Rotator cuff tear

Rotator cuff tear
Muscles on the dorsum of the scapula, and the triceps brachii
Classification and external resources
Specialty Orthopedics
ICD-10 M75.1, S46.0
ICD-9-CM 726.1 727.61, 840.4
DiseasesDB 32230
MedlinePlus 007207
eMedicine radio/894 pmr/125 radio/889 sports/115

A rotator cuff tear is a tear of one or more of the tendons of the four rotator cuff muscles of the shoulder. A rotator cuff 'injury' can include any type of irritation or overuse of those muscles or tendons,[1] and is among the most common conditions affecting the shoulder.[2]

The tendons of the rotator cuff, not the muscles, are most commonly involved, and of the four, the supraspinatus is most frequently affected, as it passes below the acromion. The role of the supraspinatus is to resist downward motion. The supraspinatus resists downward motion while the shoulder is relaxed as well as when carrying weight. [3] Such a tear usually occurs at its point of insertion onto the humeral head at the greater tubercle.[4] Even though the supraspinatus is the most commonly injured muscle of the four muscles in the rotator cuff, the other three muscles that comprise the rotator cuff are the infraspinatus teres minor, and subscapularis.[5]

The cuff is responsible for stabilizing the glenohumeral joint, abducting, externally rotating, and internally rotating the humerus. When shoulder trauma occurs, these functions can be compromised. Because individuals are highly dependent on the shoulder for many activities, overuse of the muscles can lead to tears, the vast majority again occurring in the supraspinatus tendon.

Signs and symptoms

Many rotator cuff tears are asymptomatic. They are known to increase in frequency with age[2] and the most common cause is age-related degeneration and, less frequently, sports injuries or trauma.[4] Both partial and full thickness tears have been found on post mortem and MRI studies in those without any history of shoulder pain or symptoms. However, the most common presentation is shoulder pain or discomfort. This may occur with activity, particularly shoulder activity above the horizontal position, but may also be present at rest in bed. Pain-restricted movement above the horizontal position may be present, as well as weakness with shoulder flexion and abduction.[6][7]

Risk factors

Risk factors of rotator cuff tears

Some risk factors of experiencing a rotator cuff tear cannot be changed: age, body mass index, and height. Recurrent lifting and overhead motions are at risk for rotator cuff tears. People who have jobs that involve overhead work, such as carpenters, painters, custodians and servers are at risk of also experiencing a rotator cuff tear.[8] People who play sports that involve overhead motions, such as swimming, volleyball, baseball, tennis, and American football quarterbacks, are at a greater risk of experiencing a rotator cuff tear.

Mechanisms of injury

The two main causes are injury (acute) and degeneration (chronic and cumulative), and the mechanisms involved can be either extrinsic or intrinsic or, probably most commonly, a combination of both.[9]

Acute tears

The amount of stress needed to tear a rotator cuff tendon acutely will depend on the underlying condition of the tendon prior to the stress. In the case of a healthy tendon, the stress needed will be high, such as a fall on the outstretched arm. This stress may occur coincidentally with other injuries such as a dislocation of the shoulder, or separation of the acromioclavicular joint. In the case of a tendon with pre-existing degeneration, the force may be surprisingly modest, such as a sudden lift, particularly with the arm above the horizontal position.[9] This is a common occurrence with rear seated passengers in a motor vehicle collision, regardless of speed.

Chronic tears

Chronic tears are indicative of extended use in conjunction with other factors such as poor biomechanics or muscular imbalance. Ultimately, most are the result of wear that occurs slowly over time as a natural part of aging. They are more common in the dominant arm, but a tear in one shoulder signals an increased risk of a tear in the opposing shoulder. Several factors contribute to degenerative, or chronic, rotator cuff tears of which repetitive stress is the most significant. This stress consists of repeating the same shoulder motions frequently, such as overhead throwing, rowing, and weightlifting. Many jobs that require frequent shoulder movement such as lifting and overhead movements also contribute.

Another factor in older populations is impairment of blood supply. With age, circulation to the rotator cuff tendons decreases, impairing natural ability to repair, ultimately leading to, or contributing to, tears.

The final common factor is impingement syndrome, the most common nonsports-related injury and which occurs when the tendons of the rotator cuff muscles become irritated and inflamed while passing through the subacromial space beneath the acromion. This relatively small space becomes even smaller when the arm is raised in a forward or upward position. Repetitive impingement can inflame the tendons and bursa, resulting in the syndrome.[10][11]

Extrinsic factors

Well-documented anatomical factors include the morphologic characteristics of the acromion. Hooked, curved, and laterally sloping acromia are strongly associated with cuff tears and may cause tractional damage to the tendon.[12] Conversely, flat acromia may have an insignificant involvement in cuff disease and consequently may be best treated conservatively. The development of these different acromial shapes is likely both genetic and acquired. In the latter case, only age has been positively correlated with progression from flat to curved or hooked.[12] The nature of mechanical activities, such as sports involving the shoulder, along with frequency and intensity of such sports, may be responsible for the adverse development. Sports such as bowling in cricket, swimming, tennis, baseball, and kayaking, are most frequently implicated. However, a progression to a hooked acromion may simply be an adaptation to an already damaged, poorly balanced rotator cuff that is creating increasing stress on the coracoacromial arch.[12] Other anatomical factors that may have significance include os acromiale and acromial spurs. Environmental factors implicated include increasing age, shoulder overuse, smoking, and any medical condition that affects circulation or impairs the inflammatory and healing response, such as diabetes mellitus.[12]

Intrinsic factors

Intrinsic factors refer to injury mechanisms that occur within the rotator cuff itself. The principal is a degenerative-microtrauma model, which supposes that age-related tendon damage compounded by chronic microtrauma results in partial tendon tears that then develop into full rotator cuff tears.[12] As a result of repetitive microtrauma in the setting of a degenerative rotator cuff tendon, inflammatory mediators alter the local environment, and oxidative stress induces tenocyte apoptosis causing further rotator cuff tendon degeneration.[12] A neural theory also exists that suggests neural overstimulation leads to the recruitment of inflammatory cells and may also contribute to tendon degeneration.[12]

Pathophysiology

The shoulder joint is made up of three bones: the shoulder blade (scapula), the collarbone (clavicle) and the upper arm bone (humerus).
Further information: Shoulder

The shoulder is a complex mechanism involving bones, ligaments, joints, muscles, and tendons.

Classification

MRI of normal shoulder intratendinous signal
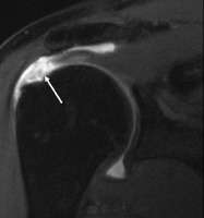
MRI of rotator cuff full-thickness tear

Tears of the rotator cuff tendon are described as partial or full thickness, and full thickness with complete detachment of the tendons from bone.

Shoulder pain is variable and may not be proportional to the size of the tear.

Surgical considerations

Neer promoted the concept of three stages of rotator cuff disease.[13] Stage I, according to Neer, occurred in those younger than 25 years and involved edema and hemorrhage of the tendon and bursa. Stage II involved tendinitis and fibrosis of the rotator cuff in 25- to 40-year-olds. Stage III involved tearing of the rotator cuff (partial or full thickness) and occurred in those older than 40 years.[14] For surgical purposes, tears are also described by location, size or area, and depth.[14] Further subclasses include the acromiohumeral distance, acromial shape, fatty infiltration or degeneration of muscles, muscle atrophy, tendon retraction, vascular proliferation, chondroid metaplasia, and calcification. Again, in surgical planning, age-related degeneration of thinning and disorientation of the collagen fibers, myxoid degeneration, and hyaline degeneration are considered.[12]

However, for simplicity, tears are sometimes classified based on the trauma that caused the injury:

Diagnosis

A complete tear of the supraspinatus resulting in a shift upwards of the head of the humerus

Diagnosis is based upon physical assessment and history, including description of previous activities and acute or chronic symptoms. A systematic, physical examination of the shoulder comprises inspection, palpation, range of motion, provocative tests to reproduce the symptoms, neurological examination, and strength testing.[15] The shoulder should also be examined for tenderness and deformity. Since pain arising from the neck is frequently 'referred' to the shoulder, the examination should include an assessment of the cervical spine looking for evidence suggestive of a pinched nerve, osteoarthritis, or rheumatoid arthritis.

Diagnostic modalities, dependent on circumstances, include X-ray, MRI, MR arthrography, double-contrast arthrography, and ultrasound. Although MR arthrography is currently considered the gold standard, ultrasound may be most cost-effective.[16] Usually, a tear will be undetected by X-ray, although bone spurs, which can impinge upon the rotator cuff tendons, may be visible.[17] Such spurs suggest chronic severe rotator cuff disease. Double-contrast arthrography involves injecting contrast dye into the shoulder joint to detect leakage out of the injured rotator cuff[18] and its value is influenced by the experience of the operator. The most common diagnostic tool is magnetic resonance imaging (MRI), which can sometimes indicate the size of the tear, as well as its location within the tendon. Furthermore, MRI enables the detection or exclusion of complete rotator cuff tears with reasonable accuracy and is also suitable to diagnose other pathologies of the shoulder joint.[19]

The logical use of diagnostic tests is an important component of effective clinical practice.[20] X-rays cannot directly reveal tears of the rotator cuff, a 'soft tissue', and consequently, normal X-rays cannot exclude a damaged cuff. However, indirect evidence of pathology may be seen in instances where one or more of the tendons have undergone degenerative calcification (calcific tendinitis). Also, large tears of the rotator cuff may allow the humeral head to migrate upwards (high-riding humeral head) which may be visible on X-ray. Prolonged contact between a high-riding humeral head and the acromion above it, may lead to X-rays findings of wear on the humeral head and acromion and secondary degenerative arthritis of the glenohumeral joint (the ball and socket joint of the shoulder), called cuff arthropathy, may follow.[21] Incidental X-ray findings of bone spurs at the adjacent acromioclavicular joint may show a bone spur growing from the outer edge of the clavicle downwards towards the rotator cuff. Spurs may also be seen on the underside of the acromion, once thought to cause direct fraying of the rotator cuff from contact friction, a concept currently regarded as controversial.

Clinical judgement, rather than over reliance on MRI or any other modality, is strongly advised in determining the cause of shoulder pain, or planning its treatment, since rotator cuff tears are also found in some without pain or symptoms. The role of X-ray, MRI, and ultrasound, is adjunctive to clinical assessment and serves to confirm a diagnosis provisionally made by a thorough history and physical examination. Over-reliance on imaging may potentially lead to overtreatment or distraction from the true underlying problem.[22]

Symptoms

Symptoms may occur immediately after trauma (acute) or develop over time (chronic).

Acute injury is less frequent than chronic disease, but may follow bouts of forcefully raising the arm against resistance, as occurs in weightlifting, for example.[23] In addition, falling forcefully on the shoulder can cause acute symptoms. These traumatic tears predominantly affect the supraspinatus tendon or the rotator interval[19] and symptoms include severe pain that radiates through the arm, and limited range of motion, specifically during abduction of the shoulder.[24] Chronic tears occur among individuals who constantly participate in overhead activities, such as pitching or swimming, but can also develop from shoulder tendinitis or rotator cuff disease. Symptoms arising from chronic tears include sporadic worsening of pain, debilitation, and atrophy of the muscles, noticeable pain during rest, crackling sensations (crepitus) when moving the shoulder, and inability to move or lift the arm sufficiently, especially during abduction and flexion motions.[23][24]

Pain in the anterolateral aspect of the shoulder is not specific to the shoulder,[25] and may arise from, and be referred from, the neck, heart or gut.

Patient history will often include pain or ache over the front and outer aspect of the shoulder, pain aggravated by leaning on the elbow and pushing upwards on the shoulder (such as leaning on the armrest of a reclining chair), intolerance of overhead activity, pain at night when lying directly on the affected shoulder, pain when reaching forward (e.g. unable to lift a gallon of milk from the refrigerator). Weakness may be reported, but is often masked by pain and is usually found only through examination. With longer-standing pain, the shoulder is favored and gradually loss of motion and weakness may develop, which, due to pain and guarding, are often unrecognized by the patient and only brought to attention during examination.

Primary shoulder problems may cause pain over the deltoid muscle intensified by abduction against resistance - the impingement sign. This signifies pain arising from the rotator cuff, but cannot distinguish between inflammation, strain, or tear. Patients may report that they are unable to reach upwards to brush their hair or to lift a food can from an overhead shelf.

Signs

It has been suggested that no single physical examination test distinguishes reliably between bursitis, partial-thickness, and full-thickness tears.[26] On the contrary, a combination of tests seems to provide the most accurate diagnosis. For impingement, these tests include the Hawkins-Kennedy impingement sign in which the examiner medially rotates the patient's flexed arm, forcing the supraspinatus tendon against the coracoacromial ligament and so producing pain if the test is positive[26] a positive painful arc sign, and weakness in external rotation with the arm at the side. For the diagnosis of full-thickness rotator cuff tear, the best combination appears to include once more the painful arc and weakness in external rotation, and in addition, the drop arm sign.[26] This test is also known as Codman's test. The arm is raised to the side to 90° by the examiner. The patient then attempts to look to lower the arm back to neutral, palm down. If the arm drops suddenly or pain is experienced, the test is considered positive.

MRI

Magnetic resonance imaging (MRI) and ultrasound[27] are comparable in efficacy and helpful in diagnosis although both have a false positive rate of 15 - 20%.[28] MRI can reliably detect most full-thickness tears although very small pinpoint tears may be missed. In such situations, an MRI combined with an injection of contrast material, an MR-arthrogram, may help to confirm the diagnosis. It should be realized that a normal MRI cannot fully rule out a small tear (a false negative) while partial-thickness tears are not as reliably detected.[29] While MRI is sensitive in identifying tendon degeneration (tendinopathy), it may not reliably distinguish between a degenerative tendon and a partially torn tendon. Again, magnetic resonance arthrography can improve the differentiation.[29] An overall sensitivity of 91% (9% false negative rate) has been reported indicating that magnetic resonance arthrography is reliable in the detection of partial-thickness rotator cuff tears.[29] However, its routine use is not advised, since it involves entering the joint with a needle with potential risk of infection. Consequently, the test is reserved for cases in which the diagnosis remains unclear.

Ultrasound

Musculoskeletal ultrasound has been advocated by experienced practitioners, avoiding the radiation of X-ray and the expense of MRI while demonstrating comparable accuracy to MRI for identifying and measuring the size of full-thickness and partial-thickness rotator cuff tears.[30] This modality can also reveal the presence of other conditions that may mimic rotator cuff tear at clinical examination, including tendinosis, calcific tendinitis, subacromial subdeltoid bursitis, greater tuberosity fracture, and adhesive capsulitis.[21] However, MRI provides more information about adjacent structures in the shoulder such as the capsule, glenoid labrum muscles and bone and these factors should be considered in each case when selecting the appropriate study.

In-office testing

As part of clinical decision-making, a simple, minimally invasive, in-office procedure may be performed, the rotator cuff impingement test. A small amount of a local anesthetic and an injectable corticosteroid are injected into the subacromial space to block pain and to provide anti-inflammatory relief. If pain disappears and shoulder function remains good, no further testing is pursued. The test helps to confirm that the pain arises from the shoulder primarily rather than referred from the neck, heart, or gut.

If pain is relieved, the test is considered positive for rotator-cuff impingement, of which tendinitis and bursitis are major causes. However, partial rotator-cuff tears may also demonstrate good pain relief, so a positive response cannot rule out a partial rotator-cuff tear. However, with demonstration of good, pain-free function, treatment will not change, so the test is useful in helping to avoid overtesting or unnecessary surgery.

Prevention

Long-term overuse/abuse of the shoulder joint is generally thought to limit range of motion and productivity due to daily wear and tear of the muscles, and many public web sites offer preventive advice. (See external links) The recommendations usually include:

Size

According to a study which measured tendon length against the size of the injured rotator cuff, researchers learned that as rotator cuff tendons decrease in length, the average rotator cuff severity is proportionally decreased, as well [31] This shows that larger individuals are more likely to suffer from a severe rotator cuff tear if they do not tighten the shoulder muscles around the joint.

Position

Another study observed 12 different positions of movements and their relative correlation with injuries occurred during those movements. The evidence shows that putting the arm in a neutral position relieves tension on all ligaments and tendons.[32]

Stretching

One article observed the influence of stretching techniques on preventative methods of shoulder injuries. Increased velocity of exercise increases injury, but beginning a fast-movement exercise with a slow stretch may cause muscle/tendon attachment to become more resistant to tearing.[33]

Muscle groups

When exercising, exercising the shoulder as a whole and not one or two muscle groups is also found to be imperative. When the shoulder muscle is exercised in all directions, such as external rotation, flexion, and extension, or vertical abduction, it is less likely to suffer from a tear of the tendon.[34]

Treatment

Weightlifting physical therapy exercise

Those suspected of having a rotator cuff tear are potentially candidates for either operative or non-operative treatment. However, any individual may move from one group to the other based on clinical response and findings on repeated examination.

No evidence of benefit is seen from early rather than delayed surgery, and many with partial tears and some with complete tears will respond to nonoperative management.[35] Consequently, many recommend initial, nonsurgical management. However, early surgical treatment may be considered in significant (>1 cm-1.5 cm) acute tears or in young patients with full-thickness tears who have a significant risk for the development of irreparable rotator cuff changes.[36]

Finally, a review of more than 150 published papers in 2010 concluded that no solid evidence indicated rotator-cuff surgery benefited patients more than nonoperative management, adding to management and treatment controversies.[37][38][39]

Non-operative treatment

Ice pack

Those with pain but reasonably maintained function are suitable for nonoperative management. This includes oral medications that provide pain relief such as anti-inflammatory agents, topical pain relievers such as cold packs, and if warranted, subacromial corticosteroid/local anesthetic injection.[40] An alternative to injection is iontophoresis, a battery-powered patch which "drives" the medication to the target tissue. A sling may be offered for short-term comfort, with the understanding that undesirable shoulder stiffness can develop with prolonged immobilization. Early physical therapy may afford pain relief with modalities (e.g. iontophoresis) and help to maintain motion. Ultrasound treatment is not efficacious. As pain decreases, strength deficiencies and biomechanical errors can be corrected.

A conservative physical therapy program begins with preliminary rest and restriction from engaging in activities which gave rise to symptoms. Normally, inflammation can usually be controlled within one to two weeks, using a nonsteroidal anti-inflammatory drug and subacromial steroid injections to decrease inflammation, to the point that pain has been significantly decreased to make stretching tolerable.[40] After this short period, rapid stiffening and an increase in pain can result if sufficient stretching has not been implemented.

A gentle, passive range-of-motion program should be started to help prevent stiffness and maintain range of motion during this resting period. Exercises, for the anterior, inferior, and posterior shoulder, should be part of this program.[40] Codman exercises (giant, pudding-stirring), to "permit the patient to abduct the arm by gravity, the supraspinatus remains relaxed, and no fulcrum is required" are widely used. The use of NSAIDs, hot and cold packs, and physical therapy modalities, such as ultrasound, phonophoresis, or iontophoresis, can be instituted during this stretching period, if effective.[40] Corticosteroid injections are recommended two to three months apart with a maximum of three injections. Multiple injections (four or more) have been shown to compromise the results of rotator cuff surgery which result in weakening of the tendon.[40] However, before any rotator cuff strengthening can be started, the shoulder must have a full range of motion.

After a full, painless range of motion is achieved, the patient may advance to a gentle strengthening program. Rockwood[41] coined the term orthotherapy to describe this program which is aimed at creating an exercise regimen that initially gently improves motion, then gradually improves strength in the shoulder girdle.[40] Each patient is given a home therapy kit, which includes elastic bands of six different colors and strengths, a pulley set, and a three-piece, one-meter-long stick.[40] The program is customized, fitting the needs of the individual and altering when necessary. Participants are asked to use their exercise program whether at home, work, or traveling.

Several instances occur in which nonoperative treatment would not be suggested:

These patients may need to be treated operatively because rotator cuff repair is necessary for restoration of the normal strength required to return to the preoperative, competitive level of function.[40] Finally, those who do not respond to, or are unsatisfied with, conservative treatment should seek a surgical opinion.

Surgery

The three general surgical approaches are arthroscopic, mini open, and open-surgical repair.[23] In the recent past, small tears were treated arthroscopically, while larger tears would usually require an open procedure. Advances in arthroscopy now allow arthroscopic repair of even the largest tears, and arthroscopic techniques are now required to mobilize many retracted tears. The results match open surgical techniques, while permitting a more thorough evaluation of the shoulder at time of surgery, increasing the diagnostic value of the procedure, as other conditions may simultaneously cause shoulder pain. Arthroscopic surgery also allows for shorter recovery time[23] although significant differences in postoperative pain or pain medication use apparently are not seen between arthroscopic- and open-surgical patients.[42]

Even for full-thickness rotator cuff tears, conservative care (i.e., nonsurgical treatment) outcomes are usually reasonably good.[43] However, many patients still suffer disability and pain despite nonsurgical therapies. For massive tears of the rotator cuff, surgery has shown durable outcomes on 10-year follow-up.[44] However, the same study demonstrated ongoing and progressive fatty atrophy and repeat tears of the rotator cuff. MRI evidence of fatty atrophy in the rotator cuff prior to surgery is predicative of a poor surgical outcome.[45] If the rotator cuff is completely torn, surgery is usually required to reattach the tendon to the bone.[46]

If a significant bone spur is present, any of the approaches may include an acromioplasty, a subacromial decompression, as part of the procedure.[47] Subacromial decompression, removal of a small portion of the acromion that overlies the rotator cuff, aims to relieve pressure on the rotator cuff in certain conditions and promote healing and recovery.[18] Although subacromial decompression may be beneficial in the management of partial and full-thickness tear repair, it does not repair the tear itself and arthroscopic decompression has more recently been combined with "mini-open" repair of the rotator cuff, allowing for the repair of the cuff without disruption of the deltoid origin.[48] The results of decompression alone tend to degrade with time, but the combination of repair and decompression appears to be more enduring.[49]

Repair of a complete, full-thickness tear involves tissue suture. The method currently in favor is to place an anchor in the bone at the natural attachment site, with resuture of torn tendon to the anchor. If tissue quality is poor, mesh (collagen, Artelon, or other degradable material) may be used to reinforce the repair. Repair can be performed through an open incision, again requiring detachment of a portion of the deltoid, while a mini-open technique approaches the tear through a deltoid-splitting approach. The latter may cause less injury to muscle and produce better results.[49] Contemporary techniques now use an all arthroscopic approach. Recovery can take as long as threesix months, with a sling being worn for the first onesix weeks.[50]

In a small minority of cases where extensive arthritis has developed, an option is shoulder joint replacement (arthroplasty).

Rehabilitation

Rehabilitation after surgery consists of three stages. First, the arm is immobilized so that the muscle can heal. Second, when appropriate, a therapist assists with passive exercises to regain range of motion. Third, the arm is gradually exercised actively, with a goal of regaining and enhancing strength.[51] Yoshitsugu Takeda and his team have recently studied rotator cuff injuries and rehab exercises that target the supraspinatus. As mentioned earlier, the supraspinatus muscle is the muscle and tendon within the rotator cuff that is most often injured. In order to rehab the supraspinatus and combat future injuries in the rotator cuff, Takeda’s team has concluded that the empty can and full can exercises are most effective at isolating and strengthening the supraspinatus. [52]

Following arthroscopic rotator-cuff repair surgery, patients undergo rehabilitation to regain shoulder function. Orthopaedic surgeons stress that physical therapy is crucial to healing.[53] Exercises decrease shoulder pain, strengthen the joint, and improve the arm's range of motion. Therapists, in conjunction with the surgeon, design workout regimens in accordance with individuals' needs and risk factors.

Traditionally, patients have been advised to immobilize their shoulders for six weeks before doing rehabilitation. However, the appropriate timing and intensity of therapy are subject to debate. Regardless, most surgeons advocate to remain in the sling for at least six weeks. Some authorities advocate early, aggressive rehab. They favor the use of passive motion, which allows a patient to move the shoulder without physical effort. Alternatively, some authorities argue that therapy should be started later and carried out more cautiously. Theoretically, that gives tissues time to heal; though there is conflicting data regarding the benefits of early immobilization. A study of rats suggested that it improved the strength of surgical repairs, while research on rabbits produced contrary evidence. Patients, especially those recovering from large rotator cuff tears, are prone to developing new tears. Rehabbing too soon or too strenuously might increase the risk of retear or failure to heal. However, no research has proven a link between early therapy and the incidence of re-tears. In some studies, patients who received earlier and more aggressive therapy reported reduced shoulder pain, less stiffness and better range of motion.[53] Other research has shown that accelerated rehab results in better shoulder function. Ross et al. note that, despite the findings, "no definitive consensus exists supporting a clinical difference" between the two methods of rehab.

There is consensus amongst orthopaedic surgeons and physical therapists regarding rotator cuff repair rehabilitation protocols. The timing and duration of treatments and exercises are based on biologic and biomedical factors involving the rotator cuff. For approximately two to three week following surgery, a patient experiences shoulder pain and swelling; no major therapeutic measures are instituted in this window other than oral pain medicine and ice. All in all, those patients at risk of failure, should undergo a more conservative approach to rehabilitations.

That is followed by the "proliferative" and "maturation and remodeling" phases of healing, which ensues for the following six to ten weeks. The effect of active or passive motion during any of the phases is unclear, due to conflicting information and a shortage of clinical evidence. Gentle physical therapy guided motion is instituted at this phase, only to prevent stiffness of the shoulder; the rotator cuff remains fragile. At three months after surgery, physical therapy intervention changes substantially to focus on scapular mobilization and stretching of the glenohumeral joint. Once full passive motion is regained (at usually about four to four and a half months after surgery) strengthening exercises are the focus. The strengthening focuses on the rotator cuff and the upper back/scapular stabilizers. Typically at about six months after surgery, most patients have made a majority of the gains.

The objective in repairing a rotator cuff is to enable the patient to regain full function. Surgeons and therapists analyze outcomes in several ways. Based on their examinations of patients, they compile scores on tests; some examples are those created by the University of California at Los Angeles and the American Shoulder and Elbow Surgeons. Other outcome measures include the Constant score; the Simple Shoulder Test; and the Disabilities of the Arm, Shoulder and Hand score. The tests assess a patient's range of motion and the degree of shoulder function.

Due to the conflicting information about the relative benefits of rehab conducted early or later, an individualized approach is necessary. The timing and nature of therapeutic activities are adjusted according to patients' ages, the tissue integrity of their rotator cuff repairs and other factors. Special considerations are appropriate for those who have suffered multiple tears.

Prognosis

While people with rotator cuff tears may not have any noticeable symptoms, studies have shown that over time 40% will have enlargement of the tear over a five-year period. Of those whose tears enlarge, 20% have no symptoms while 80% eventually develop symptoms.[54]

There is no irrefutable evidence that rotator cuff surgery benefits patients more than non-surgical management[38] and a percentage of patients never regain full range of motion after surgery.[55]

Epidemiological studies strongly support a relationship between age and cuff tear prevalence. In a recent study the frequency of such tears increased from 13% in the youngest group (aged 50–59 y) to 20% (aged 60–69 y), 31% (aged 70–79 y), and 51% in the oldest group (aged 80–89 y).[12] This high rate of tear prevalence in asymptomatic individuals suggests that rotator cuff tears could be considered a "normal" process of aging rather than a result of an apparent pathological process.

Epidemiology

Incidence

A rotator cuff tear can be caused by the weakening of the rotator cuff tendons. This weakening can be caused by age or how often the rotator cuff is used. Adults over the age of 60 are more susceptible to a rotator cuff tear. According to a study in the Journal of Orthopaedic Surgery and Traumatology the frequency of rotator cuff tears can increase with age. The study shows the participants that were the ages of 70–90 years old had a rate of rotator cuff tears that were 1 to 5. The participants who were 90+ years old the frequency of a rotator cuff tear jumped to 1 to 3. This study shows that with an increase in age there is also an increase in the probability of a rotator cuff tear.[56]

Prevalence

Prevalence of Rotator Cuff Tears

According to a study in the Journal of Orthopaedics the prevalence of a rotator cuff tear was considerably greater in males than in females within the ages of 50–60 years old, within the ages of 70–80 years old there wasn’t much difference in prevalence. The data of this study showed that the prevalence of a rotator cuff tear in the general population is 22.1% [57] Yamamoto et al. performed a medical examination on 683 people whom live in a mountain village. The purpose of this study was to determine the prevalence of a rotator cuff tear among a population. Yamamoto found that among the mountain village population, rotator cuff tears were present in 20.7% of the village population. In both of these studies we see that the percentages of the prevalence of a rotator cuff tear are very close in number so these numbers show us the prevalence of rotator cuff tears in the general population.[56]

In an autopsy study of rotator cuff tears, the incidence of partial tears was 28%, and of complete rupture 30%. Frequently, tears occurred on both sides and the frequency increased with age. The frequency was also higher in females.[58] Other cadaver studies have noted intratendinous tears to be more frequent (7.2%) than bursal-sided (2.4%) or articular-sided tears (3.6%).[59] However, clinically, articular-sided tears are found to be 2 to 3 times more common than bursal-sided tears and among a population of young athletes, articular-sided tears constituted 91% of all partial-thickness tears.[59]

Complications

Patients usually regain function in their shoulders, and experience less pain, following surgery. For some, however, the joint continues to hurt. Weakness and a limited range of motion also may persist. Those who report such symptoms frequently are diagnosed with failed rotator cuff syndrome.

According to an article published by the American Academy of Orthopaedic Surgeons, arthroscopic procedures produce "satisfactory results" more than 90 percent of the time. Dr. Eric J. Strauss and the other authors [53] wrote that 6-8 percent of patients have "incompetent" rotator cuffs, because their repaired tendons either fail to heal or develop additional tears. In some cases, the symptoms are due to cervical spine disease, featuring neck pain that radiates into the shoulder; suprascapular neuropathy, a nerve disorder; subacromial impingement, common in athletes and others who make repetitive overhead movements; or arthritis. Superior labral anterior-posterior lesions produce pain similar to that of rotator cuff tears.

Those most prone to failed rotator cuff syndrome are patients 65 years of age or older; and those with large, sustained tears. Smokers, diabetes sufferers, patients with muscle atrophy and/or fatty infiltration, and those who do not follow postoperative-care recommendations also are at greater risk.

Doctors examine patients and conduct imaging tests to identify the causes of continued discomfort. Depending upon the diagnosis, several treatment alternatives are available. They include revision repair, nonanatomic repair, tendon transfer and arthroplasty. When possible, surgeons make tension-free repairs in which they use grafted tissues rather than stitching to reconnect tendon segments. This can result in a complete repair. Other options are a partial repair, and reconstruction involving a bridge of biologic or synthetic substances. Partial repairs typically are performed on patients with retracted cuff tears.

Two methods of promoting rotator cuff healing are injecting patients' own stem cells (or other growth factors) into the site of the repair, and installing scaffolds (natural or artificial supports that maintain tissue contour). The results of using PRP (platelet rich plasma) to augment the healing of rotator cuff repair at the time of surgery, although intellectually interesting, does not seem to demonstrate a statistically significant clinical difference. Biceps tenotomy and tendonesis are treatment alternatives for patients with rotator cuff tears as well as bicep tendon lesions. Tendonesis, which may be performed as an arthroscopic or open procedure, generally restores strength and function. Tenotomy is a shorter surgery, requiring less rehabilitation, that doctors tend to recommended for older patients.

Tendon transfers are prescribed for young, active cuff-tear patients who experience weakness and decreased range of motion, but little pain. The technique is not considered appropriate for older people, or those with pre-operative stiffness or nerve injuries. People diagnosed with glenohumeral arthritis and rotator cuff anthropathy often undergo hemiarthroplasty, which entails replacement of the humerus portion of the shoulder joint. Elderly patients with recurring cuff tears and degenerative glenohumeral arthritis sometimes receive total shoulder arthroplasty (replacement). Another surgery, reverse total shoulder arthroplasty, is effective for others.

References

  1. "Rotator cuff injury Definition - Diseases and Conditions". Mayo Clinic. 2014-02-19. Retrieved 2014-08-03.
  2. 1 2 Williams GR, Rockwood CA, Bigliani LU, Iannotti JP, Stanwood W (December 2004). "Rotator cuff tears: why do we repair them?". The Journal of Bone and Joint Surgery American Volume. 86–A (12): 2764–76. PMID 15590865.
  3. Saladin, Kenneth S. "Anatomy & Physiology." McGraw Hill, n.d. Web. 04 Oct. 2016.
  4. 1 2 "Your Orthopaedic Connection: Rotator Cuff Tears and Treatment Options".
  5. Saladin, Kenneth S. "Anatomy & Physiology." McGraw Hill, n.d. Web. 04 Oct. 2016.
  6. Harris JD, Pedroza A, Jones GL, The MOON (Multicenter Orthopedic Outcomes Network) Shoulder Group (Nov 2011). "Predictors of Pain and Function in Patients With Symptomatic, Atraumatic Full-Thickness Rotator Cuff Tears: A Time-Zero Analysis of a Prospective Patient Cohort Enrolled in a Structured Physical Therapy Program". Am J Sports Med. 40 (2): 359–66. doi:10.1177/0363546511426003. PMC 3632074Freely accessible. PMID 22095706.
  7. Factor D, Dale B (Apr 2014). "CURRENT CONCEPTS OF ROTATOR CUFF TENDINOPATHY". Int J Sports Phys Ther. 9 (2): 274–88. PMC 4004132Freely accessible. PMID 24790788.
  8. Sliverstein B.; Welp E.; Nelson N.; Kalat J. (1998). "Claims incidence of work-related disorders of upper extremities: Washington state 1987-1995". American Journal of Public Health. 88 (12): 1827–1833. doi:10.2105/ajph.88.12.1827. PMC 1509055Freely accessible. PMID 9842381.
  9. 1 2 Via AG, Cupis MD, Spoliti M, Oliva F (Apr–Jun 2013). "Clinical and biological aspects of rotator cuff tears". Muscles Ligaments Tendons J. 3 (2): 70–9. doi:10.11138/mltj/2013.3.2.070. PMC 3711705Freely accessible. PMID 23888289.
  10. "Rotator Cuff Tears-OrthoInfo - AAOS". Orthoinfo.aaos.org. 2011-05-01. Retrieved 2014-08-03.
  11. "Mechanisms-Rotator Cuff". Biomed.brown.edu. 2004-02-05. Retrieved 2014-08-03.
  12. 1 2 3 4 5 6 7 8 9 Nho SJ, Yadav H, Shindle MK, Macgillivray JD (May 2008). "Rotator cuff degeneration: etiology and pathogenesis". Am J Sports Med. 36 (5): 987–93. doi:10.1177/0363546508317344. PMID 18413681.
  13. Neer CS 2nd, Craig EV, Fukuda H (Dec 1983). "Cuff-tear arthropathy". J Bone Joint Surg Am. 65 (9): 1232–44. PMID 6654936.
  14. 1 2 Wolf BR, Dunn WR, Wright RW (June 2007). "Indications for repair of full-thickness rotator cuff tears". Am J Sports Med. 35 (6): 1007–16. doi:10.1177/0363546506295079. PMID 17337723.
  15. Marreez, YM; Forman, MD; Brown, SR (May 2013). "Physical examination of the shoulder joint-Part I: Supraspinatus rotator cuff muscle clinical testing". Osteopathic Family Physician. 5 (3): 128–134. doi:10.1016/j.osfp.2013.01.005.
  16. Arend CF. Ultrasound of the Shoulder. Master Medical Books, 2013. Free chapter on ultrasound evaluation of rotator cuff disorders available at ShoulderUS.com
  17. "Rotator Cuff Tears and Injuries". Webmd.com. Retrieved 2014-08-03.
  18. 1 2 "Rotator Cuff Disease Symptoms, Causes, Treatment - What are symptoms of rotator cuff disease?". MedicineNet. 2012-09-14. Retrieved 2014-08-03.
  19. 1 2 Gückel C, Nidecker A (November 1997). "Diagnosis of tears in rotator-cuff-injuries". Eur J Radiol. 25 (3): 168–76. doi:10.1016/s0720-048x(97)01171-6. PMID 9430826.
  20. Sox, Harold C. (1988). Medical decision making. Boston: Butterworths. ISBN 0-409-90091-5.
  21. 1 2 Moosikasuwan JB, Miller TT, Burke BJ (2005). "Rotator cuff tears: clinical, radiographic, and US findings". Radiographics. 25 (6): 1591–607. doi:10.1148/rg.256045203. PMID 16284137.
  22. Bernstein J (1 September 1997). "Decision analysis". The Journal of Bone and Joint Surgery American Volume. 79 (9): 1404–14. PMID 9314406.
  23. 1 2 3 4 "Rotator Cuff Tears-OrthoInfo - AAOS". Orthoinfo.aaos.org. 2011-05-01. Retrieved 2014-08-03.
  24. 1 2 August 2, 2014 (2014-03-27). "Rotator Cuff Injury: Click for Surgery Info and Healing Time". Emedicinehealth.com. Retrieved 2014-08-03.
  25. McFarland EG, Selhi HS, Keyurapan E (1 February 2006). "Clinical evaluation of impingement: what to do and what works". The Journal of Bone and Joint Surgery American Volume. 88 (2): 432–41. PMID 16475277.
  26. 1 2 3 Park HB, Yokota A, Gill HS, El Rassi G, McFarland EG (July 2005). "Diagnostic accuracy of clinical tests for the different degrees of subacromial impingement syndrome". The Journal of Bone and Joint Surgery. 87 (7): 1446–55. doi:10.2106/JBJS.D.02335. PMID 15995110.
  27. Jacobson JA (Sep 2009). "Musculoskeletal ultrasound: focused impact on MRI". Am J Roentgenol. 193 (3): 619–27. doi:10.2214/AJR.09.2841. PMID 19696273.
  28. Lenza M1, Buchbinder R, Takwoingi Y, Johnston RV, Hanchard NC, Faloppa F (Sep 24, 2013). "Magnetic resonance imaging, magnetic resonance arthrography and ultrasonography for assessing rotator cuff tears in people with shoulder pain for whom surgery is being considered". Cochrane Database Syst Rev. 9. doi:10.1002/14651858.CD009020.pub2.
  29. 1 2 3 Stetson WB, Phillips T, Deutsch A (2005). "The use of magnetic resonance arthrography to detect partial-thickness rotator cuff tears". The Journal of Bone and Joint Surgery American Volume. 87 Suppl 2 (suppl_2): 81–8. doi:10.2106/JBJS.E.00509. PMID 16326727.
  30. Teefey SA, Rubin DA, Middleton WD, Hildebolt CF, Leibold RA, Yamaguchi K (April 2004). "Detection and quantification of rotator cuff tears. Comparison of ultrasonographic, magnetic resonance imaging, and arthroscopic findings in seventy-one consecutive cases". The Journal of Bone and Joint Surgery American Volume. 86–A (4): 708–16. PMID 15069134.
  31. Kim, Kyung Cheon, Hyun Dae Shin, Bo Kun Kim, Soo Min Cha, and Jun Yeong Park. "Changes in Tendon Length with Increasing Rotator Cuff Tear Size." Knee Surgery, Sports Traumatology, Arthroscopy 20.6 (2012): 1022-026. Print.
  32. Howe, C., P. Huber, F. M. Wolf, and F. Matsen. "Differential Suture Loading in an Experimental Rotator Cuff Repair." The American Journal of Sports Medicine 37.2 (2009): 324-29. Print.
  33. Zumstein, Matthias A., Eric Frey, Brigitte Von Rechenberg, Robert Frigg, Christian Gerber, and Dominik C. Meyer. "Device for Lengthening of a Musculotendinous Unit by Direct Continuous Traction in the Sheep." BMC Veterinary Research 8.1 (2012): 50. Print.
  34. Andarawis-Puri, N., E. T. Ricchetti, and L. J. Soslowsky. "Interaction Between the Supraspinatus and Infraspinatus Tendons: Effect of Anterior Supraspinatus Tendon Full-Thickness Tears on Infraspinatus Tendon Strain." The American Journal of Sports Medicine 37.9 (2009): 1831-839. Print.
  35. "Rotator Cuff Tears". American Academy of Orthopaedic Surgeons. There is no evidence of better results from surgery performed near the time of injury versus later on. For this reason, many doctors first recommend nonsurgical management of rotator cuff tears.
  36. Tashjian RZ (October 2012). "Epidemiology, natural history, and indications for treatment of rotator cuff tears". Clin Sports Med. 31 (4): 589–604. doi:10.1016/j.csm.2012.07.001. PMID 23040548.
  37. "Shoulder Rotator Cuff Surgery Research Review: Does Surgery work Better than No Surgery?". Centeno-Schultz Clinic. You might think that with about 40,000 shoulder rotator cuff tear repair surgeries performed in the United States each year, that there was solid medical evidence supporting that this type of shoulder surgery was effective. However, a recent published review by Agency for Healthcare Research and Quality looked at more than 150 published papers and concluded that there was no solid evidence that rotator cuff surgery benefited patients more than no surgery.
  38. 1 2 Jennifer C. Seida, MPH; Claire LeBlanc, MD; Janine R. Schouten, BSc; Shima S. Mousavi, MD; Lisa Hartling, PhD; Ben Vandermeer, MSc; Lisa Tjosvold, MLIS; and David M. Sheps, MD, MSc (2010-08-17). "Systematic Review: Nonoperative and Operative Treatments for Rotator Cuff Tears". Annals of Internal Medicine. 153 (4): 246–55. doi:10.7326/0003-4819-153-4-201008170-00263. PMID 20621893.
  39. Comparative Effectiveness of Nonoperative and Operative Treatments for Rotator Cuff Tears: Executive Summary. Rockville, Md.: Agency for Healthcare Research and Quality, [2010].
  40. 1 2 3 4 5 6 7 8 9 10 Mantone J. K; Burkhead W. Z.; Noonan J. Jr (2000). "Nonoperative Treatment of Rotator Cuff Tears". Orthopedic Clinics of North America. 31 (2): 295–311. doi:10.1016/s0030-5898(05)70149-8. PMID 10736398.
  41. Rockwood C. A. Jr.; Wirth M. A.; Basamania C. (1997). "Nonoperative Management of Full-Thickness Tears of the Rotator Cuff". Orthopedic Clinics of North America. 28: 1. doi:10.1016/s0030-5898(05)70264-9.
  42. Williams, GR Jr; Kraeutler, MJ; Zmistowski, B; Fenlin, JM Jr (September 2014). "No difference in postoperative pain after arthroscopic versus open rotator cuff repair". Clin Orthop Relat Res. 472 (9): 2759–65. doi:10.1007/s11999-014-3715-6. PMID 24912870.
  43. Baydar M; Akalin E; El O; et. al (April 2009). "The efficacy of conservative treatment in patients with full-thickness rotator cuff tears". Rheumatology International. 29 (6): 623–8. doi:10.1007/s00296-008-0733-2. PMID 18850322.
  44. Zumstein MA, Jost B, Hempel J, Hodler J, Gerber C (November 2008). "The clinical and structural long-term results of open repair of massive tears of the rotator cuff". The Journal of Bone and Joint Surgery. American Volume. 90 (11): 2423–31. doi:10.2106/JBJS.G.00677. PMID 18978411.
  45. Shen PH, Lien SB, Shen HC, Lee CH, Wu SS, Lin LC (2008). "Long-term functional outcomes after repair of rotator cuff tears correlated with atrophy of the supraspinatus muscles on magnetic resonance images". Journal of Shoulder and Elbow Surgery. 17 (1 Suppl): 1S–7S. doi:10.1016/j.jse.2007.04.014. PMID 17931908.
  46. Matsen, Frederick A.; Winston J. Warme (19 August 2008). "Repair of Rotator Cuff Tears: Surgery for shoulders with torn rotator cuff tendons can lessen shoulder pain and improve function without acromioplasty". University of Washington School of Medicine. Retrieved 5 July 2009.
  47. "Rotator cuff injury Definition - Diseases and Conditions". Mayo Clinic. 2014-02-19. Retrieved 2014-08-03.
  48. Norberg FB, Field LD, Savoie FH (2000). "Repair of the rotator cuff. Mini-open and arthroscopic repairs". Clinics in sports medicine. 19 (1): 77–99. doi:10.1016/s0278-5919(05)70297-0. PMID 10652666.
  49. 1 2 Lyons P.; Orwin J. (1998). "Rotator cuff tendinopathy and subacromial impingement syndrome". Medicine & Science in Sports & Exercise. 30 (4): 12–17. doi:10.1097/00005768-199804001-00003.
  50. "Rotator cuff repair". MedlinePlus. Retrieved 2009-09-29.
  51. "Rotator Cuff Tears: Surgical Treatment Options". orthoinfo.aaos.org. 2012. Retrieved May 3, 2012.
  52. Takeda, Yoshitsugu, et al. "The most effective exercise for strengthening the supraspinatus muscle evaluation by magnetic resonance imaging." The American journal of sports medicine 30.3 (2002): 374-381.
  53. 1 2 3 Strauss; et al. (2012). "Management of Failed Arthroscopic Rotator Cuff Repair". JAAOS. 20 (5): 301–309. doi:10.5435/jaaos-20-05-301.
  54. Tempelhof S, Rupp S, Seil R (1999). "Age-related prevalence of rotator cuff tears in asymptomatic shoulders". Journal of Shoulder and Elbow Surgery. 8 (4): 296–9. doi:10.1016/S1058-2746(99)90148-9. PMID 10471998.
  55. Chung SW, Huong CB, Kim SH, Oh JH (February 2013). "Shoulder stiffness after rotator cuff repair: risk factors and influence on outcome". Arthroscopy. 29 (2): 290–300. doi:10.1016/j.arthro.2012.08.023. PMID 23290184.
  56. 1 2 Yamamoto A, Takagishi K, Osawa T, et al. Prevalence and risk factors of a rotator cuff tear in the general population. J Shoulder Elbow Surg. 2010;19:116-120.
  57. Minagawa H, Yamamoto N, Abe H (2013). "Prevalence of symptomatic and asymptomatic rotator cuff tears in the general population: From mass-screening in one village". Journal of Orthopaedic. 10 (1): 8–12. doi:10.1016/j.jor.2013.01.008.
  58. Jerosch J, Müller T, Castro W (1991). "The incidence of rotator cuff rupture. An anatomic study". Acta Orthop Belg. 57 (2): 124–9. PMID 1872155.
  59. 1 2 Matava M. J.; Purcell D. B.; Rudzki J. R. (2005). "Partial-Thickness Rotator Cuff Tears". Am J Sports Med. 33 (9): 1405–1417. doi:10.1177/0363546505280213. PMID 16127127.
Wikimedia Commons has media related to Rotator cuff tear.
This article is issued from Wikipedia - version of the 11/30/2016. The text is available under the Creative Commons Attribution/Share Alike but additional terms may apply for the media files.