Molluscum contagiosum
| Molluscum contagiosum | |
|---|---|
![]() | |
| Typical flesh-colored, dome-shaped and pearly lesions | |
| Classification and external resources | |
| Specialty | Dermatology |
| ICD-10 | B08.1 |
| ICD-9-CM | 078.0 |
| DiseasesDB | 8337 |
| MedlinePlus | 000826 |
| eMedicine | derm/270 |
| MeSH | D008976 |
Molluscum contagiosum (MC), sometimes called water warts, is a viral infection of the skin and occasionally of the mucous membranes. MC can affect any area of the skin, but is most common on the trunk of the body, arms, groin, and legs.
It is caused by a DNA poxvirus called the molluscum contagiosum virus (MCV). MCV has no non human reservoir (infecting primarily humans, though equids can rarely be infected). The virus that causes molluscum contagiosum is spread from person to person by touching the affected skin. The virus may also be spread by touching a surface with the virus on it, such as a towel, clothing, or toys. Risk factors include being sexually active, and those who are immunodeficient.[1] Four types of MCV are known, MCV-1 to -4; MCV-1 is the most common and MCV-2 is seen usually in adults.[2]
Approximately 122 million people were affected worldwide by molluscum contagiosum as of 2010 (1.8% of the population).[3] It is more common in children.[1] Molluscum contagiosum is most common in children aged one to 11 years old.[4] Some evidence indicates molluscum infections have been on the rise globally since 1966, but these infections are not routinely monitored because they are seldom serious and routinely disappear without treatment. Molluscum contagiosum is contagious until the bumps are gone. Some growths may remain for up to 4 years if not treated.[5]
Signs and symptoms

Molluscum contagiosum lesions are flesh-colored, dome-shaped, and pearly in appearance. They are often 1–5 mm in diameter, with a dimpled center.[6] Molluscum lesions are most commonly found on the face, arms, legs, torso, and armpits in children. Adults typically have molluscum lesions in the genital region and this is considered to be a sexually transmitted infection; however, if genital lesions are found on a child, sexual abuse should be suspected.[2] These lesions are generally not painful, but they may itch or become irritated. Picking or scratching the bumps may lead to a spread of the viral infection responsible for molluscum contagiosum, an additional bacterial infection, and scarring.[2][7] In about 10% of the cases, eczema develops around the lesions.
Individual molluscum lesions may go away on their own within two months and generally clear completely without treatment or scarring in six to twelve months.[2] Mean durations for an outbreak are variously reported from 8[8] to about 18 months,[9][10] but durations are reported as widely as 6 months to 5 years, lasting longer in immunosuppressed individuals.[10]
Transmission
Molluscum contagiosum is extremely contagious.[2] Transmission of the molluscum contagiosum virus can occur many different ways including direct skin contact (e.g., contact sports or sexual activity), contact with an infected surface (fomite), or autoinoculation (self-infection) by scratching or picking molluscum lesions and then touching other parts of the skin not previously affected by the virus.[2] Children are particularly susceptible to autoinoculation and may have widespread clusters of lesions.
The viral infection is limited to a localized area on the topmost layer of the superficial layer of the skin.[11] Once the virus-containing head of the lesion has been destroyed, the infection is gone. The central waxy core contains the virus.
Diagnosis


Diagnosis is made on the clinical appearance; the virus cannot routinely be cultured. The diagnosis can be confirmed by excisional biopsy.
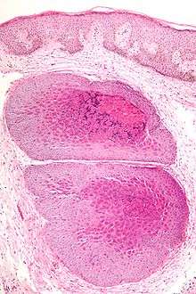
Histologically, molluscum contagiosum is characterized by molluscum bodies in the epidermis, above the stratum basale, which consist of large cells with abundant granular eosinophilic cytoplasm (accumulated virions) and a small peripheral nucleus.[12]
Management
Because molluscum contagiosum is usually self-limiting (resolving without treatment) and treatment options can cause discomfort to children, initial recommendations are often to simply wait for the lesions to resolve on their own.[13] Current treatment options are invasive, requiring tissue destruction and patient discomfort.
Bumps located in the genital area may be treated in an effort to prevent them from spreading.[10] When treatment has resulted in elimination of all bumps, the infection has been effectively cured and will not reappear unless the person is reinfected.[14]
Medications
For mild cases, over-the-counter wart medicines, such as salicylic acid may[15] shorten infection duration. Daily topical application of tretinoin cream may also trigger resolution.[16] These treatments require several months for the infection to clear, and are often associated with intense inflammation and possibly discomfort.
Studies have found cantharidin to be an effective and safe treatment for removing molluscum contagiosum.[17] This medication is usually well-tolerated though mild side effects such as pain or blistering are common.[17] There is no high-quality evidence for cimetidine.[18] However, oral cimetidine has been used as alternative treatment for pediatric population as it is more difficult to use more invasive and discomforting application.
Two randomized, double-blind, placebo-controlled trials have demonstrated the efficacy of a combination of essential oils and iodine in the treatment of molluscum in children.[19]
Imiquimod
Imiquimod is a form of immunotherapy initially proposed as a treatment for molluscum based on promising results in small case series and clinical trials.[20] However, two large randomized controlled trials, specifically requested by the U.S. Food and Drug Administration under the Best Pharmaceuticals for Children Act both demonstrated that imiquimod cream applied three times per week was no more effective than placebo cream for treating molluscum after 18 weeks of treatment in a total of 702 children aged 2–12 years.[21] In 2007, results from those trials—which remain unpublished—were incorporated into FDA-approved prescribing information for imiquimod, which states: "Limitations of Use: Efficacy was not demonstrated for molluscum contagiosum in children aged 2–12."[21][22] In 2007, the FDA also updated imiquimod's label concerning safety issues raised in the two large trials and an FDA-requested pharmacokinetic study (the latter of which was published).[21] The updated safety label reads as follows:
- Potential adverse effects of imiquimod use: "Similar to the studies conducted in adults, the most frequently reported adverse reaction from 2 studies in children with molluscum contagiosum was application site reaction. Adverse events which occurred more frequently in Aldara-treated subjects compared with vehicle-treated subjects generally resembled those seen in studies in indications approved for adults and also included otitis media (5% Aldara vs. 3% vehicle) and conjunctivitis (3% Aldara vs. 2% vehicle). Erythema was the most frequently reported local skin reaction. Severe local skin reactions reported by Aldara-treated subjects in the pediatric studies included erythema (28%), edema (8%), scabbing/crusting (5%), flaking/scaling (5%), erosion (2%) and weeping/exudate (2%)."
- Potential systemic absorption of imiquimod, with negative effects on white blood cell counts overall, and specifically neutrophil counts: "Among the 20 subjects with evaluable laboratory assessments, the median WBC count decreased by 1.4*109/L and the median absolute neutrophil count decreased by 1.42×109 L−1."[23]
Surgery
Surgical treatments include cryosurgery, in which liquid nitrogen is used to freeze and destroy lesions, as well as scraping them off with a curette. Application of liquid nitrogen may cause burning or stinging at the treated site, which may persist for a few minutes after the treatment. With liquid nitrogen, a blister may form at the treatment site, but it will slough off in two to four weeks. Cryosurgery and curette scraping can be painful procedures and can result in residual scarring.[24]
Laser
A 2014 systematic review of case reports and case series concluded that the limited available data suggest pulsed dye laser therapy is a safe and effective treatment for molluscum contagiosum and is generally well-tolerated by children.[24] Side effects seen with pulsed dye laser therapy included mild temporary pain at the site of therapy, bruising (lasting up to 2-3 weeks), and temporary discoloration of the treated skin (as long as 1-6 months).[24] No cases of permanent scarring have been reported.[24] As of 2009, however, there is no evidence for genital lesions.[25]
Prognosis
Most cases of molluscum contagiosum will clear up naturally within two years (usually within nine months). So long as the skin growths are present, there is a possibility of transmitting the infection to another person. When the growths are gone, the possibility of spreading the infection is ended.[14]
Unlike herpesviruses, which can remain inactive in the body for months or years before reappearing, molluscum contagiosum does not remain in the body when the growths are gone from the skin and will not reappear on their own.[14]
One advantage of treatment is to hasten the resolution of the virus. This limits the size of the "pox" scar. If left untreated, molluscum growth can reach sizes as large as a pea or a marble. Spontaneous resolution of large lesions can occur but will leave a larger, crater-like lesion that may take some time to completely heal. As many treatment options are available, the prognosis for minimal scarring is best if treatment is initiated while lesions are small.
Epidemiology
Approximately 122 million people were affected worldwide by molluscum contagiosum as of 2010 (1.8% of the population).[3]
See also
- Acrochordons (also called skin tags—similar in appearance and grow in similar areas)
- Umbilicated lesions
- Wart (caused by the Human papillomavirus; also similar in appearance to molluscum)
References
- 1 2 Hanson D, Diven DG (March 2003). "Molluscum contagiosum". Dermatol. Online J. 9 (2): 2. PMID 12639455.
- 1 2 3 4 5 6 Ramdass, P; Mullick, S; Farber, HF (December 2015). "Viral Skin Diseases". Primary Care (Review). 42 (4): 517-67. doi:10.1016/j.pop.2015.08.006. PMID 26612372.
- 1 2 Vos, Theo; Flaxman, Abraham D; Naghavi, Mohsen; Lozano, Rafael; Michaud, Catherine; Ezzati, Majid; Shibuya, Kenji; Salomonn, Joshua A; Abdalla, Safa; Aboyans, Victor; Abraham, Jerry; Ackerman, Ilana; Aggarwal, Rakesh; Ahn, Stephanie Y; Ali, Mohammed K; AlMazroa, Mohammad A; Alvarado, Miriam; Anderson, H Ross; Anderson, Laurie M; Andrews, Kathryn G; Atkinson, Charles; Baddour, Larry M; Bahalim, Adil N; Barker-Collo, Suzanne; Barrero, Lope H; Bartels, David H; Basanez, Maria-Gloria; Baxter, Amanda; Bell, Michelle L; Benjamin, Emelia J (Dec 15, 2012). "Years lived with disability (YLDs) for 1160 sequelae of 289 diseases and injuries 1990-2010: a systematic analysis for the Global Burden of Disease Study 2010". Lancet. 380 (9859): 2163–96. doi:10.1016/S0140-6736(12)61729-2. PMID 23245607.
- ↑ "Frequently Asked Questions: For Everyone. CDC Molluscum Contagiosum". United States Centers for Disease Control and Prevention. Retrieved 2008-06-29.
- ↑ "Molluscum (Molluscum Contagiosum) FAQ". Centers for Disease Control and Prevention. Retrieved 26 December 2013.
- ↑ Likness, LP (June 2011). "Common dermatologic infections in athletes and return-to-play guidelines.". The Journal of the American Osteopathic Association. 111 (6): 373–379. PMID 21771922.
- ↑ Basta-Juzbašić, A; Čeović, R (March 2014). "Chancroid, lymphogranuloma venereum, granuloma inguinale, genital herpes simplex infection, and molluscum contagiosum". Clinics in Dermatology (Review). 32 (2): 290-8. doi:10.1016/j.clindermatol.2013.08.013. PMID 24559566.
- ↑ Weller R, O'Callaghan CJ, MacSween RM, White MI (1999). "Scarring in molluscum contagiosum: comparison of physical expression and phenol ablation". BMJ. 319 (7224): 1540. doi:10.1136/bmj.319.7224.1540. PMC 28297
. PMID 10591712. - ↑ MedlinePlus Encyclopedia Molluscum Contagiosum
- 1 2 3 Tyring SK (2003). "Molluscum contagiosum: the importance of early diagnosis and treatment". Am. J. Obstet. Gynecol. 189 (3 Suppl): S12–6. doi:10.1067/S0002-9378(03)00793-2. PMID 14532898.
- ↑ "Pamphlets: Molluscum Contagiosum". American Academy of Dermatology. 2006. Retrieved 2008-11-30.
- ↑ Chen, X; Anstey, AV; Bugert, JJ (October 2013). "Molluscum contagiosum virus infection". Lancet Infectious Diseases. 13 (10): 877-88. doi:10.1016/S1473-3099(13)70109-9. PMID 23972567.
- ↑ Prodigy knowledgebase (July 2003). "Molluscum Contagiosum". National Health Service. Archived from the original on 2010-10-13. Retrieved 2010-04-20.
- 1 2 3 "Frequently Asked Questions: For Everyone. CDC Molluscum Contagiosum". United States Centers for Disease Control and Prevention. Retrieved 2008-12-08.
- ↑ Schmitt, Jochen; Diepgen, Thomas L. (2008). "Molluscum contagiosum" (PDF). In Berthold Rzany; Williams, Hywel; Bigby, Michael E.; Diepgen, Thomas L.; Herxheimer, Andrew; Luigi Naldi. Evidence-Based Dermatology (PDF). Evidence-based Medicine. London: BMJ Books. ISBN 1-4051-4518-8.
- ↑ Credo, BV; Dyment, PG (1996). "Molluscum Contagiosum". Adolesc Med. 7 (1): 57–62. PMID 10359957.
- 1 2 Torbeck R, Pan M, DeMoll E, Levitt J (June 2014). "Cantharidin: a comprehensive review of the clinical literature". Dermatology online journal (Review). 20 (6). PMID 24945640.
- ↑ Scheinfeld N (March 2003). "Cimetidine: a review of the recent developments and reports in cutaneous medicine". Dermatol. Online J. 9 (2): 4. PMID 12639457.
- ↑ Biomed. & Pharmaco., 58 (2004); 245-247; J. Drugs Dermatol., 11 (2012);349-353
- ↑ Hanna D, Hatami A, Powell J, et al. (2006). "A prospective randomized trial comparing the efficacy and adverse effects of four recognized treatments of molluscum contagiosum in children". Pediatric dermatology. 23 (6): 574–9. doi:10.1111/j.1525-1470.2006.00313.x. PMID 17156002.
- 1 2 3 Katz, KA (February 2015). "Dermatologists, imiquimod, and treatment of molluscum contagiosum in children: righting wrongs". JAMA Dermatology. 151 (2): 125-6. doi:10.1001/jamadermatol.2014.3335. PMID 25587702.
- ↑ Katz, KA; Swetman, GL (July 2013). "Imiquimod, molluscum, and the need for a better "best pharmaceuticals for children" act". Pediatrics. 132 (1): 1–3. doi:10.1542/peds.2013-0116. PMID 23796740.
- ↑ DailyMed. Aldara (imiquimod) Cream for Topical use (Prescribing information): http://dailymed.nlm.nih.gov/dailymed/lookup.cfm?setid=7fccca4e-fb8f-42b8-9555-8f78a5804ed3
- 1 2 3 4 Griffith, RD; Yazdani Abyaneh, MA; Falto-Aizpurua, L; Nouri, K (November 2014). "Pulsed dye laser therapy for molluscum contagiosum: a systematic review". Journal of Drugs in Dermatology (Review). 13 (11): 1349-52. PMID 25607701.
- ↑ Brown, M; Paulson, C; Henry, SL (Oct 15, 2009). "Treatment for anogenital molluscum contagiosum". American family physician. 80 (8): 864. PMID 19835348.
External links
| Wikimedia Commons has media related to Molluscum contagiosum. |
- Molluscum Center for Disease Control
- Virus Pathogen Database and Analysis Resource (ViPR): Poxviridae
