Chalkstick fracture

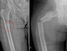
Chalkstick fracture due to bone metastasis of breast cancer. Left image shows the metastasis, on the right a pathological fracture a few days later.
Chalkstick fractures are fractures, typically of long bones, in which the fracture is transverse to the long axis of the bone, like a broken stick of chalk. A healthy long bone typically breaks like a hard woody stick as the collagen in the matrix adds remarkable flexibility to the mineral and the energy can run up and down the growth rings of bone. The bones of children will even follow a greenstick fracture pattern.
Chalkstick fractures are particularly common in Paget's disease of bone, and osteopetrosis.
References
This article is issued from Wikipedia - version of the 7/2/2013. The text is available under the Creative Commons Attribution/Share Alike but additional terms may apply for the media files.