Pathologic fracture

Pathologic fracture
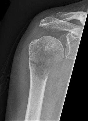
Pathological fracture of the humerus in a patient with metastasis of renal cell carcinoma
Classification and external resources
ICD-10 M80
ICD-9-CM 733.1

A pathologic fracture is a bone fracture caused by disease that led to weakness of the bone structure. This process is most commonly due to osteoporosis, but may also be due to other pathologies such as: cancer, infection, inherited bone disorders,or a bone cyst. Only a small number of conditions are commonly responsible for pathological fractures, including osteoporosis, osteomalacia, Paget's disease, osteitis, osteogenesis imperfecta, benign bone tumours and cysts, secondary malignant bone tumours and primary malignant bone tumours.[1]

Fragility fracture is a type of pathologic fracture that occurs as result of normal activities, such as a fall from standing height or less. There are three fracture sites said to be typical of fragility fractures: vertebral fractures, fractures of the neck of the femur, and Colles fracture of the wrist. This definition arises because a normal human being ought to be able to fall from standing height without breaking any bones, and a fracture therefore suggests weakness of the skeleton.[2]

Pathological fractures present as a chalkstick fracture in long bones, and appear as a transverse fractures nearly 90 degrees to the long axis of the bone. In a pathological compression fracture of a spinal vertebra fractures will commonly appear to collapse the entire body of vertebra.

In circumstances where other pathologies are excluded (for example, cancer), a pathologic fracture is diagnostic of osteoporosis irrespective of bone mineral density.

References

This article is issued from Wikipedia - version of the 9/19/2015. The text is available under the Creative Commons Attribution/Share Alike but additional terms may apply for the media files.