Laminoplasty
| Laminoplasty | |
|---|---|
| Intervention | |
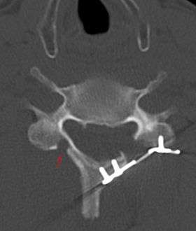
![]() CT scan of Laminoplasty of cervical vertebra | |
| ICD-9-CM | 03.09 |
Laminoplasty is an orthopaedic/neurosurgical surgical procedure for treating spinal stenosis by relieving pressure on the spinal cord. The procedure involves cutting the lamina on both sides of the affected vertebrae (cutting through on one side and merely cutting a groove on the other) and then "swinging" the freed flap of bone open thus relieving the pressure on the spinal cord. The spinous process may be removed to allow the lamina bone flap to be swung open. The bone flap is then propped open using small wedges or pieces of bone such that the enlarged spinal canal will remain in place.
This technique contrasts with vertebral laminectomy in the amount of bone and muscle tissue that has to be removed, displaced, or dissected in the procedure.
