Primitive neuroectodermal tumor

Not to be confused with pancreatic neuroendocrine tumor, which is also abbreviated as PNET.
Primitive neuroectodermal tumor
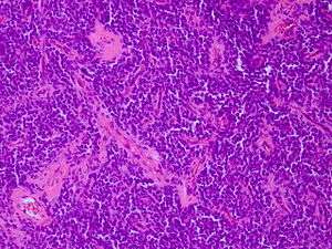
Micrograph of an H&E stained section of a peripheral PNET.
Classification and external resources
ICD-O M9473/3
DiseasesDB 31470
eMedicine ped/2589 neuro/326
MeSH D018242

Primitive neuroectodermal tumor (PNET) is a malignant (cancerous) neural crest tumor.[1] It is a rare tumor, usually occurring in children and young adults under 25 years of age. The overall 5 year survival rate is about 53%.[2]

It gets its name because the majority of the cells in the tumor are derived from neuroectoderm, but have not developed and differentiated in the way a normal neuron would, and so the cells appear "primitive".

PNET belongs to the Ewing family of tumors.

Classification

It is classified into two types, based on location in the body: peripheral PNET and CNS PNET.

Peripheral PNET

CD99 staining of tissue from peripheral PNET

The peripheral PNET (pPNET) is now thought to be virtually identical to Ewing sarcoma:

"Current evidence indicates that both Ewing's sarcoma and PNET have a similar neural phenotype and, because they share an identical chromosome translocation, they should be viewed as the same tumor, differing only in their degree of neural differentiation. Tumors that demonstrate neural differentiation by light microscopy, immunohistochemistry, or electron microscopy have been traditionally labeled PNETs, and those that are undifferentiated by these analyses have been diagnosed as Ewing's sarcoma."[3]

PNET of the CNS

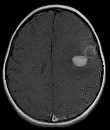
Supratentorial central PNET in a 5-year-old patient

PNET of the CNS generally refer to supratentorial PNETs.

Model

Using gene transfer of SV40 large T-antigen in neuronal precursor cells of rats, a brain tumor model was established. The PNETs were histologically indistinguishable from the human counterparts and have been used to identify new genes involved in human brain tumor carcinogenesis.[4] The model was used to confirm p53 as one of the genes involved in human medulloblastomas, but since only about 10% of the human tumors showed mutations in that gene, the model can be used to identify the other binding partners of SV40 Large T- antigen, other than p53.[5]

See also

References

  1. "primitive neuroectodermal tumor" at Dorland's Medical Dictionary
  2. Smoll, N. R. (2012). "Relative survival of childhood and adult medulloblastomas and primitive neuroectodermal tumors (PNETs)". Cancer. 118 (5): 1313–1322. doi:10.1002/cncr.26387. PMID 21837678.
  3. Kumar, Vinay; Fausto, Nelso; Abbas, Abul (2004) Robbins & Cotran Pathologic Basis of Disease (7th ed.). Saunders. Page 1301. ISBN 0-7216-0187-1.
  4. Eibl RH, Kleihues P, Jat PS, Wiestler OD (March 1994). "A model for primitive neuroectodermal tumors in transgenic neural transplants harboring the SV40 large T antigen". Am. J. Pathol. 144 (3): 556–64. PMC 1887088Freely accessible. PMID 8129041.
  5. Ohgaki H, Eibl RH, Wiestler OD, Yasargil MG, Newcomb EW, Kleihues P (November 1991). "p53 mutations in nonastrocytic human brain tumors". Cancer Res. 51 (22): 6202–5. PMID 1933879.
This article is issued from Wikipedia - version of the 5/27/2016. The text is available under the Creative Commons Attribution/Share Alike but additional terms may apply for the media files.