Giant-cell tumor of bone
| Giant-cell tumor of bone | |
|---|---|
![]() | |
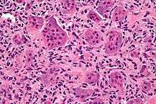
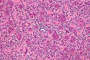
| Micrograph of a giant-cell tumor of bone showing the characteristic giant cells, H&E stain | |
| Classification and external resources | |
| Specialty | oncology |
| ICD-10 | C40, C41 |
| ICD-O | 9250/1 |
| DiseasesDB | 9337 |
| eMedicine | radio/307 |
| MeSH | D018212 |
Giant-cell tumor of the bone (GCTOB) is a relatively uncommon tumor of the bone. It is characterized by the presence of multinucleated giant cells (osteoclast-like cells). Malignancy in giant-cell tumor is uncommon and occurs in about 2% of all cases. However, if malignant degeneration does occur, it is likely to metastasize to the lungs. Giant-cell tumors are normally benign,[1] with unpredictable behavior.[2] It is a heterogeneous tumor composed of three different cell populations. The giant-cell tumour stromal cells (GCTSC) constitute the neoplastic cells,[3] which are from an osteoblastic origin and are classified based on expression of osteoblast cell markers such as alkaline phosphatase and osteocalcin. In contrast, the mononuclear histiocytic cells (MNHC) and multinucleated giant cell (MNGC) fractions are secondarily recruited and comprise the non-neoplastic cell population. They are derived from an osteoclast-monocyte lineage determined primarily by expression of CD68, a marker for monocytic precursor cells.[4][5][6] In most patients, the tumors are slow to develop, but may recur locally in as many as 50% of cases.
Signs and symptoms

Patients usually present with pain and limited range of motion caused by tumor's proximity to the joint space. Swelling may occur, as well, if the tumor has been growing for a long time. Some patients may be asymptomatic until they develop a pathologic fracture at the site of the tumor. They usually originate from the epiphysis of long bones, but in rare cases, they may arise from anterior arc of the ribs.[7] The symptoms may include muscular aches and pains in arms or legs and abdominal pain. Patients may also experience nerve pain which feels like an electric shock due to weight bearing.
Diagnosis

The diagnosis of giant-cell tumors is based on biopsy findings. The key histomorphologic feature is, as the name of the entity suggests, (multinucleated) giant cells with up to a hundred nuclei that have prominent nucleoli. Surrounding mononuclear and small multinucleated cells have nuclei similar to those in the giant cells; this distinguishes the lesion from other osteogenic lesions which commonly have (benign) osteoclast-type giant cells. Soap-bubble appearance is a characteristic feature.
Imaging
On X-ray, giant-cell tumors (GCTs) are lytic/lucent lesions that have an epiphyseal location and grow to the articular surface of the involved bone.[8] Radiologically the tumors may show characteristic 'soap bubble' appearance.[9] They are distinguishable from other bony tumors in that GCTs usually have a nonsclerotic and sharply defined border. About 5% of giant-cell tumors metastasize, usually to a lung, which may be benign metastasis,[10] when the diagnosis of giant-cell tumor is suspected, a chest X-ray or computed tomography may be needed. MRI can be used to assess intramedullary and soft tissue extension.
Treatment
General treatment regimens have not changed much in the past 30 years, in part due to the lack of randomized clinical trials.[4] Surgery is the treatment of choice if the tumor is determined to be resectable. Curettage is a commonly used technique.[11] The situation is complicated in a patient with a pathological fracture. It may be best to immobilize the affected limb and wait for the fracture to heal before performing surgery.
Patients with tumors that are not amenable to surgery are treated with radiation therapy.[12] However caution is employed since a majority of recurrent tumors with transformations to the malignant sarcoma phenotype have been in patients receiving radiotherapy for their primary benign lesion.[13] Pharmacotherapy for GCTOB, includes bisphosphonates such as Zoledronate, which are thought to induce apoptosis in the MNGC fraction, preventing tumor-induced osteolysis. Indeed, in vitro studies have shown zolidronate to be effective in killing osteoclast-like cells.[2][4] More recently, humanized monoclonal antibodies such as Denosumab targeting the RANK ligand have been employed in treatment of GCTOB in a phase II study. This is based on the notion that increased expression of RANK-ligands by stromal cells plays a role in tumor pathogenesis.[4]
Other bone tumors with giant cells
A number of tumors have giant cells, but are not true benign giant-cell tumors. These include, aneurysmal bone cyst, chondroblastoma, simple bone cyst, osteoid osteoma, osteoblastoma, osteosarcoma, giant-cell reparative granuloma, and brown tumor of hyperparathyroidism.
Epidemiology
Giant-cell tumor of the bone accounts for 4-5% of primary bone tumors and about 20% of benign bone tumors.[14] However, significantly higher incidence rates are observed in Asia, where it constitutes about 20% of all primary bone tumors in China.[15] It is slightly more common in females, has a predilection for the epiphyseal/metaphyseal region of long bones,[2][16] and generally occurs in the third to fourth decade.[17] Although classified as a benign tumor, GCTOB has been observed to metastesize to the lungs in up to 5% of cases, and in rare instances (1-3%) can transform to the malignant sarcoma phenotype with equal disease outcome.[2][4][18]
See also
References
- ↑ Pai SB, Lalitha RM, Prasad K, Rao SG, Harish K (September 2005). "Giant cell tumor of the temporal bone—a case report". BMC Ear Nose Throat Disord. 5: 8. doi:10.1186/1472-6815-5-8. PMC 1253509
. PMID 16162299. - 1 2 3 4 Werner, M. (2006). Giant cell tumour of bone: morphological, biological and histogenetical aspects. Springer-Verlag , 30, 484-489
- ↑ Huang, l., Xu, J., Wood, D. J., & Zheng, M. H. (2000). Gene Expression of Osteoprotegerin Ligand, Osteoprotegerin, and REceptor Activator of NF-kB in Giant Cell Tumor of Bone. American Journal of Pathology , 156 (3), 761-767.
- 1 2 3 4 5 Thomas, D. M., & Skubitz, T. (2009). Giant-cell tumour of bone. Current Opinion in Oncology , 21, 338-344
- ↑ Werner, M. (2006). Giant-cell tumour of bone: morphological, biological and histogenetical aspects. Springer-Verlag , 30, 484-489.
- ↑ Wuelling, M., Delling, G., & Kaiser, E. (2003). The Origin of the Neoplastic Stromal Cell in Giant Cell Tumor of Bone. Human Pathology , 34, 983-993.
- ↑ Dehghan A, Moaddab AH, Eskandarlou M, Moeeni A. Anterior chest wall giant cell tumor. Gen Thorac Cardiovasc Surg. 2010 Jan;58(1):39-41.
- ↑ Murphey M, Nomikos G, Flemming D, Gannon F, Temple H, Kransdorf M (2001). "From the archives of AFIP. Imaging of giant cell tumor and giant cell reparative granuloma of bone: radiologic-pathologic correlation". Radiographics : a review publication of the Radiological Society of North America, Inc. 21 (5): 1283–309. doi:10.1148/radiographics.21.5.g01se251283. PMID 11553835.
- ↑ essentials of skeletal radiology. Lippincott Williams & Wilkins. pp. 1–. GGKEY:29STUY0DQ70. Retrieved 21 June 2010.
- ↑ "Giant-cell tumor of bone - Wheeless' Textbook of Orthopaedics".
- ↑ Balke M, Schremper L, Gebert C, et al. (March 2008). "Giant cell tumor of bone: treatment and outcome of 214 cases". J. Cancer Res. Clin. Oncol. 134 (9): 969–78. doi:10.1007/s00432-008-0370-x. PMID 18322700.
- ↑ Mendenhall W, Zlotecki R, Scarborough M, Gibbs C, Mendenhall N (2006). "Giant cell tumor of bone". Am J Clin Oncol. 29 (1): 96–9. doi:10.1097/01.coc.0000195089.11620.b7. PMID 16462511.
- ↑ Mendenhall, W. M., Zlotecki, R. A., Scarborough, M. T., Gibbs, P. C., & Mendenhall, N. P. (2006). Giant Cell Tumor of Bone. American Journal of Clinical Oncology , 29 (1), 96-99
- ↑ Gamberi G, Serra M, Ragazzini P, Magagnoli G, Pazzaglia L, Ponticelli F, Ferrari C, Zanasi M, Bertoni F, Picci P, Benassi M (2003). "Identification of markers of possible prognostic value in 57 giant-cell tumors of bone". Oncol Rep. 10 (2): 351–6. doi:10.3892/or.10.2.351. PMID 12579271.
- ↑ Thomas, D. M., & Skubitz, T. (2009). Giant-cell tumour of bone. Current Opinion in Oncology , 21, 338-344.
- ↑ Dickson, B. C., Li, S.-Q., Wunder, J. S., Ferguson, P. C., Eslami, B., Werier, J. A., et al. (2008). Giant-cell tumor of bone express p63. Modern Pathology , 21, 369-375.
- ↑ Mendenhall, W. M., Zlotecki, R. A., Scarborough, M. T., Gibbs, P. C., & Mendenhall, N. P. (2006). Giant Cell Tumor of Bone. American Journal of Clinical Oncology , 29 (1), 96-99.
- ↑ Dickson, B. C., Li, S.-Q., Wunder, J. S., Ferguson, P. C., Eslami, B., Werier, J. A., et al. (2008). Giant-cell tumor of bone express p63. Modern Pathology , 21, 369-375
External links
- "Symposium on Giant Cell Tumor". Indian Journal of Orthopaedics. 41 (2). 2007.
- YouTube video of patient with giant cell tumor being removed from elbow, replacement elbow installed (1 of 6 videos)
- Giant Cell Tumor Radiology
- GCT Connect- Online network for patients to share experiences
