Lymphangioleiomyomatosis
| Lymphangioleiomyomatosis | |
|---|---|
![]() | |
| Figure A shows the location of the lungs and airways in the body. The inset image shows a cross-section of a healthy lung. Figure B shows a view of the lungs with LAM and a collapsed lung (pneumothorax). The inset image shows a cross-section of a lung with LAM. | |
| Classification and external resources | |
| ICD-10 | J84.81 |
| ICD-9-CM | 516.4 |
| ICD-O | 9174/1 |
| OMIM | 606690 |
| DiseasesDB | 30755 |
| eMedicine | med/1348 radio/415 |
| MeSH | D018192 |
Lymphangioleiomyomatosis (LAM) is a rare, progressive and systemic disease that typically results in cystic lung destruction and predominantly affects women, especially during childbearing years.[1] It occurs in more than 30% of women with tuberous sclerosis complex (TSC-LAM), a heritable syndrome that is associated with seizures, cognitive impairment and benign tumors in multiple tissues.[2][3][4][5] Most LAM patients who present for medical evaluation have the sporadic form of the disease (S-LAM), however, which is not associated with other manifestations of tuberous sclerosis complex.
Mild cystic changes consistent with LAM have been described in 10–15% of men with TSC,[6][7] but symptomatic LAM in males is extremely rare.[8][9] Sporadic LAM occurs exclusively in women, with one published exception to date.[9] Both TSC-LAM and S-LAM are associated with mutations in tuberous sclerosis genes.[10]
Lung destruction in LAM is a consequence of diffuse infiltration by neoplastic smooth muscle-like cells, which invade all lung structures including the lymphatics, airway walls, blood vessels and interstitial spaces.[11] The consequences of obstruction of the vessels and airways include chylous fluid accumulations, hemoptysis, airflow obstruction and pneumothorax. The typical disease course is characterized by progressive dyspnea on exertion, spaced by recurrent pneumothoraces and, in some patients, chylous pleural effusions or ascites.[12]
Estimates of median survival vary from 10 to 30 years, based on whether hospital-based or population-based cohorts are studied.[13][14][15] Most patients have dyspnea on exertion with daily activities by 10 years after symptom onset, and many will require supplemental oxygen over that interval.[16] An FDA-approved drug for treatment of LAM, sirolimus, is now available for stabilization of lung function decline.[17] Lung transplant remains the last resort for patients with advanced disease.[18]
Signs and symptoms
The average age of onset of symptoms is from the early to mid 30s.[19][20][21][22] Exertional dyspnea and spontaneous pneumothorax have been reported as the initial presentation of the disease in 49% and 46% of patients, respectively.[22]
Diagnosis is typically delayed by 5 to 6 years;[19][20][21][22] the condition is often initially misdiagnosed as asthma or chronic obstructive pulmonary disease. The first pneumothorax precedes the diagnosis of LAM in 82% of patients.[16][23] The consensus clinical definition of LAM includes the following symptoms:
- Fatigue
- Cough
- Hemoptysis (rarely massive)
- Chest pain
- Chylous complications arising from lymphatic obstruction, including
- Chylothorax
- Chylous ascites
- Chylopericaridium
- Chyloptysis
- Chyluria
- Chyle in vaginal discharge
- Chyle in stool.
- Angiomyolipomas (fatty kidney tumors) are present in about 30% of patients with sporadic LAM and up to 90% of patients with TSC-LAM.[2][24] Angiomyolipomas can sometimes spontaneously bleed, causing pain or hypotension.
- Cystic lymphangiomyomas or lymph nodes with hyodense centers, which mimic necrotizing lymphomas, ovarian or renal cancers, or other malignancies can occur in the retroperitoneum, pelvis or mediastinum.[25][26][27][28]
Pathophysiology
A variable percentage of cells within the LAM lesion contain mutational inactivation of the Tuberous Sclerosis Complex (TSC1 or TSC2) tumor suppressor genes.[10][29][30] TSC1 mutations cause a less severe clinical phenotype than do TSC2 mutations.[31] The discovery of TSC1/2 gene function as negative regulator of the mammalian target of rapamycin complex 1 (mTORC1)[32][33] led to successful use of rapamycin analog sirolimus in clinical trials[17][34] and FDA approval of sirolimus for treatment of LAM.
TSC1 and TSC2 form a tumor suppressor complex that regulates activity of the mammalian target of rapamycin (mTOR) signaling complex by directly controlling the activity of the small GTPase Rheb via the GTPase activating protein (GAP) domain of TSC2. Rheb binds to Raptor and controls the activity of the mTOR complex 1 (mTORC1) that directly phosphorylates p70 S6 kinase (S6K1) and 4E-BP1. mTOR forms two physically and functionally distinct multiprotein complexes: the rapamycin-sensitive mTORC1 and the rapamycin-insensitive mTORC2.[35] The mTORC1 consists of five proteins including Raptor positively regulates mTOR activity.[36][37][38] The mTORC2 consists of six proteins including mTOR and Rictor, which defines the activation level of mTORC2[39][40][41] and modulates the assembly of the actin cytoskeleton through Rho GTPases,[42][43][44] and Rac1 is required for mTOR activation.[45] In TSC2-null and human LAM cells, Rho GTPase activity is required for cell adhesion, motility, proliferation and survival.[46][47][48] Loss of TSC1/TSC2 in LAM not only induces uncontrolled LAM cell growth but also increases LAM cell viability. Upregulation of STAT1 and STAT3[49][50][51][52] and autophagy[53] are known mediators of LAM cell viability and survival.
LAM cells behave, in many ways, like metastatic tumor cells.[54] Several studies have demonstrated that LAM cells appear to arise from an extrapulmonary source and migrate to the lung.[10] Although increased LAM cell migration and invasiveness is rescued by TSC2 re-expression in experimental studies,[47] the cellular and molecular mechanisms of neoplastic transformation and lung parenchymal destruction by LAM cells remain unknown. Lung remodeling may be mediated by an imbalance between matrix degrading metalloproteases (MMPs) and their endogenous inhibitors TIMPs.[55] The invasive cell phenotype in LAM is associated with TIMP-3 downregulation[56] and TSC2-dependent upregulation of MMPs.[57][58][59][60]
Clinical and histopathological evidence demonstrate the lymphatic involvement in LAM.[28][55][61][62][63][64][65][66] The prevailing hypothesis is that LAM lesions secrete the lymphangiogenic factor VEGF-D, recruit lymphatic endothelial cells (LECs) that form lymphatic vessels and induce lung cysts.[55] VEGF-D serum levels are increased in LAM[67] compared to other cystic lung diseases, including pulmonary Langerhans cell histiocytosis, emphysema, Sjögren's syndrome, or Birt–Hogg–Dubé syndrome.[68] VEGF-D levels correlate with the severity of LAM, evaluated as a measure of CT grade, the abundance of chylous effusions and lymphatic involvement.[69] VEGF-D, a secreted homodimer glycoprotein and a member of the VEGF family of growth factors, is known for its role in cancer lymphangiogenesis and metastasis.[70][71][72] Proteolytic processing of VEGF-D affects cognate binding to VEGFR3.[73] Histopathologically, LAM lesions are surrounded by cells that stain for VEGFR3, the lymphatic vessel endothelial hyaluronan receptor 1 (LYVE-1) and podoplanin.[61][74] VEGF-D binds to the receptor protein tyrosine kinases VEGFR-2 and VEGFR-349 in humans, and to VEGFR3 in mice.[72][75] Surprisingly, knock-out of VEGF-D in mice has little effect on development of lymphatic system.[76] Nevertheless, during tumorigenesis VEGF-D promotes formation of tumor lymphatic vessels and facilitates metastatic spread of cancer cells.[71][72] However, little is known about a role of abnormal lymphatics and VEGF-D in LAM etiology and pathogenesis.
Genetics
LAM occurs in two settings: in the disease tuberous sclerosis complex (TSC-LAM) and in a sporadic form, in women who do not have TSC (sporadic LAM).[77][78] In both settings, genetic evidence indicates that LAM is caused by inactivating or “loss of function” mutations in the TSC1 or TSC2 genes, which were cloned in 1997 and 1993 respectively.[79] The TSC1 gene is located on chromosome 9q34 and the TSC2 gene is located on chromosome 16p13. TSC-LAM occurs in women who have germline mutations in either the TSC1 or the TSC2 gene.[80]
Sporadic LAM is primarily associated with somatic TSC2 gene mutations.[10][81] Germline and somatic mutations in LAM include many types of mutations spread across the genes, with no clear “hot spots,” including missense changes, in-frame deletions, and nonsense mutations.[10][80][81] Because of the large size of the genes (together they have more than 60 exons) and because mutations can be located virtually anywhere within the genes, mutation detection is often challenging.
On a cellular basis, LAM cells carry bi-allelic inactivation of the TSC2 genes, consistent with the “two-hit” tumor suppressor gene model originally proposed by Alfred Knudson, MD, PhD.[82][83] The second hit event in LAM cells is often loss of the chromosomal region containing the wild-type copy of the TSC2 gene; this is referred to as loss of heterozygosity or LOH.[84] LOH can be detected in microdissected LAM cells,[10][85] in angiomyolipomas and lymph nodes from women with LAM,[29] and in LAM cells isolated from the blood and urine, referred to as circulating LAM cells.[86][87]
Angiomyolipomas and pulmonary LAM cells from women with the sporadic form of LAM carry identical mutations in TSC2.[10] This, together with the fact that recurrent LAM after lung transplantation carries the same TSC2 mutations as the original LAM,[88] has led to the "benign metastasis" hypothesis that LAM cells can migrate or metastasize from one site to another.[77][78]
Pathology
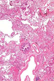
Grossly, LAM lungs are enlarged and diffusely cystic, with dilated air spaces as large as several centimeters in diameter.[89][90] Microscopic examination of the lung reveals foci of smooth muscle-like cell infiltration of the lung parenchyma, airways, lymphatics, and blood vessels associated with areas of thin-walled cystic change. LAM lesions often contain an abundance of lymphatic channels, forming an anastomosing meshwork of slit-like spaces lined by endothelial cells. LAM cells generally expand interstitial spaces without violating tissue planes but have been observed to invade the airways, the pulmonary artery, the diaphragm, aorta, and retroperitoneal fat, to destroy bronchial cartilage and arteriolar walls, and to occlude the lumen of pulmonary arterioles.[89]
There are two major cell morphologies in the LAM lesion: small spindle-shaped cells and cuboidal epithelioid cells.[91] LAM cells stain positively for smooth muscle actin, vimentin, desmin, and, often, estrogen and progesterone receptors. The cuboidal cells within LAM lesions also react with a monoclonal antibody called HMB-45, developed against the premelanosomal protein gp100, an enzyme in the melanogenesis pathway.[91] This immunohistochemical marker is very useful diagnostically, because other smooth muscle–predominant lesions in the lung do not react with the antibody.[92] The spindle-shaped cells of the LAM lesion are more frequently proliferating cell nuclear antigenpositive than the cuboidal cells, consistent with a proliferative phenotype.[91] Compared with cigar-shaped normal smooth muscle cells, spindle-shaped LAM cells contain less abundant cytoplasm and are less eosinophilic. Estrogen and progesterone receptors are also present in LAM lesions,[93][94][95] but not in adjacent normal lung tissue.[96] LAM lesions express lymphatic markers LYVE-1, PROX1, podoplanin and VEGFR-3. The smooth muscle–like cells of AMLs are morphologically and immunohistochemically similar to LAM cells, including reactivity with antibodies directed against actin, desmin, vimentin, and HMB-45 as well as estrogen and progesterone receptors.[97][98] Unlike the dilated air spaces in emphysema, the cystic spaces found in LAM may be partially lined with hyperplastic type II cells.[99]
Radiology
Chest radiograph: The chest radiograph in patients may appear relatively normal, even late in the disease, or may suggest hyperinflation only. As the disease progresses, the chest radiograph often demonstrates diffuse, bilateral, and symmetric reticulonodular opacities, cysts, bullae, or a "honeycomb" (i.e., pseudofibrotic) appearance.[19][22] Pleural effusion and pneumothorax may also be apparent. Preservation of lung volumes in the presence of increased interstitial markings is a radiographic hallmark of LAM that helps distinguish it from most other interstitial lung diseases, in which alveolar septal and interstitial expansion tend to increase the lung’s elastic recoil properties and decrease lung volumes.
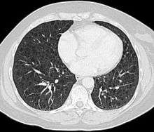
High-Resolution Computed Tomography: The high-resolution computed tomography (HRCT) chest scan is much more sensitive than the chest radiograph in detecting cystic parenchymal disease and is almost always abnormal at the time of diagnosis, even when the chest radiograph and pulmonary function assessments are normal.[19][21][22][100] The typical CT shows diffuse round, bilateral, thin-walled cysts of varying sizes ranging from 1 to 45 mm in diameter.[21][22] The numbers of cysts varies in LAM from a few to almost complete replacement of the normal lung tissue. The profusion of cysts tends to be milder in patients with TSC-LAM than S-LAM, perhaps explained in part by ascertainment of patients with TSC-LAM earlier in the disease process by screening.[25] Pleural effusions are seen on CT in 12% of patients with S-LAM and 6% of patients with TSC-LAM. Other CT features include linear densities (29%), hilar or mediastinal lymphadenopathy (9%), pneumothorax, lymphangiomyomata, and thoracic duct dilation.[21][22] Ground-glass opacities (12%) suggest the presence of interstitial edema due to lymphatic congestion. In patients with TSC, nodular densities on HRCT may represent multifocal micronodular pneumocyte hyperplasia (MMPH) made up of clusters of hyperplastic type II pneumocytes.[5][101][102] MMPH may be present in males or females with TSC in the presence or absence of LAM, but not in patients with S-LAM.[103] MMPH is not typically associated with physiologic or prognostic consequences, but one case of respiratory failure due to MMPH has been reported.[104] A review of diffuse cystic lung disease with specifics regarding LAM and the most common diseases in the differential diagnosis provides useful information to guide clinical decision-making.[105][106]
Ventilation-perfusion scans: Chu and associates[21] reported that ventilation-perfusion scans were abnormal in 34 of 35 women with LAM. The most common abnormality was nonspecific diffuse heterogeneity, usually grossly matched. These authors also described an “unusual,” “speckling pattern” on the perfusion images in 74% of patients, consisting of “small, often peripheral collections of radioisotope.”
Positron emission tomography: LAM and AML lesions do not typically exhibit increased uptake of 18F-fluorodeoxyglucose on positron emission tomography (PET) scanning.[107][108] Other neoplasms (or sources of inflammation) should therefore be considered in known or suspected LAM cases in which FDG-PET results are positive.[109]
Abdominal imaging: Abnormalities on abdominal imaging, such as renal AML and enlarged lymphatic structures, are also common in LAM. Fat density within a renal mass is pathognomonic of AMLs. AMLs are more prevalent and more frequently bilateral and large in patients with TSC-LAM than in patients with S-LAM, and AML size correlates with the prevalence of pulmonary cysts in patients with TSC.[2] Avila and associates[25] reported the results of CT imaging in 256 patients with S-LAM and 67 patients with TSC-LAM who were referred to the National Institutes of Health. Renal AMLs were present in 32% of patients with S-LAM and 93% of patients with TSC-LAM. Hepatic AMLs were present in 2% of patients with S-LAM and 33% of patients with TSC-LAM. Ascites was uncommon, seen in fewer than 10% of patients with LAM. Abdominal lymphangiomyomas, often containing both cystic and solid components, were seen in 29% of patients with S-LAM and 9% of patients with TSC-LAM.
Central nervous system imaging: Central nervous system abnormalities, such as cortical or subependymal tubers and astrocytomas, are common in patients with TSC, including those with TSC-LAM, but are not found in women with S-LAM. Moss and associates[110] reported that women with S-LAM and TSC-LAM may have an increased incidence of meningioma, but the significance of that finding has been challenged.[13]
Pulmonary function studies
Pulmonary function testing in patients with LAM may be normal or may reveal obstructive, restrictive, or mixed patterns, with obstructive physiology being the most common abnormality. Quality-controlled lung function data were collected prospectively by the NHLBI Registry, a 5-year study of patients with LAM in centers around the United States. Spirometry revealed obstructive changes in about 57% of patients and normal results in 34%.[24] Restriction, defined as a total lung capacity less than the lower limit of normal, was seen in 11%. Hyperinflation was unusual, present in about 6%. The average residual volume was 125% of predicted when measured by plethysmography, but was only 103% of predicted determined with gas dilution methods, suggesting significant air trapping in noncommunicating airspaces. Approximately 25% of patients with obstructive physiology may demonstrate bronchodilator responsiveness but may be less in more severe obstruction.[111][112] The obstructive physiologic defect in LAM is primarily attributable to airflow obstruction.[113] The earliest change in initial pulmonary function testing in various case series was abnormal gas transfer, as assessed by the diffusing capacity for carbon monoxide (DLCO), described in 82% to 97% of patients.[19][19][20][22] It is not unusual for DLCO to be reduced out of proportion to forced expiratory volume in 1 second (FEV1).[111] Reduction in DLCO and increase in residual volume are generally considered to be the earliest physiologic manifestations of LAM.
Cardiopulmonary exercise testing in a much larger cohort of patients with LAM revealed a reduced maximal oxygen consumption (VO2 max) and anaerobic threshold in 217 patients.[114][115] Exercise-induced hypoxemia was found even in patients who did not have resting abnormalities in FEV1 and DLCO. In most patients, exercise was thought to be ventilation limited, owing to airflow obstruction and increased dead-space ventilation.
Disease progression is usually accompanied by a progressive obstructive ventilatory defect, and decline in FEV1 is the most commonly used parameter to monitor disease progression. Although resting pulmonary hypertension appears to be unusual in LAM, pulmonary arterial pressure often rises with low levels of exercise, related in part to hypoxemia.[115] Zafar and colleagues[116] reported an increase in intraparenchymal shunts in dyspneic patients with LAM, which may contribute to resting and exercise hypoxemia.
Diagnosis


LAM can come to medical attention in several ways, most of which involve triggering scanning of the chest by CT. Thin walled cystic change in the lungs may be found incidentally on CT scans of the heart, chest or abdomen (on the cuts that include lung bases) obtained for other purposes. Screening of women with TSC with HRCT reveals that about 20% of women have cystic change by age 20 and about 80% of women have cystic changes after age 40.[5] LAM is sometimes revealed by chest CT scan in patients who present with an apparent primary spontaneous pneumothorax but more often CT scanning is not ordered (in the United States) until recurrences occur. Progressive dyspnea on exertion without the exacerbations and remissions that are characteristic of asthma or COPD sometimes prompt the astute clinician to order a chest CT. A review of the chest CT by an expert familiar with LAM may increase the diagnostic accuracy.[117] Chylothorax can also bring LAM to attention.
In some cases, the diagnosis of LAM can be made with confidence on clinical grounds (without biopsy) in patients with typical cystic changes on high resolution CT scanning of the lung and findings of tuberous sclerosis, angiomyolipoma, lymphangioleiomyoma, chylothorax or serum VEGF-D > 800 pg/ml.[68][118]
If none of these clinical features are present, a biopsy may be necessary to make the diagnosis. Video-assisted thoracoscopic lung biopsy is the most definitive and widely used technique, but transbronchial biopsy has a yield of over 50% and can also be effective.[119][120] The safety of the latter procedure in patients with diffuse cystic disease and the profusion of cystic change that predicts an informative biopsy are incompletely understood, however. Cytology of chylous fluids, aspirated abdominal nodes or lymphatic masses can also yield the diagnosis.[121][122][123][124] In all cases, review by an expert pathologist who is familiar with LAM is advised.
Diagram 1 outlines a proposed algorithm for the diagnosis of LAM.

Other therapeutic considerations
Pneumothorax. Pneumothoraces in patients with LAM tend to recur, especially after conservative management such as observation, aspiration, or simple tube thoracostomy. Over 65% of patients with LAM develop pneumothorax during the course of their illness, averaging 3.5 pneumothoraces in those who have at least one pneumothorax.[23] The LAM Foundation Pleural Consensus Group advocated for the use of a pleural symphysis procedure with the first pneumothorax, given the greater than 70% chance of recurrence.[23] Chemical sclerosis, mechanical abrasion, talc poudrage, and pleurectomy have been effective in patients with LAM, but mechanical abrasion is preferred for those who may require pulmonary transplantation in the future. About half of LAM patients who have undergone transplant have had a prior pleurodesis procedure, and more than 75% of those had had prior bilateral pleurodesis.[23] Although pleurodesis is clearly not a contraindication to transplantation, it can result in increased perioperative bleeding.
Chylothorax. Chyle does not generally cause pleural inflammation or fibrosis, and small stable chylous effusions rarely require intervention once the diagnosis of LAM is made. Shortness of breath may mandate drainage, however, and in some cases repeatedly. Sirolimus is very effective for chylous effusions and most experts believe it should be used as the first line of therapy.[125] Imaging the source of the leak with heavy T2 weighted MRI or contrast lymphangiography is an advised for refractory effusions.[126] Some leaks are amenable to embolization through catheters threaded from groin lymph nodes into the thoracic duct. Thoracic duct ligation can also be considered, but since thoracic effusions sometimes originate from ascites that is siphoned into the chest by the bellows action of the thorax, it is important to rule out an abdominal source before considering this option.. Pleural symphysis may be required to prevent nutritional and lymphocyte deficiencies that can result from repeated taps or persistent drainage. Chemical pleurodesis is generally an effective therapy for chylothorax, as is mechanical abrasion and talc poudrage.[127]
Angiomyolipoma. Renal angiomyolipomas (AMLs) may require embolization or cauterization for control of bleeding, a complication that is thought to be more common when the diameter of the tumor exceeds 4 cm.[128] Others contend that the extent of aneurysmal change determines bleeding risk. Serial abdominal imaging should be performed to assess AML size at 6- to 12-month intervals, at least until trends in growth are clear. Nephron sparing partial resections may be considered for very large tumors.[129] Nephrectomy is sometimes required for tumors with intravascular extension or other reasons, but is rarely the approach of choice for AMLs that can be managed by less invasive means. Everolimus has recently been approved by the U.S. Food and Drug Administration for the treatment of AMLs.[130]
Lymphangioeleiomyoma. Lymphangioleiomyomas are fluid-filled hypodense structures that are present in the retroperitoneal regions of the abdomen and pelvis in about 30% of patients with LAM. They generally do not require intervention and, indeed, biopsy or resection can lead to prolonged leak. mTOR inhibitors are very effective at shrinking the size of lymphangioleiomyomas, and can lead to total resolution.
Management-other. Estrogen-containing medications can exacerbate LAM[131] and are contraindicated. Agents that antagonize the effects of estrogen have not been proven to be effective for treatment, but no proper trials have been done. A trial of bronchodilators should be considered in patients with LAM, because up to 17% to 25% of patients with LAM have bronchodilator-responsive airflow obstruction.[21][24] Oxygen should be administered to maintain oxyhemoglobin saturations of greater than 90% with rest, exercise, and sleep. Bone densitometry should be considered in all patients who are immobilized and/or on antiestrogen therapies, and appropriate therapy instituted for osteoporotic patients. Proper attention should be paid to cardiovascular health following natural or induced menopause. Immunizations for pneumococcus and influenza should be kept up to date. Pulmonary rehabilitation seems to be particularly rewarding in this young, motivated population with obstructive lung disease, but studies to assess the effect of this intervention on exercise tolerance, conditioning, and quality of life have not been done.
Pharmacological treatment
Sirolimus is an mTOR inhibitor that stabilizes lung function and improves some measures of life in patients with LAM.[17] It was approved by the Food and Drug Administration for use in LAM in May 2015, based on the results of the Multicenter International LAM Efficacy and Safety of Sirolimus (MILES) Trial. The MILES data supports the use of sirolimus in patients who have abnormal lung function (i.e. FEV1<70% predicted). Whether the benefits of treatment outweigh the risks for asymptomatic LAM patients with normal lung function is not clear, but some physicians consider treatment for rapidly declining patients who are approaching the abnormal range for FEV1. Sirolimus also appears to be effective for the treatment chylous effusions and lymphangioleiomyomas. The benefits of sirolimus only persist while treatment continues, so the safety of long term therapy must be addressed in future studies.
Potential side effects from mTOR inhibitors include swelling in the ankles, acne, oral ulcers, dyspepsia, diarrhea, elevation of cholesterol and triglycerides, hypertension, and headache. Sirolimus pneumonitis and latent malignancy are more serious concerns, but occur infrequently. Sirolimus inhibits wound healing. It is important to stop therapy with the drug for 1–2 weeks before and after elective procedures that require optimal wound healing. Precautions must be taken to avoid prolonged sun exposure because sirolimus increases the risk of skin cancer.
Treatment with another mTOR inhibitor, everolimus, was reported in a small open-label trial to be associated with improvement in FEV1 and six-minute walk distance.[132] Serum levels of VEGF-D and collagen IV were reduced by treatment. Adverse events were generally consistent with those known to be associated with mTOR inhibitors, although some were serious and included peripheral edema, pneumonia, cardiac failure and Pneumocystis jirovecii infection. Escalating doses of everolimus were used, up to 10 mg per day; higher than what is typically used clinically for LAM.
Serum VEGF-D concentration has also been shown to useful predictive and prognostic biomarker.[69] A higher baseline VEGF-D levels predicts more rapid disease progression and a more robust treatment response.
Hormonal approaches to treatment have never been tested in proper trials. In the absence of proven benefit, therapy with progesterone, GnRh agonists (e.g., Lupron, goserelin) and tamoxifen are not routinely recommended. Doxycycline had no effect on the rate of lung function decline in a double blind trial.[133]
Sirolimus is often effective as first-line management for chylothorax.[125] If chylous leakage or accumulations persist despite medical treatment, imaging with heavy T2 weighted MRI, MRI lymphangiography or thoracic duct lymphangiography should be considered. Pleural fusion procedures can be considered in refractory cases.
Pregnancy
Pregnancy has been reported to exacerbate LAM in some cases.[109][134][135][136][137] However, the risk has not been rigorously studied. In a survey of 318 patients who indicated on their LAM Foundation intake forms that they had had at least one pregnancy, 163 patients responded to a second survey focusing on lung collapse.[138] A total of 38 patients reported a pneumothorax with pregnancy, consistent with an incidence of pneumothorax in pregnancy of at least 10% (38 of 318). In one third of patients, the pneumothorax during pregnancy led to the diagnosis of LAM. Pneumothoraces were almost twice as frequent on the right as on the left, and four women presented with bilateral spontaneous pneumothorax. Most pneumothoraces took place during the second and third trimesters. This study and others[16][22] suggest that pregnancy is associated with pleural complications in patients with LAM. Unfortunately, the more pressing question of whether pregnancy accelerates the decline in lung function in LAM may never be fully addressed, because so few women with a known LAM diagnosis choose to become pregnant and patients in whom LAM is diagnosed during pregnancy rarely have baseline pulmonary function tests available.
Air travel
Air travel is not typically restricted in patients with LAM. In a survey of 276 patients who answered a LAM Foundation questionnaire, there were eight cases of radiographically documented pneumothorax associated with 454 flights. In five of the eight cases, however, symptoms that were consistent with pneumothorax may have been present before boarding. Other symptoms and signs, including anxiety (22%), chest pain (12%), shortness of breath (14%), cyanosis (2%), and hemoptysis (0.4%), were noted in 10% to 20% of flights. The conclusion of the study was that, although there were adverse events during flight in patients with LAM, air travel is well tolerated by most patients with LAM.
A recent study of 281 patients with LAM who had routine chest radiograph after traveling to the National Institutes of Health identified seven with acute pneumothorax. There was no difference in the incidence of pneumothorax in patients who traveled by ground versus air.[139] In advising patients with LAM about air travel, it is reasonable to consider several factors, including a history of frequent or recent pneumothoraces, and the overall extent of cardiopulmonary impairment. Patients with poor cardiopulmonary reserve may tolerate even small pneumothoraces poorly. It is prudent for patients with LAM to seek medical evaluation including a chest radiograph before boarding a plane if pleuritic chest pain or unexplained shortness of breath is present. Hypoxemia during flight presents independent risks. Patients should consult with their physicians regarding recommendations for on-board oxygen use. In most cases, however, air travel in patients with LAM should not be restricted.
Prognosis
Survival estimates vary widely, appear to be dependent on mode of presentation or ascertainment, and have generally trended upward over the past few decades, probably due to earlier recognition through more widespread use of CT scanning. In a recent population based cohort ascertained by surveying patients registered with the LAM Foundation, the median survival was found to be 29 years.[14] Data from earlier, large case series indicated that 38% to 78% of patients were alive at 8.5 years from the time of disease onset.[19][20][22][140]
Patients with LAM typically develop progressive airflow obstruction. In a cohort of patients in the United Kingdom, 10 years after symptom onset, 55% of 77 patients were breathless walking on flat ground and 10% were housebound.[141] The average annual rate of decline in FEV1 and DLCO in 275 patients studied in a single pulmonary function laboratory at the NHLBI was 75 ± 9 mL, and 0.69 ± 0.07 mL/min/mm Hg, respectively.[142] In other series from Europe, the rate of decline in FEV1 was considerably higher, estimated at approximately 100 to 120 mL/yr.[22][143][144] In the MILES trial, patients in the placebo group lost 134 cc/yr.[17] There was some evidence in these studies that rate of decline in lung function correlates with initial DLCO, with menopausal status, and high baseline VEGF-D.
Epidemiology
LAM is almost completely restricted to women, with only a handful of cases reported in men.[8][9] While lung cysts consistent with LAM are reported in some men with tuberous sclerosis, very few of these men develop symptoms. The prevalence of LAM is estimated using data from registries and patient groups and is between 3.4-7.8/million women. The incidence of the disease (the number of new cases each year) is between 0.23-0.31/million women/year in the USA, UK and Switzerland. The variation between countries and between adjacent states in the USA, suggest that a significant number of women with LAM remain either undiagnosed or their symptoms are attributed to other diseases.[145] It has been known for some time that adult women with tuberous sclerosis are more likely to develop LAM than women without tuberous sclerosis. Recently, cohorts of patients with tuberous sclerosis have been screened for LAM using CT scanning and in a retrospective study of adults with tuberous sclerosis, CT demonstrated lung cysts in 42% of 95 women and 13% of 91 men. In general, lung cysts were larger and more numerous in women than in men.[7] In a further retrospective study of women with TSC who underwent CT scanning to detect LAM, 25% of those in their 20s had lung cysts whereas 80% of women in their 40s were affected suggesting that the development of LAM is age dependent at least in tuberous sclerosis related LAM.[5] Although the prevalence of tuberous sclerosis at 1 in 6000 births is much greater than that of LAM, most pulmonary clinics see more cases of sporadic than tuberous sclerosis-LAM: probably due to a combination of low levels of screening for LAM in tuberous sclerosis and in many, the absence of symptoms.
Female sex and tuberous sclerosis are the only known risk factors for LAM. Although use of supplemental estrogen is not associated with development of LAM,[146] one study suggested that use of estrogen-containing contraceptive pills was associated with an earlier age of onset.[147]
Clinical research
LAM is being studied by the Rare Lung Diseases Consortium (RLDC). The RLDC is part of the Rare Diseases Clinical Research Network (RDCRN), an initiative of the Office of Rare Diseases Research (ORDR) of the National Center for Advancing Translational Sciences (NCATS), one of the centers of the US National Institutes of Health (NIH). The RLDC is dedicated to developing new diagnostics and therapeutics for patients with rare lung diseases, through collaboration between the NIH, patient organizations and clinical investigators.
Patient registry
LAM patients, families, and caregivers are encouraged to join the NIH Rare Lung Diseases Consortium Contact Registry. This is a privacy protected site that provides up-to-date information for individuals interested in the latest scientific news, trials, and treatments related to rare lung diseases. They can also register with the LAM Foundation to keep up-to-date on what is happening across the LAM community and to connect with other patients and families that may be sharing the same experiences.
In popular culture
In "Lucky Thirteen", the fifth episode of the fifth season of House, Spencer (Angela Gots) was diagnosed with LAM, though later it was found to be a case of Sjögren's syndrome.
See also
References
- ↑ McCormack FX, FX (2008). "Lymphangioleiomyomatosis: a clinical update". Chest. 133: 507–516. doi:10.1378/chest.07-0898. PMID 18252917.
- 1 2 3 Franz, DN; Brody, A; Meyer, C; Leonard, J; Chuck, G; Dabora, S; Sethuraman, G; Colby, TV; Kwiatkowski, DJ; McCormack, FX (2001). "Mutational and radiographic analysis of pulmonary disease consistent with lymphangioleiomyomatosis and micronodular pneumocyte hyperplasia in women with tuberous sclerosis". Am J Respir Crit Care Med. 164: 661–668. doi:10.1164/ajrccm.164.4.2011025. PMID 11520734.
- ↑ Costello, LC; Hartman, TE; Ryu, JH (2000). "High frequency of pulmonary lymphangioleiomyomatosis in women with tuberous sclerosis complex". Mayo Clin Proc. 75: 591–594. doi:10.4065/75.6.591. PMID 10852420.
- ↑ Moss, J; Avila, NA; Barnes, PM; Litzenberger, RA; Bechtle, J; Brooks, PG; Hedin, CJ; Hunsberger, S; Kristof, AS (2001). "Prevalence and clinical characteristics of lymphangioleiomyomatosis (LAM) in patients with tuberous sclerosis complex". Am J Respir Crit Care Med. 164: 669–671. doi:10.1164/ajrccm.164.4.2101154.
- 1 2 3 4 Cudzilo, CJ; Szczesniak, RD; Brody, AS; Rattan, MS; Krueger, DA; Bissler, JJ; Franz, DN; McCormack, FX; Young, LR (2013). "Lymphangioleiomyomatosis screening in women with tuberous sclerosis". Chest. 144: 578–585. doi:10.1378/chest.12-2813.
- ↑ Muzykewicz, DA; Sharma, A; Muse, V; Numis, AL; Rajagopal, J; Thiele, EA (2009). "TSC1 and TSC2 mutations in patients with lymphangioleiomyomatosis and tuberous sclerosis complex". J Med Genet. 46: 465–468. doi:10.1136/jmg.2008.065342.
- 1 2 Adriaensen, ME; Schaefer-Prokop, CM; Duyndam, DA; Zonnenberg, BA; Prokop, M (2011). "Radiological evidence of lymphangioleiomyomatosis in female and male patients with tuberous sclerosis complex". Clin Radiol. 66: 625–628. doi:10.1016/j.crad.2011.02.009.
- 1 2 Aubry, MC; Myers, JL; Ryu, JH; Henske, EP; Logginidou, H; Jalal, SM; Tazelaar, HD (2000). "Pulmonary lymphangioleiomyomatosis in a man". Am J Respir Crit Care Med. 162: 749–754. doi:10.1164/ajrccm.162.2.9911006. PMID 10934115.
- 1 2 3 Schiavina, M; Di Scioscio, V; Contini, P; Cavazza, A; Fabiani, A; Barberis, M; Bini, A; Altimari, A; Cooke, RM; Grigioni, WF; D'Errico-Grigioni, A (2007). "Pulmonary lymphangioleiomyomatosis in a karyotypically normal man without tuberous sclerosis complex". Am J Respir Crit Care Med. 176: 96–98. doi:10.1164/rccm.200610-1408cr.
- 1 2 3 4 5 6 7 Carsillo, T; Astrinidis, A; Henske, EP (2000). "Mutations in the tuberous sclerosis complex gene TSC2 are a cause of sporadic pulmonary lymphangioleiomyomatosis". Proc Natl Acad Sci U S A. 97: 6085–6090. doi:10.1073/pnas.97.11.6085.
- ↑ Ferrans, VJ; Yu, ZX; Nelson, WK; Valencia, JC; Tatsuguchi, A; Avila, NA; Riemenschn, W; Matsui, K; Travis, WD; Moss, J (2000). "Lymphangioleiomyomatosis (LAM) (A review of clinical and morphological features)". J Nippon Med. 67: 311–329. doi:10.1272/jnms.67.311.
- ↑ Taveira-DaSilva, AM; Steagall, WK; Moss, J (2006). "Lymphangioleiomyomatosis". Cancer Control. 13: 276–285.
- 1 2 Hayashida, M; Seyama, K; Inoue, Y; Fujimoto, K; Kubo, K (2007). "The epidemiology of lymphangioleiomyomatosis in Japan: A nationwide cross-sectional study of presenting features and prognostic factors". Resirology. 12: 523–530. doi:10.1111/j.1440-1843.2007.01101.x.
- 1 2 Oprescu, N; McCormack, FX; Byrnes, S; Kinder, BW (2013). "Clinical Predictors of Mortality and Cause of Death in Lymphangioleiomyomatosis: A Population-based Registry". Lung. 191 (1): 35–42. doi:10.1007/s00408-012-9419-3.
- ↑ Johnson, SR; Whale, CI; Hubbard, RB; Lewis, SA; Tattersfield, AE (2004). "Survival and disease progression in UK patients with lymphangioleiomyomatosis". Thorax. 59: 800–803. doi:10.1136/thx.2004.023283. PMC 1747117
. PMID 15333859. - 1 2 3 Johnson, SR; Tattersfield, AE (2000). "Clinical experience of lymphangioleiomyomatosis in the UK". Thorax. 55: 1052–1057. doi:10.1136/thorax.55.12.1052.
- 1 2 3 4 McCormack, FX; Inoue, Y; Moss, J; Singer, LG; Strange, C; Nakata, K; Barker, AF; Chapman, JT; Brantly, ML; Stocks, JM; Brown, KK; Lynch, JP, 3rd; Goldberg, HI; Young, LR; Kinder, BW; Downey, GP; Sullivan, EJ; Colby, TV; McKay, RT; Cohen, MM; Korbee, L; Taveira-DaSilva, AM; Lee, HS; Krischer, JP; Trapnell, BC (2011). "Efficacy and safety of sirolimus in lymphangioleiomyomatosis". N Engl J Med. 364: 1595–1606. doi:10.1056/nejmoa1100391.
- ↑ Ussavarungsi, K; Hu, X; Scott, JP; Erasmus, DB; Mallea, JM; Alvarez, F; Lee, AS; Keller, CA; Ryu, JH; Burger, CD (2015). "Mayo clinic experience of lung transplantation in pulmonary lymphangioleiomyomatosis". Respir Med. 109 (10): 1354–1359. doi:10.1016/j.rmed.2015.08.014. PMID 26321137.
- 1 2 3 4 5 6 7 Kitaichi, M; Nishimura, K; Itoh, H; Izumi, T (1995). "Pulmonary lymphangioleiomyomatosis: A report of 46 patients including a clinicopathologic study of prognostic factors". Am J Respir Crit Care Med. 151: 527–533. doi:10.1164/ajrccm.151.2.7842216.
- 1 2 3 4 Taylor, JR; Ryu, J; Colby, TV; Raffin, TA (1990). "Lymphangioleiomyomatosis. Clinical course in 32 patients". N Engl J Med. 323: 1254–1260. doi:10.1056/nejm199011013231807.
- 1 2 3 4 5 6 7 Chu, SC; Horiba, K; Usuki, J; Avila, NA; Chen, CC; Travis, WD; Ferrans, VJ; Moss, J (1999). "Comprehensive evaluation of 35 patients with lymphangioleiomyomatosis". Chest. 115: 1041–1052. doi:10.1378/chest.115.4.1041.
- 1 2 3 4 5 6 7 8 9 10 11 Urban, T; Lazor, R; Lacronique, J; Murris, M; Labrune, S; Valeyre, D; Cordier, JF (1999). "Pulmonary lymphangioleiomyomatosis. A study of 69 patients. Groupe d'Etudes et de Recherche sur les Maladies "Orphelines" Pulmonaires (GERM"O"P)". Medicine (Baltimore). 78: 321–337.
- 1 2 3 4 Almoosa, KF; Ryu, JH; Mendez, J; Huggins, JT; Young, LR; Sullivan, EJ; Maurer, J; McCormack, FX; Sahn, SA (2006). "Management of pneumothorax in lymphangioleiomyomatosis: effects on recurrence and lung transplantation complications". Chest. 129: 1274–1281. doi:10.1378/chest.129.5.1274.
- 1 2 3 Ryu, JH; Moss, J; Beck, GJ; Lee, JC; Brown, KK; Chapman, JT; Finlay, GA; Olson, EJ; Ruoss, SJ; Maurer, JR; Raffin, TA; Peavy, HH; McCarthy, K; Taveira-Dasilva, A; McCormack, FX; Avila, NA; Decastro, RM; Jacons, SS; Stylianou, M; Fanburg, BL (2006). "The NHLBI lymphangioleiomyomatosis registry: characteristics of 230 patients at enrollment". Am J Respir Crit Care Med. 173: 105–111. doi:10.1164/rccm.200409-1298oc.
- 1 2 3 Avila, NA; Bechtle, J; Dwyer, AJ; Ferrans, VJ; Moss, J (2001). "Lymphangioleiomyomatosis: CT of diurnal variation of lymphangioleiomyomas". Radiology. 221: 415–421. doi:10.1148/radiol.2212001448.
- ↑ Avila, NA; Dwyer, AJ; Rabel, A; Moss, J (2007). "Sporadic lymphangioleiomyomatosis and tuberous sclerosis complex with lymphangioleiomyomatosis: comparison of CT features". Radiology. 242: 277–285. doi:10.1148/radiol.2421051767.
- ↑ Avila, NA; Kelly, JA; Chu, SC; Dwyer, AJ; Moss, J (2000). "Lymphangioleiomyomatosis: abdominopelvic CT and US findings". Radiology. 216: 147–153. doi:10.1148/radiology.216.1.r00jl42147.
- 1 2 Matsui, K; Tatsuguchi, A; Valencia, J; Yu, Z; Bechtle, J; Beasley, MB; Avila, NA; Travis, WD; Moss, J; Ferrans, VJ (2000). "Extrapulmonary lymphangioleiomyomatosis (LAM): clinicopathologic features in 22 cases". Hum Pathol. 31: 1242–1248. doi:10.1053/hupa.2000.18500.
- 1 2 Smolarek, TA; Wessner, LL; McCormack, FX; Mylet, JC; Menon, AG; Henske, EP (1998). "Evidence that lymphangiomyomatosis is caused by TSC2 mutations: chromosome 16p13 loss of heterozygosity in angiomyolipomas and lymph nodes from women with lymphangiomyomatosis". Am J Hum Genet. 62 (4): 810–815. doi:10.1086/301804.
- ↑ Sato, T; Seyama, K; Fujii, H; Maruyama, H; Setoguchi, Y; Iwakami, S; Fukuchi, Y; Hino, O (2002). "Mutation analysis of the TSC1 and TSC2 genes in Japanese patients with pulmonary lymphangioleiomyomatosis". J Hum Genet. 47 (1): 20–28. doi:10.1007/s10038-002-8651-8.
- ↑ Dabora, SL; Jozwiak, S; Franz, DN; Roberts, PS; Nieto, A; Chung, J; Choy, YS; Reeve, MP; Thiele, E; Egelhoff, JC; Kasprzyk-Obara, J; Domanska-Pakiela, D; Kwiatkowski, DJ (2001). "Mutational analysis in a cohort of 224 tuberous sclerosis patients indicates increased severity of TSC2, compared with TSC1, disease in multiple organs". Am J Hum Genet. 68 (1): 64–80. doi:10.1086/316951. PMC 1234935
. PMID 11112665. - ↑ Goncharova, EA; Goncharov, DA; Eszterhas, A; Hunter, DS; Glassberg, MK; Yeung, RS; Walker, CL; Noonan, D; Kwiatkowski, DJ; Chou, MM; Panettieri, RA Jr; Krymskaya, VP (2002). "Tuberin regulates p70 S6 kinase activation and ribosomal protein S6 phosphorylation. A role for the TSC2 tumor suppressor gene in pulmonary lymphangioleiomyomatosis (LAM)". J Biol Chem. 277 (34): 30958–30967. doi:10.1074/jbc.m202678200.
- ↑ Kwiatkowski, DJ; Zhang, H; Bandura, JL; Heiberger, KM; Glogauer, M; el-Hashemite, N; Onda, H (2002). "A mouse model of TSC1 reveals sex-dependent lethality from liver hemangiomas, and up-regulation of p70S6 kinase activity in Tsc1 null cells". Hum Mol Genet. 11 (5): 525–534. doi:10.1093/hmg/11.5.525. PMID 11875047.
- ↑ Bissler, JJ; McCormack, FX; Young, LR; Elwing, JM; Chuck, G; Leonard, JM; Schmithorst, VJ; Laor, T; Brody, AS; Bean, J; Salisbury, S; Franz, DN (2008). "Sirolimus for angiomyolipoma in tuberous sclerosis complex or lymphangioleiomyomatosis". N Engl J Med. 358 (2): 140–151. doi:10.1056/nejmoa063564.
- ↑ Guertin, DA; Sabatini, DM (2007). "Defining the role of mTOR in cancer". Cancer Cell. 12 (1): 9–22. doi:10.1016/j.ccr.2007.05.008. PMID 17613433.
- ↑ Hara, K; Maruki, Y; Long, X; Yoshino, K; Oshiro, N; Hidayat, S; Tokunaga, C; Avruch, J; Yonezawa, K (2002). "Raptor, a binding partner of target of rapamycin (TOR), mediates TOR action". Cell. 110 (2): 177–189. doi:10.1016/s0092-8674(02)00833-4. PMID 12150926.
- ↑ Kim, DH; Sarbassov, DD; Ali, SM; King, JE; Latek, RR; Erdjument-Bromage, H; Tempst, P; Sabatini, DM (2002). "mTOR interacts with raptor to form a nutrient-sensitive complex that signals to the cell growth machinery". Cell. 110 (2): 163–175. doi:10.1016/s0092-8674(02)00808-5. PMID 12150925.
- ↑ Schalm, SS; Fingar, DC; Sabatini, DM; Blenis, J (2003). "TOS motif-mediated raptor binding regulates 4E-BP1 multisite phosphorylation and function". Curr Biol. 13 (10): 797–806. doi:10.1016/s0960-9822(03)00329-4. PMID 12747827.
- ↑ Frias, MA; Thoreen, CC; Jaffe, JD; Schroder, W; Sculley, T; Carr, SA; Sabatini, DM (2006). "mSin1 is necessary for Akt/PKB phosphorylation, and its isoforms define three distinct mTORC2s". Curr Biol. 16 (18): 1865–1870. doi:10.1016/j.cub.2006.08.001. PMID 16919458.
- ↑ Jacinto, E; Facchinetti, V; Liu, D; Soto, N; Wei, S; Jung, SY; Huang, Q; Qin, J; Su, B (2006). "SIN1/MIP1 maintains rictor-mTOR complex integrity and regulates Akt phosphorylation and substrate specificity". Cell. 127 (1): 125–137. doi:10.1016/j.cell.2006.08.033. PMID 16962653.
- ↑ Laplante, M; Sabatini, DM (2009). "mTOR signaling at a glance". J Cell Sci. 122 (Pt 20): 3589–3594. doi:10.1242/jcs.051011.
- ↑ Jacinto, E; Loewith, R; Schmidt, A; Lin, S; Rüegg, MA; Hall, A; Hall, MN (2004). "Mammalian TOR complex 2 controls the actin cytoskeleton and is rapamycin insensitive". Nat Cell Biol. 6 (11): 1122–1128. doi:10.1038/ncb1183. PMID 15467718.
- ↑ Sarbassov, DD; Ali, SM; Kim, DH; Guertin, DA; Latek, RR; Erdjument-Bromage, H; Tempst, P; Sabatini, DM (2004). "Rictor, a novel binding partner of mTOR, defines a rapamycin-insensitive and raptor-independent pathway that regulates the cytoskeleton". Curr Biol. 14 (14): 1296–1302. doi:10.1016/j.cub.2004.06.054. PMID 15268862.
- ↑ Zoncu, R; Efeyan, A; Sabatini, DM (2011). "mTOR: from growth signal integration to cancer, diabetes and ageing". Nat Rev Mol Cell Biol. 12 (1): 21–35. doi:10.1038/nrm3025. PMC 3390257
. PMID 21157483. - ↑ Saci, A; Cantley, LC; Carpenter, CL (2011). "Rac1 regulates the activity of mTORC1 and mTORC2 and controls cellular size". Mol Cell. 42 (1): 50–61. doi:10.1016/j.molcel.2011.03.017.
- ↑ Goncharova, E; Goncharov, D; Noonan, D; Krymskaya, VP (2004). "TSC2 modulates actin cytoskeleton and focal adhesion through TSC1-binding domain and the Rac1 GTPase". J Cell Biol. 167 (6): 1171–1182. doi:10.1083/jcb.200405130.
- 1 2 Goncharova, EA; Goncharova, DA; Lim, PN; Noonan, D; Krymskaya, VP (2006). "Modulation of cell migration and invasiveness by tumor suppressor TSC2 in lymphangioleiomyomatosis". Am J Respir Cell Mol Biol. 34 (4): 473–480. doi:10.1165/rcmb.2005-0374oc.
- ↑ Goncharova, EA; Goncharova, DA; Li, H; Pimtong, W; Lu, S; Khavin, I; Krymskaya, VP (2011). "mTORC2 is required for proliferation and survival of TSC2-null cells". Mol Cell Biol. 31 (12): 2484–2498. doi:10.1128/mcb.01061-10.
- ↑ El-Hashemite, N; Kwiatkowski, DJ (2005). "Interferon-gamma-Jak-Stat signaling in pulmonary lymphangioleiomyomatosis and renal angiomyolipoma: a potential therapeutic target". Am J Respir Cell Mol Biol. 33 (3): 227–230. doi:10.1165/rcmb.2005-0152rc.
- ↑ El-Hashemite, N; Zhang, H; Walker, V; Hoffmeister, KM; Kwiatkowski, DJ (2004). "Perturbed IFN-gamma-Jak-signal transducers and activators of transcription signaling in tuberous sclerosis mouse models: synergistic effects of rapamycin-IFN-gamma treatment". Cancer Res. 64 (10): 3436–3443. doi:10.1158/0008-5472.can-03-3609.
- ↑ Goncharova, EA; Goncharova, DA; Chisolm, A; Spaits, MS; Lim, PN; Cesarone, G; Khavin, I; Tliba, O; Amrani, Y; Panettieri, RA Jr; Krymskaya, VP (2008). "Interferon beta augments tuberous sclerosis complex 2 (TSC2)-dependent inhibition of TSC2-null ELT3 and human lymphangioleiomyomatosis-derived cell proliferation". Mol Pharmacol. 73 (3): 778–788. doi:10.1124/mol.107.040824.
- ↑ Goncharova, EA; Goncharova, DA; Damera, G; Tliba, O; Amrani, Y; Panettieri, RA Jr; Krymskaya, VP (2009). "Signal transducer and activator of transcription 3 is required for abnormal proliferation and survival of TSC2-deficient cells: relevance to pulmonary lymphangioleiomyomatosis". Mol Pharmacol. 76 (4): 766–777. doi:10.1124/mol.109.057042.
- ↑ Parkhitko, A; Myachina, F; Morrison, TA; Hindi, KM; Auricchio, N; Karbowniczek, M; Wu, JJ; Finkel, T; Kwiatkowski, DJ; Yu, JJ; Henske, EP (2011). "Tumorigenesis in tuberous sclerosis complex is autophagy and p62/sequestosome 1 (SQSTM1)-dependent". Proc Natl Acad Sci U S A. 108 (30): 12455–12460. doi:10.1073/pnas.1104361108.
- ↑ Henske, EP (2003). "Metastasis of benign tumor cells in tuberous sclerosis complex". Genes Chromosomes Cancer. 38 (4): 376–381. doi:10.1002/gcc.10252. PMID 14566858.
- 1 2 3 Henske, EP; McCormack, FX (2012). "Lymphangioleiomyomatosis - a wolf in sheep's clothing". J Clin Invest. 122 (11): 3807–3816. doi:10.1172/jci58709.
- ↑ Zhe, X; Yang, Y; Jakkaraju, S; Schuger, L (2003). "Tissue inhibitor of metalloproteinase-3 downregulation in lymphangioleiomyomatosis: potential consequence of abnormal serum response factor expression". Am J Respir Cell Mol Biol. 28 (4): 504–511. doi:10.1165/rcmb.2002-0124oc.
- ↑ Chang, WY; Clements, D; Johnson, SR (2010). "Effect of doxycycline on proliferation, MMP production, and adhesion in LAM-related cells". Am J Physiol Lung Cell Mol Physiol. 299 (3): L393-400. doi:10.1152/ajplung.00437.2009.
- ↑ Glassberg, MK; Elliot, SJ; Fritz, J; Catanuto, P; Potier, M; Donahue, R; Stetler-Stevenson, W; Karl, M (2008). "Activation of the estrogen receptor contributes to the progression of pulmonary lymphangioleiomyomatosis via matrix metalloproteinase-induced cell invasiveness". J Clin Endocrinol Metab. 93 (5): 1625–1633. doi:10.1210/jc.2007-1283.
- ↑ Lee, PS; Tsang, SW; Moses, MA; Trayes-Gibson, Z; Hsiao, LL; Jensen, R; Squillace, R; Kwiatkowski, DJ (2010). "Rapamycin-insensitive up-regulation of MMP2 and other genes in tuberous sclerosis complex 2-deficient lymphangioleiomyomatosis-like cells". Am J Respir Cell Mol Biol. 42 (2): 227–234. doi:10.1165/rcmb.2009-0050oc.
- ↑ Moir, LM; Ng, HY; Poniris, MH; Santa, T; Burgess, JK; Oliver, BG; Krymskaya, VP; Black, JL (2011). "Doxycycline inhibits matrix metalloproteinase-2 secretion from TSC2-null mouse embryonic fibroblasts and lymphangioleiomyomatosis cells". Br J Pharmacol. 164 (1): 83–92. doi:10.1111/j.1476-5381.2011.01344.x.
- 1 2 Kumasaka, T; Seyama, K; Mitani, K; Souma, S; Kashiwagi, S; Hebisawa, A; Sato, T; Kubo, H; Gomi, K; Shibuya, K; Fukuchi, Y; Suda, K (2005). "Lymphangiogenesis-mediated shedding of LAM cell clusters as a mechanism for dissemination in lymphangioleiomyomatosis". Am J Surg Pathol. 29 (10): 1356–1366. doi:10.1097/01.pas.0000172192.25295.45.
- ↑ Seyama, K; Mitani, K; Kumasaka, T; Gupta, SK; Oommen, S; Liu, G; Ryu, JH; Vlahakis, NE (2010). "Lymphangioleiomyoma cells and lymphatic endothelial cells: expression of VEGFR-3 in lymphangioleiomyoma cell clusters". Am J Pathol. 176 (4): 2051–2052. doi:10.2353/ajpath.2010.091239.
- ↑ Taveira-DaSilva, AM; Hathaway, O; Stylianou, M; Moss, J (2011). "Changes in lung function and chylous effusions in patients with lymphangioleiomyomatosis treated with sirolimus". Ann Intern Med. 154 (12): 797–805. doi:10.7326/0003-4819-154-12-201106210-00007.
- ↑ Glasgow, CG; El-Chemaly, S; Moss, J (2012). "Lymphatics in lymphangioleiomyomatosis and idiopathic pulmonary fibrosis". Eur Respir Rev. 21 (125): 196–206. doi:10.1183/09059180.00009311.
- ↑ Glasgow, CG; Taveira-DaSilva, A; Pacheco-Rodriguez, G; Steagall, WK; Tsukada, K; Cai, X; El-Chemaly, S; Moss, J (2009). "Involvement of lymphatics in lymphangioleiomyomatosis". Lymphat Res Biol. 7 (4): 221–228. doi:10.1089/lrb.2009.0017.
- ↑ Glasgow, CG; Taveira-Dasilva, AM; Darling, TN; Moss, J (2008). "Lymphatic involvement in lymphangioleiomyomatosis". Ann N Y Acad Sci. 1131: 206–214. doi:10.1196/annals.1413.018.
- ↑ Seyama, K; Kumasaka, T; Souma, S; Sato, T; Kurihara, M; Mitani, K; Tominaga, S; Fukuchi, Y (2006). "Vascular endothelial growth factor-D is increased in serum of patients with lymphangioleiomyomatosis". Lymphat Res Biol. 4 (3): 143–152. doi:10.1089/lrb.2006.4.143.
- 1 2 Young, LR; Vandyke R, Gulleman, PM; Inoue, Y; Brown, KK; Schmidt, LS; Linehan, WM; Hajjar, F; Kinder, BW; Trapnell, BC; Bissler, JJ; Franz, DN; McCormack, FX (2010). "Serum vascular endothelial growth factor-D prospectively distinguishes lymphangioleiomyomatosis from other diseases". Chest. 138: 674–681. doi:10.1378/chest.10-0573. PMC 2940071
. PMID 20382711. - 1 2 Young, LR; Lee, HS; Moss, J; Singer, LG; Strange, C; Nakata, K; Baker, AF; Chapman, JT; Brantly, ML; Stocks, JM; Brown, KK; Lynch III, JP; Goldberg, HJ; Downey, GP; Swigris, JJ; Taveira-DaSilva, A; Krischer, JP; Trapnell, BC; McCormack, FX (2013). "Serum VEGF-D concentration as a biomarker of lymphangioleiomyomatosis severity and treatment response: a prospective analysis of the Multicenter International Lymphangioleiomyomatosis Efficacy of Sirolimus (MILES) trial". Lancet Resp Med. 1: 445–452. doi:10.1016/s2213-2600(13)70090-0.
- ↑ Achen, MG; Jeltsch, M; Kukk, E; Mäkinen, T; Vitali, A; Wilks, AF; Alitalo, K; Stacker, SA (1998). "Vascular endothelial growth factor D (VEGF-D) is a ligand for the tyrosine kinases VEGF receptor 2 (Flk1) and VEGF receptor 3 (Flt4)". Proc Natl Acad Sci U S A. 95 (2): 548–553. doi:10.1073/pnas.95.2.548. PMC 18457
. PMID 9435229. - 1 2 Karnezis, T; Shayan, R; Caesar, C; Roufail, S; Harris, NC; Ardipradja, K; Zhang, YF; Williams, SP; Farnsworth, RH; Chai, MG; Rupasinghe, TW; Tull, DL; Baldwin, ME; Sloan, EK; Fox, SB; Achen, MG; Stacker, SA (2012). "VEGF-D promotes tumor metastasis by regulating prostaglandins produced by the collecting lymphatic endothelium". Cancer Cell. 21 (2): 181–195. doi:10.1016/j.ccr.2011.12.026.
- 1 2 3 Stacker, SA; Williams, SP; Karnezis, T; Shayan, R; Fox, SB; Achen, MG (2014). "Lymphangiogenesis and lymphatic vessel remodelling in cancer". Nat Rev Cancer. 14 (3): 159–172. doi:10.1038/nrc3677.
- ↑ Achen, MG; Williams, RA; Baldwin, ME; Lai, P; Roufail, S; Alitalo, K; Stacker, SA (2002). "The angiogenic and lymphangiogenic factor vascular endothelial growth factor-D exhibits a paracrine mode of action in cancer". Growth Factors. 20 (2): 99–107. doi:10.1080/08977190290031969.
- ↑ Davis, JM; Hyjek, E; Husain, AN; Shen, L; Jones, J; Schuger, LA (2013). "Lymphatic endothelial differentiation in pulmonary lymphangioleiomyomatosis cells". J Histochem Cytochem. 61 (8): 580–590. doi:10.1369/0022155413489311.
- ↑ Baldwin, ME; Catimel, B; Nice, EC; Roufail, S; Hall, NE; Stenvers, KL; Karkkainen, MJ; Alitalo, K; Stacker, SA; Achen, MG (2001). "The specificity of receptor binding by vascular endothelial growth factor-d is different in mouse and man". J Biol Chem. 276 (22): 19166–19171. doi:10.1074/jbc.m100097200.
- ↑ Baldwin, ME; Halford, MM; Roufail, S; Williams, RA; Hibbs, ML; Grail, D; Kubo, H; Stacker, SA; Achen, MG (2005). "Vascular endothelial growth factor D is dispensable for development of the lymphatic system". Mol Cell Biol. 25 (6): 2441–2449. doi:10.1128/mcb.25.6.2441-2449.2005.
- 1 2 Crino, PB; Nathanson, KL; Henske, EP (2006). "The tuberous sclerosis complex". N Engl J Med. 355 (13): 1345–1356. doi:10.1056/nejmra055323.
- 1 2 McCormack, FX; Travis, WD; Colby, TV; Henske, EP; Moss, J (2012). "Lymphangioleiomyomatosis: calling it what it is: a low-grade, destructive, metastasizing neoplasm". Am J Respir Crit Care Med. 186 (12): 1210–1212. doi:10.1164/rccm.201205-0848oe.
- ↑ van Slegtenhorst, M; de Hoogt, R; Hermans, C; Nellist, M; Janssen, B; Verhoef, S; Lindhout, D; van den Ouweland, A; Halley, D; Young, J; Burley, M; Jeremiah, S; Woodward, K; Nahmias, J; Fox, M; Ekong, R; Osborne, J; Wolfe, J; Povey, S; Snell, RG; Cheadle, JP; Jones, AC; Tachataki, M; Ravine, D; Sampson, JR; Reeve, MP; Richardson, P; Wilmer, F; Munro, C; Hawkins, TL; Sepp, T; Ali, JB; Ward, S; Green, AJ; Yates, JR; Kwiatkowska, J; Henske, EP; Short, MP; Haines, JH; Jozwiak, S; Kwiatkowski, DJ (1997). "Identification of the tuberous sclerosis gene TSC1 on chromosome 9q34". Science. 277: 805–808. doi:10.1126/science.277.5327.805. PMID 9242607.
- 1 2 Strizheva, GD; Carsillo, T; Kruger, WD; Sullivan, EJ; Ryu, JH; Henske, EP (2001). "The spectrum of mutations in TSC1 and TSC2 in women with tuberous sclerosis and lymphangiomyomatosis". Am J Respir Crit Care Med. 163: 253–258. doi:10.1164/ajrccm.163.1.2005004.
- 1 2 Badri, KR; Gao, L; Hyjek, E; Schuger, N; Schuger, L; Qin, W; Chekaluk, Y; Kwiatkowski, DJ; Zhe, X (2013). "Exonic mutations of TSC2/TSC1 are common but not seen in all sporadic pulmonary lymphangioleiomyomatosis". Am J Respir Crit Care Med. 187: 663–665. doi:10.1164/ajrccm.187.6.663.
- ↑ Knudson, AG, Jr (1971). "Mutation and cancer: statistical study of retinoblastoma". Proc Natl Acad Sci U S A. 68: 820–823. doi:10.1073/pnas.68.4.820. PMC 389051
. PMID 5279523. - ↑ Knudson, AG (2001). "Two genetic hits (more or less) to cancer". Nat Rev Cancer. 1: 157–162.
- ↑ Henske, EP; Scheithauer, BW; Short, MP; Wollmann, R; Nahmias, J; Hornigold, N; van Slegtenhorst, M; Welsh, CT; Kwiatkowski, DJ (1996). "Allelic loss is frequent in tuberous sclerosis kidney lesions but rare in brain lesions". Am J Hum Genet. 59: 400–406.
- ↑ Yu, J; Astrinidis, A; Henske, EP (2001). "Chromosome 16 loss of heterozygosity in tuberous sclerosis and sporadic lymphangiomyomatosis". Am J Respir Crit Care Med. 164: 1537–1540. doi:10.1164/ajrccm.164.8.2104095.
- ↑ Crooks, DM; Pacheco-Rodriguez, G; DeCastro, RM; McCoy, JP; Wang, JA; Kumaki, F; Darling, T; Moss, J (2004). "Molecular and genetic analysis of disseminated neoplastic cells in lymphangioleiomyomatosis". Proc Natl Acad Sci U S A. 101: 17462–17467. doi:10.1073/pnas.0407971101.
- ↑ Cai, X; Pacheco-Rodriguez, G; Fan, QY; Haughey, M; Samsel, L; El-Chemaly, S; Wu, HP; McCoy, JP; Steagall, WK; Lin, JP; Darling, TN; Moss, J (2010). "Phenotypic characterization of disseminated cells with TSC2 loss of heterozygosity in patients with lymphangioleiomyomatosis". Am J Respir Crit Care Med. 182: 1410–1418. doi:10.1164/rccm.201003-0489oc.
- ↑ Karbowniczek, M; Astrinidis, A; Balsara, BR; Testa, JR; Lium, JH; Colby, TV; McCormack, FX; Henske, EP (2003). "Recurrent lymphangiomyomatosis after transplantation: genetic analyses reveal a metastatic mechanism". Am J Respir Crit Care Med. 167: 976–982. doi:10.1164/rccm.200208-969oc.
- 1 2 Corrin, B; Leibow, AA; Friedman, PJ (1975). "Pulmonary lymphangiomyomatosis: A review". Am J Pathol. 79: 348–382.
- ↑ Carrington, CB; Cugell, DW; Gaensler, EA; Marks, A; Redding, RA; Schaaf, JT; Tomasin, A (1977). "Lymphangioleiomyomatosis. Physiologic-pathologic-radiologic correlations". Am Rev Respir Dis. 116: 977–995.
- 1 2 3 Matsumoto, Y; Horiba, K; Usuki, J; Chu, SC; Ferrans, VJ; Moss, J (1999). "Markers of cell proliferation and expression of melanosomal antigen in lymphangioleiomyomatosis". Am J Respir Cell Mol Biol. 21: 327–336. doi:10.1165/ajrcmb.21.3.3693.
- ↑ Hoon, V; Thung, SN; Kaneko, M; Unger, PD (1994). "HMB-45 reactivity in renal angiomyolipoma and lymphangioleiomyomatosis". Arch Pathol Lab Med. 118: 732–734.
- ↑ McCarty, KS Jr; Mossler, JA; McLelland, R; Sieker, HO (1980). "Pulmonary lymphangiomyomatosis responsive to progesterone". N Engl J Med. 303: 1461–1465. doi:10.1056/nejm198012183032506.
- ↑ Colley, MH; Geppert, E; Franklin, WA (1989). "Immunohistochemical detection of steroid receptors in a case of pulmonary lymphangioleiomyomatosis". Am J Surg Pathol. 13: 803–807. doi:10.1097/00000478-198909000-00011.
- ↑ Gao, L; Yue, MM; Davis, J; Hyjek, E; Schuger, L (2014). "In pulmonary lymphangioleiomyomatosis expression of progesterone receptor is frequently higher than that of estrogen receptor". Virchows Arch. 464 (4): 495–503. doi:10.1007/s00428-014-1559-9.
- ↑ Berger, U; Khaghani, A; Pomerance, A; Yacoub, MH; Coombes, RC (1990). "Pulmonary lymphangioleiomyomatosis and steroid receptors. An immunocytochemical study". Am J Clin Pathol. 93: 609-314.
- ↑ Logginidou, H; Ao, X; Henske, EP (2000). "Frequent estrogen and progesterone receptor immunoreactivity in renal angiomyolipomas from women with pulmonary lymphangioleiomyomatosis". Chest. 117: 25–30. doi:10.1378/chest.117.1.25.
- ↑ Henske, EP; Ao, X; Short, MP; Greenberg, R; Neumann, HP; Kwiatkowski, DJ; Russo, I (1998). "Frequent progesterone receptor immunoreactivity in tuberous sclerosis–associated renal angiomyolipomas". Mod Pathol. 11: 665–668.
- ↑ Matsui, K; Riemenschneider, W; Hilbert, SL; Yu, ZX; Takeda, K; Travis, WD; Moss, J; Ferrans, VJ (2000). "Hyperplasia of type II pneumocytes in pulmonary lymphangioleiomyomatosis". Arch Pathol Lab Med. 124: 1642–1648.
- ↑ Muller, NL; Chiles, C; Kullnig, P (1990). "Pulmonary lymphangiomyomatosis: Correlation of CT with radiographic and functional findings". Radiology. 175: 335–339. doi:10.1148/radiology.175.2.2326457.
- ↑ Popper, HH; Juettner-Smolle, FM; Pongratz, MG (1991). "Micronodular hyperplasia of type II pneumocytes—A new lung lesion associated with tuberous sclerosis". Histopathology. 18: 347–354. doi:10.1111/j.1365-2559.1991.tb00856.x.
- ↑ Lantuejoul, S; Ferretti, G; Negoescu, A; Parent, B; Brambilla, E (1997). "Multifocal alveolar hyperplasia associated with lymphangioleiomyomatosis in tuberous sclerosis". Histopathology. 30: 570–575. doi:10.1046/j.1365-2559.1997.4600811.x.
- ↑ Muir, TE; Leslie, KO; Popper, H; Kitaichi, M; Gagné, E; Emelin, JK; Vinters, HV; Colby, TV (1998). "Micronodular pneumocyte hyperplasia". Am J Surg Pathol. 22: 465–472. doi:10.1097/00000478-199804000-00012. PMID 9537475.
- ↑ Cancellieri, A; Poletti, V; Corrin, B (2002). "Respiratory failure due to micronodular type ii pneumocyte hyperplasia". Histopathology. 41: 263–265. doi:10.1046/j.1365-2559.2002.01433.x.
- ↑ Gupta, N; Vassallo, R; Wikenheiser-Brokamp, KA; McCormack, FX (2015). "Diffuse Cystic Lung Disease. Part I". Am J Respir Crit Care Med. 191 (12): 1354–1366. doi:10.1164/rccm.201411-2094ci. PMID 25906089.
- ↑ Gupta, N; Vassallo, R; Wikenheiser-Brokamp, KA; McCormack, FX (2015). "Diffuse Cystic Lung Disease. Part II". Am J Respir Crit Care Med. 192 (1): 17–29. doi:10.1164/rccm.201411-2096ci. PMID 25906201.
- ↑ Jiang, X; Kenerson, H; Aicher, L; Miyaoka, R; Eary, J; Bissler, J; Yeung, RS (2008). "The tuberous sclerosis complex regulates trafficking of glucose transporters and glucose uptake". Am J Pathol. 172: 1748–1756. doi:10.2353/ajpath.2008.070958.
- ↑ Young, LR; Franz, DN; Nagarkatte, P; Fletcher, CD; Wikenheiser-Brokamp, KA; Galsky, MD; Corbridge, TC; Lam, AP; Gelfand, MJ; McCormack, FX (2009). "Utility of [18F]2-fluoro-2-deoxyglucose-PET in sporadic and tuberous sclerosis-associated lymphangioleiomyomatosis". Chest. 136: 926–933. doi:10.1378/chest.09-0336.
- 1 2 Johnson, SR; Tattersfield, AE (1998). "Pregnancy in lymphangioleiomyomatosis". Am J Respir Crit Care Med. 157: A807.
- ↑ Moss, J; DeCastro, R; Patronas, NJ; DaSilva, A (2001). "Meningiomas in lymphangioleiomyomatosis". J Am Med Assoc. 286: 1879–1881. doi:10.1001/jama.286.15.1879.
- 1 2 Taveira-DaSilva, AM; Hedin, C; Stylianou, MP; Travis, WD; Matsui, K; Ferrans, VJ; Moss, J (2001). "Reversible airflow obstruction, proliferation of abnormal smooth muscle cells, and impairment of gas exchange as predictors of outcome in lymphangioleiomyomatosis". Am J Respir Crit Care Med. 164: 1072–1076. doi:10.1164/ajrccm.164.6.2102125.
- ↑ Yen, KT; Putzke, JD; Staats, BA; Burger, CD (2005). "The prevalence of acute response to bronchodilator in pulmonary lymphangioleiomyomatosis". Respirology. 10 (5): 643–648. doi:10.1111/j.1440-1843.2005.00762.x. PMID 16268919.
- ↑ Burger, CD; Hyatt, RE; Staats, BA (1991). "Pulmonary mechanics in lymphangioleiomyomatosis". Am Rev Respir Dis. 143 (5 Pt 1): 1030–1033. doi:10.1164/ajrccm/143.5_Pt_1.1030. PMID 2024811.
- ↑ Taveira-DaSilva, AM; Stylianou, MP; Hedin, CJ; Kristof, AS; Avila, NA; Rabel, A; Travis, WD; Moss, J (2003). "Maximal oxygen uptake and severity of disease in lymphangioleiomyomatosis". Am J Respir Crit Care Med. 168: 1427–1431. doi:10.1164/rccm.200206-593oc.
- 1 2 Taveira-DaSilva, AM; Hathaway, OM; Sachdev, V; Shizukuda, Y; Birdsall, CW; Moss, J (2007). "Pulmonary artery pressure in lymphangioleiomyomatosis: An echocardiographic study". Chest. 132: 1573–1578. doi:10.1378/chest.07-1205.
- ↑ Zafar, MA; McCormack, FX; Rahman, S; Tencza, C; Wikenheiser-Brokamp, KA; Young, LR; Shizukuda, Y; Elwing, JM (2013). "Pulmonary vascular shunts in exercise-intolerant patients with lymphangioleiomyomatosis". Am J Respir Crit Care Med. 188: 1167–1170. doi:10.1164/rccm.201304-0618le.
- ↑ Gupta, N; Meraj, R; Tanase, D; James, LE; Seyama, K; Lynch, DA; Akira, M; Meyer, CA; Ruoss, SJ; Burger, CD; Young, LR; Almoosa, KF; Veeraraghavan, S; Barker, AF; Lee, AS; Dilling, DF; Inoue, Y; Cudzilo, CJ; Zafar, MA; McCormack, FX (2015). "Accuracy of chest high-resolution computed tomography in diagnosing diffuse cystic lung diseases". Eur Respir J. 46 (4): 1196–1199. doi:10.1183/13993003.00570-2015. PMID 26160866.
- ↑ Johnson, SR; Cordier, JF; Lazor, R; Cottin, V; Costabel, U; Harari, S; Reynaud-Gaubert, M; Boehler, A; Brauner, M; Popper, H; Bonetti, F; Kingswood, C (2010). "European Respiratory Society guidelines for the diagnosis and management of lymphangioleiomyomatosis". Eur Respir J. 35: 14–26. doi:10.1183/09031936.00076209. PMID 20044458.
- ↑ Ye, L; Jin, M; Bai, C (2010). "Clinical analysis of patients with pulmonary lymphangioleiomyomatosis (PLAM) in mainland China". Respir Med. 104 (10): 1521–1526. doi:10.1016/j.rmed.2010.05.003. PMID 20627505.
- ↑ Torre, O; Harari, S (2010). "The diagnosis of cystic lung diseases: a role for bronchoalveolar lavage and transbronchial biopsy?". Respir Med. 104 (Suppl 1): S81-85. doi:10.1016/j.rmed.2010.03.021. PMID 20430602.
- ↑ Kumasaka, T; Seyama, K; Mitani, K; Souma, S; Kashiwagi, S; Hebisawa, A; Sato, T; Kubo, H; Gomi, K; Shibuya, K; Fukuchi, Y; Suda, K (2005). "Lymphangiogenesis-mediated shedding of LAM cell clusters as a mechanism for dissemination in lymphangioleiomyomatosis". Am J Surg Pathol. 29: 1356–1366. doi:10.1097/01.pas.0000172192.25295.45.
- ↑ Mitani, K; Kumasaka, T; Takemura, H; Hayashi, T; Gunji, Y; Kunogi, M; Akiyoshi, T; Takahashi, K; Suda, K; Seyama, K (2009). "Cytologic, immunocytochemical and ultrastructural characterization of lymphangioleiomyomatosis cell clusters in chylous effusions of patients with lymphangioleiomyomatosis". Acta Cytol. 53: 402–409. doi:10.1159/000325340.
- ↑ Ohara, T; Oto, T; Miyoshi, K; Tao, H; Yamane, M; Toyooka, S; Okazaki, M; Date, H; Sano, Y (2008). "Sirolimus ameliorated post lung transplant chylothorax in lymphangioleiomyomatosis". Ann Thorac Surg. 86: e7-8. doi:10.1016/j.athoracsur.2008.07.062.
- ↑ Yamauchi, M; Nakahara, H; Uyama, K; Tsujimoto, A; Tamai, M; Aozasa, K (2000). "Cytologic finding of chyloascites in lymphangioleiomyomatosis. A case report". Acta Cytol. 44: 1081–1084. doi:10.1159/000328602.
- 1 2 Taveira-DaSilva, AM; Hathaway, O; Stylianou, M; Moss, J (2011). "Changes in lung function and chylous effusions in patients with lymphangioleiomyomatosis treated with sirolimus". Ann Intern Med. 154: 797–805. doi:10.7326/0003-4819-154-12-201106210-00007.
- ↑ Itkin, M (2014). "Lymphatic intervention is a new frontier of IR". J Vasc Interv Radiol. 25 (9): 1404–1405. doi:10.1016/j.jvir.2014.06.004.
- ↑ Ryu, JH; Doerr, CH; Fisher, SD; Sahn, SA (2003). "Chylothorax in lymphangioleiomyomatosis". Chest. 123 (2): 623–627. doi:10.1378/chest.123.2.623.
- ↑ De Luca, S; Terrone, C; Rossetti, SR (1999). "Management of renal angiomyolipoma: a report of 53 cases". BJU Int. 83 (3): 215–218. doi:10.1046/j.1464-410x.1999.00932.x.
- ↑ Bissler, JJ; Kingswood, JC (2004). "Renal angiomyolipomata". Kidney Int. 66 (3): 924–934. doi:10.1111/j.1523-1755.2004.00838.x.
- ↑ Bissler, JJ; Kingswood, JC; Radzikowska, E; Zonnenberg, BA; Frost, M; Belousova, E; Sauter, M; Nonomura, N; Brakemeier, S; de Vries, PJ; Whittemore, VH; Chen, D; Sahmoud, T; Shah, G; Lincy, J; Lebwohl, D; Budde, K (2013). "Everolimus for angiomyolipoma associated with tuberous sclerosis complex or sporadic lymphangioleiomyomatosis (EXIST-2): a multicentre, randomised, double-blind, placebo-controlled trial". Lancet. 381 (9869): 817–824. doi:10.1016/s0140-6736(12)61767-x.
- ↑ Shen, A; Iseman, MD; Waldron, JA; King, TE (1987). "Exacerbation of pulmonary lymphangioleiomyomatosis by exogenous estrogens". Chest. 91 (5): 782–785. doi:10.1378/chest.91.5.782.
- ↑ Goldberg, HJ; Harari, S; Cottin, V; Rosas, IO; Peters, E; Biswal, S; Cheng, Y; Khindri, S; Kovarik, JM; Ma, S; McCormack, FX; Henske, EP (2015). "Everolimus for the treatment of lymphangioleiomyomatosis: a phase II study". Eur Respir J. 46 (3): 783–794. doi:10.1183/09031936.00210714.
- ↑ Chang, WY; Cane, JL; Kumaran, M; Lewis, S; Tattersfield, AE; Johnson, SR (2014). "A 2-year randomised placebo-controlled trial of doxycycline for lymphangioleiomyomatosis". Eur Respir J. 43: 1114–1123. doi:10.1183/09031936.00167413.
- ↑ Hughes, E; Hodder, RV (1987). "Pulmonary lymphangiomyomatosis complicating pregnancy. A case report". J Reprod Med. 32 (7): 553–557.
- ↑ Yockey, CC; Riepe, RE; Ryan, K (1986). "Pulmonary lymphangioleiomyomatosis complicated by pregnancy". Kans Med. 87 (10): 277–278, 293.
- ↑ Sleiman, C; Mal, H; Jebrak, G; Darne, C; Meeus, E; Dubois, F; Luisetti, M; Fournier, M; Pariente, R; Andreassian, B (1992). "Pulmonary lymphangiomyomatosis treated by single lung transplantation". Am Rev Respir Dis. 145 (4 Pt 1): 964–966. doi:10.1164/ajrccm/145.4_Pt_1.964. PMID 1554228.
- ↑ Kerr, LA; Blute, ML; Ryu, JH; Swensen, SJ; Malek, RS (1993). "Renal angiomyolipoma in association with pulmonary lymphangioleiomyomatosis: forme fruste of tuberous sclerosis?". Urology. 41 (5): 440–444. doi:10.1016/0090-4295(93)90504-4. PMID 8488612.
- ↑ Tazelaar, HD; Kerr, D; Yousem, SA; Saldana, MJ; Langston, C; Colby, TV (1993). "Diffuse pulmonary lymphangiomatosis". Hum Pathol. 24 (12): 1313–1322. doi:10.1016/0046-8177(93)90265-i. PMID 8276379.
- ↑ Taveira-DaSilva, AM; Burstein, D; Hathaway, OM; Fontana, JR; Gochuico, BR; Avila, NA; Moss, J (2009). "Pneumothorax after air travel in lymphangioleiomyomatosis, idiopathic pulmonary fibrosis, and sarcoidosis". Chest. 136 (3): 665–670. doi:10.1378/chest.08-3034. PMID 19318672.
- ↑ El-Hashemite, N; Walker, V; Zhang, H; Kwiatkowski, D (2003). "Loss of Tsc1 or Tsc2 induces vascular endothelial growth factor production through mammalian target of rapamycin". Cancer Res. 63 (17): 5173–5177.
- ↑ de la Fuente, J; Páramo, C; Román, F; Pérez, R; Masa, C; de Letona, JM (1993). "Lymphangioleiomyomatosis: unsuccessful treatment with luteinizing-hormone-releasing hormone analogues". Eur J Med. 2 (6): 377–378.
- ↑ Zhe, X; Yang, Y; Schuger, L (2005). "Imbalanced plasminogen system in lymphangioleiomyomatosis: potential role of serum response factor". Am J Respir Cell Mol Biol. 32 (1): 28–34. doi:10.1165/rcmb.2004-0289oc.
- ↑ Rossi, GA; Balbi, B; Oddera, S; Lantero, S; Ravazzoni, C (1991). "Response to treatment with an analog of the luteinizing-hormone-releasing hormone in a patient with pulmonary lymphangioleiomyomatosis.". Am Rev Respir Dis. 143 (1): 174–176. doi:10.1164/ajrccm/143.1.174.
- ↑ Schiavina, M; Contini, P; Fabiani, A; Cinelli, D; Di Scioscio, V; Zompatori, M; Campidelli, C; Pileri, SA (2007). "Efficacy of hormonal manipulation in lymphangioleiomyomatosis. A 20-year-experience in 36 patients". Sarcoidosis Vasc Diffuse Lung Dis. 24 (1): 39–50.
- ↑ Harknett, EC; Chang, WY; Byrnes, S; Johnson, J; Lazor, R; Cohen, MM; Gray, B; Geiling, S; Telford, H; Tattersfield, AE; Hubbard, RB; Johnson, SR (2011). "Regional and national variability suggests underestimation of prevalence of lymphangioleiomyomatosis". Q J Med. 104: 971–979. doi:10.1093/qjmed/hcr116.
- ↑ Wahedna, I; Cooper, S; Williams, J; Paterson, IC; Britton, JR; Tattersfield, AE (1994). "Relation of pulmonary lymphangio-leiomyomatosis to use of the oral contraceptive pill and fertility in the UK: a national case control study". Thorax. 49 (9): 910–914. doi:10.1136/thx.49.9.910.
- ↑ Oberstein, EM; Fleming, LE; Gómez-Marin, O; Glassberg, MK (2003). "Pulmonary lymphangioleiomyomatosis (LAM): examining oral contraceptive pills and the onset of disease". J Womens Health (Larchmt). 12 (1): 81–85. doi:10.1089/154099903321154176.
External links
- Australia: LAM Australia Research Alliance
- Austria: LAM Austria
- Brazil: ASSOCIAÇÃO LAM DO BRASIL
- Canada: LAM Canada
- China: LAM China
- France: Association FLAM
- Germany: LAM Selbsthilfe Deutschland
- Israel: Israel LAM Organization
- Italy: LAM Italia
- Japan: J-LAM
- Mexico: LAM Mexico
- New Zealand: LAM Charitable Trust
- The Netherlands: LAM-Nederland
- Romania: OSC Agency, LAM Romania
- Spain: AELAM
- Sweden: LAM Academy
- United Kingdom: LAM Action
- United States: The LAM Foundation
- American Thoracic Society (US): Patient Information Series – Lymphangioleiomyomatosis
