Laminotomy
This article is about the procedure to increase the size of an opening in a lamina. For the procedure to completely remove a lamina, see Laminectomy.
See also: Spinal decompression and Foraminotomy
| Laminotomy | |
|---|---|
| Intervention | |
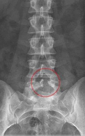
![]() Radiograph of the lumbar spine after hemilaminectomy of the fifth lumbar vertebra | |
| ICD-9-CM | 03.09 |
A laminotomy is an orthopaedic neurosurgical procedure that removes part of a lamina of the vertebral arch in order to decompress the corresponding spinal cord and/or spinal nerve root.
This was originally performed as a hemilaminectomy, consisting in the removal of either the left or right half of the lamina, but is now more commonly carried out as the removal of a portion of both sides of the lamina (while retaining the rest to preserve vertebral stability as much as possible). Laminotomy is also often accompanied by facetectomy.
See also
References
This article is issued from Wikipedia - version of the 5/6/2015. The text is available under the Creative Commons Attribution/Share Alike but additional terms may apply for the media files.
