Buccal exostosis
| Buccal exostosis | |
|---|---|
|
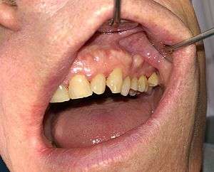
Buccal exostosis along upper left alveolar ridge | |
| Classification and external resources | |
| Specialty | Oral medicine |
| ICD-10 | K10.8 |
A buccal exostosis (also termed alveolar exostosis),[1] is an exostosis (bone prominence) on the buccal surface (cheek side) of the alveolar ridge of the maxilla or mandible. Some consider them a variation of normal anatomy rather than a disease.
Signs and symptoms
Formation on the lower jaw occurs much less commonly than on the upper jaw.[2] They are painless[3] and have no risk of turning into cancer,[4] although they may slowly expand over years,[5] or sometimes more rapidly.[6]
Causes
Why buccal exostoses form is unclear,[2] but it may involve bruxism (tooth clenching and grinding),[2] and genetic factors.[6] Typically they first appear in early adulthood.[5]
Diagnosis
Buccal exostoses are considered different entities to osteomas (e.g. seen in Gardner syndrome),[6] even though the two lesions are histopathologically identical.[7]
Management
Generally buccal exostoses require no treatment. However, they may be easily traumatized causing ulceration,[6] or may contribute to periodontal disease if they become too large,[4] or can interfere with wearing a denture (false teeth).[2] If they are creating problems, they are generally removed with a simple surgical procedure under local anesthetic.[8]
Epidemiology
They are more common in males than females, occurring in a ratio of about 5:1.[6] They are strongly associated with the presence of torus mandibularis and torus palatinus.[6]
References
- ↑ Sakai O (24 May 2011). Head and Neck Imaging Cases. McGraw Hill Professional. p. 910. ISBN 978-0-07-154372-9.
- 1 2 3 4 Mehra P; D'Innocenzo R (18 May 2015). Manual of Minor Oral Surgery for the General Dentist. John Wiley & Sons. p. 300. ISBN 978-1-118-93843-0.
- ↑ Regezi JA; Sciubba JJ; Jordan RCK (15 April 2012). Oral Pathology: Clinical Pathologic Correlations. Elsevier Health Sciences. p. 892. ISBN 1-4557-0269-2.
- 1 2 "Thomas Bond's Book- Palatal & Mandibular Torus, & Exostosis".
- 1 2 Scully C (2013). Oral and Maxillofacial Medicine,The Basis of Diagnosis and Treatment,3: Oral and Maxillofacial Medicine. Elsevier Health Sciences. p. 122. ISBN 0-7020-4948-4.
- 1 2 3 4 5 6 Woo SB (2012). Oral Pathology: A Comprehensive Atlas and Text. Elsevier Health Sciences. p. 383. ISBN 1-4377-2226-1.
- ↑ Pillai KG (31 August 2015). Oral & Maxillofacial Radiology: Basic Principles and Interpretation. JP Medical Ltd. p. 356. ISBN 978-93-5152-854-8.
- ↑ Hupp JR; Tucker MR; Ellis III E (19 March 2013). Contemporary Oral and Maxillofacial Surgery. Elsevier Health Sciences. p. 547. ISBN 978-0-323-22687-5.
