Patella fracture

Patella fracture
Classification and external resources

A fracture of the patella seen on a lateral view
ICD-10 S82.0
AO 34-A1 - 34-C3
eMedicine 825572

A patella fracture is a fracture of the kneecap, which is one of the most common knee injuries. It is usually the result of a hard blow to the front of the knee. Treatment options for patella fracture include nonsurgical and surgical options, depending on the type of fracture.

An undisplaced fracture of patella takes around 4–6 weeks of immobilization in a cylinder cast to heal, while a displaced fracture requires surgical treatment followed by quadriceps strengthening exercises for complete rehabilitation.

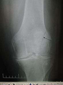
A vertical patella fracture with the fracture line marked by a black arrow

Surgical treatments

Patellectomy (in cases of comminuted fracture) is removal of the entire patella,[1] whereas a partial patellectomy is removal of only a portion of the patella, while any ligaments or tendons that had been connected to the removed portion are connected to the remaining portion. The fracture may require tension band wiring (in case of two part fracture) to unite the fractured bones. Nowadays with advancement of fixation technique comminuted fracture of the patella are being reconstructed (patella saving operations).

References

  1. "Patellectomy". KNEEguru.

2. Essential of orthopedics. J. Maheshowri


This article is issued from Wikipedia - version of the 10/12/2016. The text is available under the Creative Commons Attribution/Share Alike but additional terms may apply for the media files.