External links
- Illustration at Medline
- Resource for parents of babies undergoing treatment in a hip spica cast for developmental dysplasia of the hip
