Acinic cell carcinoma
| Acinic cell carcinoma | |
|---|---|
|
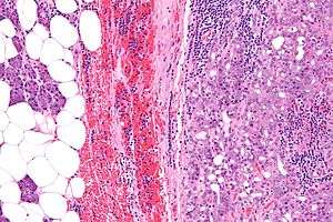
Micrograph of an acinic cell carcinoma (right of image) and acinar glands (parotid gland - left of image). H&E stain. | |
| Classification and external resources | |
| ICD-10 | C07 |
| ICD-9-CM | 142.0 |
| ICD-O | M8550/3 |
Acinic cell carcinoma is a malignant tumor representing 2% of all salivary tumors. 90% of the time found in the parotid gland, 10% intraorally on buccal mucosa or palate. The disease presents as a slow growing mass, associated with pain or tenderness in 50% of the cases. Often appears pseudoencapsulated.
Histology
Basophilic, bland cells similar to acinar cells. Growth pattern: solid - acinar cells, microsytic - small systic spaces mucinous or eosinophilic, papillary-custic - large cystic lined by epithelium, follicular - similar to thyroid tissue.
These tumors which resemble serous acinar cells vary in their behavior from locally aggressive to blatantly malignant.
It can also appear in the breast. The pancreatic form of acinic cell carcinoma is a rare subtype of exocrine pancreatic cancer. Exocrine pancreatic cancers are the most common form of pancreatic cancer when compared to endocrine pancreatic cancer.[1]
Acinic cell carcinomas arise most frequently in the parotid gland. Other sites of primary tumors have included the submandibular gland and other major and minor salivary glands. There have been rare cases of primary tumors involving the parapharyngeal space and the sublingual gland.[2][3]
Epidemiology
Acinic cell carcinoma appears in all age groups, but presents at a younger median age (approx. 52 years) than most other salivary gland cancers. Occurrences in children are quite common.[2]
Acinic cell carcinoma of the lung
Acinic cell carcinoma of the lung is a very rare variant of lung cancer that, in this organ, is classified among the salivary gland-like carcinoma of the lung. Fewer than 1% of malignancies beginning in the lower respiratory tract are acinic cell carcinomas.[4]
Prognosis
Prognosis is good for acinic cell carcinoma of the parotid gland, with five-year survival rates approaching is 90%, and 20-year survival exceeding 50%. Patients with acinic cell carcinomas with high grade transformation (sometimes also called dedifferentiation) have significantly worse survival.[3][5]
The prognosis of an acinic cell carcinoma originating in the lung is much more guarded than cases of this rare histotype occurring in most other organs, but is still considerably better than for other types of lung cancer.[4]
Treatment
a) Surgical resection is mainstay of treatment, whenever possible. If tumor is completely removed, post-operative radiation therapy is typically not needed since acinic cell is considered a low-grade histology. Post-operative radiation therapy for acinic cell carcinoma is used if: 1) margins are positive, 2) incomplete resection, 3) tumor invades beyond gland, 4) positive lymph nodes. b) Neutron beam radiation c) Conventional radiation d) Chemotherapy [2]
Additional images
-

Micrograph of acinic cell carcinoma. Pap stain. Fine needle aspiration specimen.
-

Intermed. mag.
-

Very high mag.
References
- ↑ Coyne JD, Dervan PA (July 2002). "Primary acinic cell carcinoma of the breast". J. Clin. Pathol. 55 (7): 545–7. doi:10.1136/jcp.55.7.545. PMC 1769684
. PMID 12101208. - 1 2 3 "Acinic Cell Carcinoma Overview." Acinic Cell Carcinoma Information Center. Web. 07 Dec. 2009.
- 1 2 Chiosea, SI; Griffith, C; Assaad, A; Seethala, RR (March 2012). "The profile of acinic cell carcinoma after recognition of mammary analog secretory carcinoma.". The American journal of surgical pathology. 36 (3): 343–50. doi:10.1097/pas.0b013e318242a5b0. PMID 22301503.
- 1 2 Travis, William D; Brambilla, Elisabeth; Muller-Hermelink, H Konrad; Harris, Curtis C, eds. (2004). Pathology and Genetics of Tumours of the Lung, Pleura, Thymus and Heart (PDF). World Health Organization Classification of Tumours. Lyon: IARC Press. ISBN 92-832-2418-3. Retrieved 27 March 2010.
- ↑ Thompson, LDR; Aslam, MN; Stall, JN; Udager, AM; Chiosea, S; McHugh, JB (June 2016). "Clinicopathologic and Immunophenotypic Characterization of 25 Cases of Acinic Cell Carcinoma with High-Grade Transformation.". Head and Neck Pathology. 10 (2): 152–160. doi:10.1007/s12105-015-0645-x. PMID 26245749.
Further reading
- Thompson, L.D.R. (2016), Diagnostic Pathology: Head and Neck, 2 ed, Elsevier, ISBN 978-0323392556
- Neville, Brad W. (2002). Oral & maxillofacial pathology (2nd ed.). Philadelphia: W.B. Saunders. ISBN 0-7216-9003-3.
- Kahn, Michael A. Basic Oral and Maxillofacial Pathology. Volume 1. 2001.
