Transverse myelitis
| Transverse myelitis | |
|---|---|
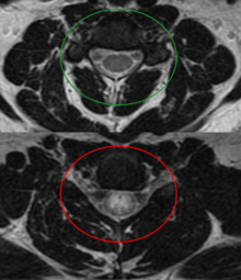
![]() | |
| An MRI showing a transverse myelitis lesion (the lesion is the lighter, oval shape at center-right), this MRI was taken 3 months after patient recovered | |
| Classification and external resources | |
| Specialty | Neurology |
| ICD-10 | G37.3 |
| ICD-9-CM | 323.82, 341.2 |
| DiseasesDB | 13265 |
| MeSH | D009188 |
Transverse myelitis is a neurological condition in which the spinal cord is inflamed. The inflammation damages nerve fibers, and causes them to lose their myelin coating leading to decreased electrical conductivity in the central nervous system. Transverse implies that the inflammation extends across the entire width of the spinal cord.[1] Partial transverse myelitis and partial myelitis are terms used to define inflammation of the spinal cord that affects part of the width of the spinal cord.[1]
Signs and symptoms
There are disturbances in sensory nerves and motor nerves and dysfunction of the autonomic nervous system at the level of the lesion or below. Therefore, the signs and symptoms depend on the area of spine involved:[2]
- Cervical: If the upper cervical cord is involved, all four limbs may be involved and there is risk of respiratory paralysis (cervical nerve segments C3, 4, 5 innervate the abdominal diaphragm). Lesions of the lower cervical (C5–T1) region will cause a combination of upper and lower motor neuron signs in the upper limbs, and exclusively upper motor neuron signs in the lower limbs. Cervical lesions account for about 20% of cases.[2]
- Thoracic: A lesion of the thoracic spinal cord (T1–12) will produce upper motor neuron signs in the lower limbs, presenting as a spastic diplegia. This is the most common location of the lesion, and therefore most individuals will have weakness of the lower limbs.[3]
- Lumbar: A lesion of the lower part of the spinal cord (L1–S5) often produces a combination of upper and lower motor neuron signs in the lower limbs. Lumbar lesions account for about 10% of cases.[2]
Symptoms include weakness and numbness of the limbs, deficits in sensation and motor skills, dysfunctional sphincter activities, and dysfunction of the autonomic nervous system. Symptoms typically develop over the course of hours or days and may progress after weeks.[1] Sensory symptoms of transverse myelitis may include a sensation of pins and needles traveling up from the feet.[1] Back pain can occur at the level of the inflamed segment of the spinal cord.[1] The degree and type of sensory loss will depend upon the extent of the involvement of the various sensory tracts, but there is often a "sensory level" (at the sensory segmental level of the spinal cord below which sensation to pain or light touch is impaired). Motor weakness occurs due to involvement of the pyramidal tracts and mainly affects the muscles that flex the legs and extend the arms.[1] Involvement of the autonomic nervous system is common and frequently leads to impaired function of the bladder and bowel and can also lead to episodes of high blood pressure.[1]
Causes


Transverse myelitis is a heterogeneous condition, that is, there are several identified causes. Sometimes the term Transverse myelitis spectrum disorders is used.[4] It is rare for the condition to have no identifiable cause (called "idiopathic").[5]
When it appears along neuromyelitis optica, it is considered to be caused by NMO-IgG autoimmunity, and when it appears in multiple sclerosis cases, it is considered to be produced by the same underlying condition that produces the lesions. In some cases, the disease is presumed to be caused by viral infections such as cytomegalovirus (CMV) and has also been associated with spinal cord injuries, immune reactions, schistosomiasis and insufficient blood flow through spinal cord vessels. Acute myelitis accounts for 4 to 5 percent of all cases of neuroborreliosis.[6]
Transverse myelitis is associated with:
- Bacterial Infections - Mycoplasma pneumoniae, Lyme disease,[7] Bartonella henselae
- Viral Infections - herpes simplex, herpes zoster, cytomegalovirus, Epstein-Barr virus, HIV/AIDS.[8]
- Vaccinations. Rarely, transverse myelitis has been reported to develop several days to a few months after vaccination. Between 1970 and 2009 there were 37 reported cases worldwide of transverse myelitis developing soon after vaccination (e.g. against hepatitis B, measles-mumps-rubella, diphtheria-tetanus-pertussis and others).[9]
- Multiple sclerosis[8]
- Paraneoplastic syndromes[7]
- Vascular etiology[10]
Pathophysiology
This demyelination arises idiopathically following infections or due to multiple sclerosis. One major theory posits that immune-mediated inflammation is present as the result of exposure to a viral antigen. The diarrhea-causing bacteria Campylobacter jejuni is also a reported cause of transverse myelitis.[11] The lesions are inflammatory, and involve the spinal cord typically on both sides. With acute transverse myelitis, the onset is sudden and progresses rapidly in hours and days. The lesions can be present anywhere in the spinal cord, though they are usually restricted to only a small portion.
Longitudinally extensive transverse myelitis
A proposed special clinical presentation is the "longitudinally extensive transverse myelitis" (LETM) which is defined as a TM with a spinal cord lesion that extends over 3 or more vertebral segments.[12] The causes of LETM are also heterogeneous[13] and the presence of MOG auto-antibodies has been proposed as a biomarker for discrimination.[14]
Diagnosis
Diagnostic criteria
In 2002 the Transverse Myelitis Consortium Working Group proposed the following diagnostic criteria for idiopathic acute transverse myelitis:[15]
- Inclusion criteria
- Motor, sensory or autonomic dysfunction attributable to spinal cord
- Signs and symptoms on both sides of the body (not necessarily symmetrical)
- Clearly defined sensory level
- Signs of inflammation (pleocytosis of the cerebrospinal fluid, or elevated immunoglobulin G, or evidence of inflammation on gadolinium-enhanced (MRI) Magnetic resonance imaging)
- Peak of this condition can occur anytime between 4 hours to 21 days after onset
- Exclusion criteria
- Irradiation of the spine (e.g., radiotherapy) in the last 10 years
- Evidence of thrombosis of the anterior spinal artery
- Evidence of extra-axial compression on neuroimaging
- Evidence of arteriovenous malformation (abnormal flow voids on surface of spine)
- Evidence of connective tissue disease, e.g. sarcoidosis, Behçet's disease, Sjögren's syndrome, systemic lupus erythematosus or mixed connective tissue disease
- Evidence of optic neuritis (diagnostic of neuromyelitis optica
- Evidence of infection (syphilis, Lyme disease, Human immunodeficiency virus, Human T-lymphotropic virus 1, mycoplasma, Herpes simplex virus, Varicella-zoster virus, Epstein-Barr virus, cytomegalovirus, Human herpesvirus 6 or enteroviruses)
- Evidence of multiple sclerosis (abnormalities detected on MRI and presence of oligoclonal antibodies in cerebrospinal fluid (CSF))
Investigations
Individuals who develop transverse myelitis are typically transferred to a neurologist or neurosurgeon who can urgently investigate the patient in hospital. Before arranging this transfer, the physician should be certain that breathing is not affected, particularly in high spinal cord lesions. If there is any evidence of this, methods of respiratory assistance must be on hand before and during the transfer procedure. The patient should also be catheterized to test for and, if necessary, drain an over-distended bladder. A lumbar puncture can be performed after the MRI or at the time of CT myelography. Steroids are often given in high doses when symptoms begin with the hope that the degree of inflammation and swelling of the spinal cord will be lessened, but whether this is truly effective is still debated. Lyme disease serology is indicated in patients with transverse myelitis keeping in mind that dissociation in Lyme antibody titers between the blood and the CSF is possible.[16]
Differential diagnosis
The symptoms considered in the differential diagnosis of ATM are demyelination, infections, and possibly other types of inflammatory disorders.[17]
Treatment
Recovery from transverse myelitis is variable between individuals and also depends on the underlying cause. Some patients begin to recover between weeks 2 and 12 following onset and may continue to improve for up to 2 years. Other patients may never show signs of recovery.[18] However, if treated early, some patients experience complete or near complete recovery. Treatment options also vary according to the underlying cause and one treatment option in some cases is plasmapheresis.[19]
The prognosis for transverse myelitis depends if there is improvement in 3 to 6 months; complete recovery is not likely if no improvement occurs between this time. Incomplete recovery can still occur; however, aggressive physical therapy and rehabilitation will be very important. One-third of people with transverse myelitis experience full recovery, one-third experience fair recovery but have significant deficits such as spastic gait. The final 33% experience no recovery at all[8]
Epidemiology
According to at least one source the incidence of transverse myelitis is 4.6 in 1 million, affecting men and women equally. Transverse myelitis can occur at any age (particularly around age 10, age 20, and after age 40).[20]
History
The earliest reports describing the signs and symptoms of transverse myelitis were published in 1885 and 1910 by Bastian.[2] Suchett-Kaye first coined the term transverse myelitis in 1948.[2]
Etymology
The word is from Latin: myelitis transversa and the disorder's name is derived from Greek myelós referring to the "spinal cord", and the suffix -itis, which denotes inflammation.[21]
See also
References
- 1 2 3 4 5 6 7 West, TW (October 2013). "Transverse myelitis—a review of the presentation, diagnosis, and initial management". Discovery Medicine. 16 (88): 167–177. PMID 24099672.
- 1 2 3 4 5 Dale RC; Vincent A (19 January 2010). Inflammatory and Autoimmune Disorders of the Nervous System in Children. John Wiley & Sons. pp. 96–106. ISBN 978-1-898683-66-7.
- ↑ Alexander MA; Matthews DJ; Murphy KP (28 May 2015). Pediatric Rehabilitation, Fifth Edition: Principles and Practice. Demos Medical Publishing. pp. 523, 524. ISBN 978-1-62070-061-7.
- ↑ Pandit L (Mar–Apr 2009). "Transverse myelitis spectrum disorders". Neurol India. 57 (2): 126–33. doi:10.4103/0028-3886.51278. PMID 19439840.
- ↑ Greenberg BM, Frohman EM (February 2015). "Immune-mediated myelopathies". Continuum (Minneapolis, Minn). 21 (1): 121–32. doi:10.1212/01.CON.0000461088.63994.a2. PMID 25651221.
- ↑ Blanc F, Froelich S, Vuillemet F, et al. (November 2007). "[Acute myelitis and Lyme disease]". Rev. Neurol. (Paris) (in French). 163 (11): 1039–47. PMID 18033042.
- 1 2 Atlas, Scott W. (2009-01-01). Magnetic Resonance Imaging of the Brain and Spine. Lippincott Williams & Wilkins. ISBN 9780781769853.
- 1 2 3 "Transverse Myelitis Fact Sheet: National Institute of Neurological Disorders and Stroke (NINDS)". www.ninds.nih.gov. Retrieved 2015-08-06.
- ↑ Agmon-Levin, N; Kivity, S; Szyper-Kravitz, M; Shoenfeld, Y (November 2009). "Transverse myelitis and vaccines: a multi-analysis.". Lupus. 18 (13): 1198–204. doi:10.1177/0961203309345730. PMID 19880568.
- ↑ Schlossberg, David (2012-12-06). Infections of the Nervous System. Springer Science & Business Media. ISBN 9781461396987.
- ↑ Enteropathogens and Chronic Illness in Returning TravelersAllen G.P. Ross, M.D., Ph.D., et al. N Engl J Med 2013; 368:1817-1825May 9, 2013DOI: 10.1056/NEJMra1207777 http://www.nejm.org/doi/full/10.1056/NEJMra1207777
- ↑ Cuello JP, Romero J, de Ory F, de Andrés C "Longitudinally extensive varicella-zoster virus myelitis in a multiple sclerosis patient, Spine (Phila Pa 1976) 2013 Sep;38(20):E1282-4. doi: 10.1097/BRS.0b013e31829ecb98, PMID 23759816
- ↑ Pekcevik Y et al. Differentiating neuromyelitis optica from other causes of longitudinally extensive transverse myelitis on spinal magnetic resonance imaging. Mult Scler. 2015; doi:10.1177/1352458515591069 PMID 26209588
- ↑ Cobo-Calvo Á et al. Antibodies to myelin oligodendrocyte glycoprotein in aquaporin 4 antibody seronegative longitudinally extensive transverse myelitis: Clinical and prognostic implications. Mult Scler. 2015; doi:10.1177/1352458515591071 PMID 26209592
- ↑ "Proposed diagnostic criteria and nosology of acute transverse myelitis.". Neurology. Transverse Myelitis Consortium Working Group. 59 (4): 499–505. 27 August 2002. doi:10.1212/WNL.59.4.499. PMID 12236201.
- ↑ Walid MS, Ajjan M, Ulm AJ (2008). "Subacute transverse myelitis with Lyme profile dissociation". Ger Med Sci. 6: Doc04. PMC 2703261
. PMID 19675732. - ↑ Jacob, Anu; Weinshenker, Brian (2008-02-01). "An Approach to the Diagnosis of Acute Transverse Myelitis". Seminars in Neurology. 28 (1): 105–120. doi:10.1055/s-2007-1019132.
- ↑ About one-third of patients do not recover at all: These patients are often wheelchair-bound or bedridden, with marked dependence on others for basic functions of daily living. Transverse Myelitis Fact Sheet: National Institute of Neurological Disorders and Stroke (NINDS)
- ↑ Cohen, Jeffrey A.; Rudick, Richard A. (2011-10-20). Multiple Sclerosis Therapeutics. Cambridge University Press. p. 625. ISBN 9781139502375.
- ↑ Mumenthaler, Marco; Mattle, Heinrich (2011-01-01). Neurology. Thieme. ISBN 9781604061352.
- ↑ Chamberlin SL, Narins B, eds. (2005). The Gale Encyclopedia of Neurological Disorders. Detroit: Thomson Gale. pp. 1859–70. ISBN 0-7876-9150-X.
Further reading
- Frontera, Walter R.; Silver, Julie K.; Rizzo, Thomas D. (2008-01-01). Essentials of Physical Medicine and Rehabilitation: Musculoskeletal Disorders, Pain, and Rehabilitation. Elsevier Health Sciences. ISBN 1416040072.
- Cassell, Dana K.; Rose, Noel R. (2003-01-01). The Encyclopedia of Autoimmune Diseases. Infobase Publishing. ISBN 9781438120942.
