Lymphadenopathy

Lymphadenopathy
Neck lymphadenopathy associated with infectious mononucleosis
Classification and external resources
Specialty Infectious disease
ICD-10 I88, L04, R59.1
ICD-9-CM 289.1-289.3, 683, 785.6
DiseasesDB 22225
MedlinePlus 001301
eMedicine ped/1333
MeSH D008206

Lymphadenopathy or adenopathy is disease of the lymph nodes, in which they are abnormal in size, number, or consistency.[1] Lymphadenopathy of an inflammatory type (the most common type) is lymphadenitis,[2] producing swollen or enlarged lymph nodes. In clinical practice, the distinction between lymphadenopathy and lymphadenitis is rarely made and the words are usually treated as synonymous. Inflammation of the lymphatic vessels is known as lymphangitis.[3] Infectious lymphadenitides affecting lymph nodes in the neck are often called scrofula.

The term comes from the word lymph and a combination of the Greek words αδένας, adenas ("gland") and παθεία, patheia ("act of suffering" or "disease").

Lymphadenopathy is a common and nonspecific sign. Common causes include infections (from minor ones such as the common cold to dangerous ones such as HIV/AIDS), autoimmune diseases, and cancers. Lymphadenopathy is also frequently idiopathic and self-limiting.

Types

Micrograph of dermatopathic lymphadenopathy, a type of lymphadenopathy. H&E stain.

Causes

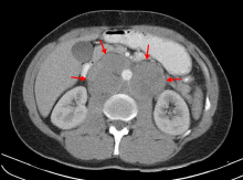
Retroperitoneal lymphadenopathies of testicular seminoma, embrace the aorta. Computed tomography image.

Lymph node enlargement is recognized as a common sign of infectious, autoimmune, or malignant disease. Examples may include:

Less common infectious causes of lymphadenopathy may include bacterial infections such as cat scratch disease, tularemia, brucellosis, or prevotella.

Benign (reactive) lymphadenopathy

Benign lymphadenopathy is a common biopsy finding, and may often be confused with malignant lymphoma. It may be separated into major morphologic patterns, each with its own differential diagnosis with certain types of lymphoma. Most cases of reactive follicular hyperplasia are easy to diagnose, but some cases may be confused with follicular lymphoma. There are six distinct patterns of benign lymphadenopathy:[7]

These morphological patterns are never pure. Thus, reactive follicular hyperplasia can have a component of paracortical hyperplasia. However, this distinction is important for the differential diagnosis of the cause.

Localization

See also

References

  1. King, D; Ramachandra, J; Yeomanson, D (2 January 2014). "Lymphadenopathy in children: refer or reassure?". Archives of Disease in Childhood: Education and Practice Edition. 99: 101–110. doi:10.1136/archdischild-2013-304443. PMID 24385291.
  2. "lymphadenitis" at Dorland's Medical Dictionary
  3. "lymphangitis" at Dorland's Medical Dictionary
  4. Fontanilla, JM; Barnes, A; Von Reyn, CF (September 2011). "Current diagnosis and management of peripheral tuberculous lymphadenitis". Clinical Infectious Diseases. 53 (6): 555–562. doi:10.1093/cid/cir454. PMID 21865192.
  5. Klotz, SA; Ianas, V; Elliott, SP (2011). "Cat-scratch Disease". American Family Physician. 83 (2): 152–155. PMID 21243990.
  6. Butler, T (2009). "Plague into the 21st century". Clinical Infectious Diseases. 49 (5): 736–742. doi:10.1086/604718. PMID 19606935.
  7. 1 2 3 Weiss, LM; O'Malley, D (2013). "Benign lymphadenopathies". Modern Pathology. 26 (Supplement 1): S88–S96. doi:10.1038/modpathol.2012.176. PMID 23281438.
  8. Sweeney, DA; Hicks, CW; Cui, X; Li, Y; Eichacker, PQ (December 2011). "Anthrax infection". American Journal of Respiratory and Critical Care Medicine. 184 (12): 1333–1341. doi:10.1164/rccm.201102-0209CI. PMC 3361358Freely accessible. PMID 21852539.
  9. Kennedy, PG (February 2013). "Clinical features, diagnosis, and treatment of human African trypanosomiasis (sleeping sickness)". Lancet Neurology. 12 (2): 186–194. doi:10.1016/S1474-4422(12)70296-X. PMID 23260189.
  10. 1 2 3 Status and anamnesis, Anders Albinsson. Page 12
  11. Kim, TU; Kim, S; Lee, JW; Lee, NK; Jeon, UB; Ha, HG; Shin, DH (September–October 2012). "Plasma cell type of Castleman's disease involving renal parenchyma and sinus with cardiac tamponade: case report and literature review". Korean Journal of Radiology. 13 (5): 658–663. doi:10.3348/kjr.2012.13.5.658. PMC 3435867Freely accessible. PMID 22977337.
  12. Zhang, H; Wang, R; Wang, H; Xu, Y; Chen, J (June 2012). "Membranoproliferative glomerulonephritis in Castleman's disease: a systematic review of the literature and 2 case reports". Internal Medicine (Tokyo, Japan). 51 (12): 1537–1542. doi:10.2169/internalmedicine.51.6298. PMID 22728487.
  13. Bratucu, E; Lazar, A; Marincaş, M; Daha, C; Zurac, S (March–April 2013). "Aseptic mesenteric lymph node abscesses. In search of an answer. A new entity?" (PDF). Chirurgia (Bucarest, Romania: 1990). 108 (2): 152–160. PMID 23618562.
  14. Leung, A; Sigalet, DL (June 2003). "Acute Abdominal Pain in Children". American Family Physician. 67 (11): 2321–2327.
  15. Glass, C (September 2008). "Role of the Primary Care Physician in Hodgkin Lymphoma". American Family Physician. 78 (5): 615–622. PMID 18788239.
  16. Colon, NC; Chung, DH (2011). "Neuroblastoma". Advances in Pediatrics. 58 (1): 297–311. doi:10.1016/j.yapd.2011.03.011. PMC 3668791Freely accessible. PMID 21736987.
  17. Sagatys, EM; Zhang, L (January 2011). "Clinical and laboratory prognostic indicators in chronic lymphocytic leukemia". Cancer Control. 19 (1): 18–25. PMID 22143059.
  18. Melikoglu, MA; Melikoglu, M (October–December 2008). "The clinical importance of lymphadenopathy in systemic lupus erythematosus" (PDF). Acta Reumatologia Portuguesa. 33 (4): 402–406. PMID 19107085.
  19. Lederman, MM; Margolis, L (June 2008). "The lymph node in HIV pathogenesis". Seminars in Immunology. 20 (3): 187–195. doi:10.1016/j.smim.2008.06.001. PMC 2577760Freely accessible. PMID 18620868.
  20. Quan, D (October 2012). "North American poisonous bites and stings". Critical Care Clinics. 28 (4): 633–659. doi:10.1016/j.ccc.2012.07.010. PMID 22998994.
  21. Komagamine, T; Nagashima, T; Kojima, M; Kokubun, N; Nakamura, T; Hashimoto, K; Kimoto, K; Hirata, K (September 2012). "Recurrent aseptic meningitis in association with Kikuchi-Fujimoto disease: case report and literature review". BMC Neurology. 12: 187–195. doi:10.1186/1471-2377-12-112. PMC 3570427Freely accessible. PMID 23020225.
  22. Noguchi, S; Yatera, K; Shimajiri, S; Inoue, N; Nagata, S; Nishida, C; Kawanami, T; Ishimoto, H; Sasaguri, Y; Mukae, H (2012). "Intrathoracic Rosai-Dorfman disease with spontaneous remission: a clinical report and a review of the literature". The Tokohu Journal of Experimental Medicine. 227 (3): 231–235. doi:10.1620/tjem.227.231. PMID 22789970.
  23. Weiss, PF (April 2012). "Pediatric vasculitis". Pediatric Clinics of North America. 59 (2): 407–423. doi:10.1016/j.pcl.2012.03.013. PMC 3348547Freely accessible. PMID 22560577.
  24. Koh, H; Kamiishi, N; Chiyotani, A; Takahashi, H; Sudo, A; Masuda, Y; Shinden, S; Tajima, A; Kimura, Y; Kimura, T (April 2012). "Eosinophilic lung disease complicated by Kimura's disease: a case report and literature review". Internal Medicine (Tokyo, Japan). 51 (22): 3163–3167. PMID 23154725.
This article is issued from Wikipedia - version of the 11/25/2016. The text is available under the Creative Commons Attribution/Share Alike but additional terms may apply for the media files.