Pilon fracture
| Pilon fracture | |
|---|---|
![]() | |
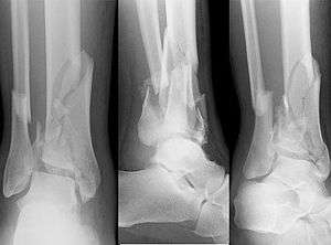
| X-ray of a fracture involving the articular surface of the Tibia | |
| Classification and external resources | |
| Specialty | orthopedic surgery |
| ICD-10 | S82.3 |
| ICD-9-CM | |
A Pilon fracture, also called a Plafond fracture, is a fracture of the distal part of the tibia, involving its articular surface at the ankle joint. Pilon fractures are caused by rotational or axial forces, mostly as a result of falls from a height or motor vehicle accidents. Pilon fractures are rare, comprising 3 to 10 percent of all fractures of the tibia and 1 percent of all lower extremity fractures, but they involve a large part of the weight bearing surface of the Tibia in the ankle joint. Because of this, they may be difficult to fixate and are historically associated with high rates of complications and poor outcome.[1][2][3]
Pilon is the French word for pestle and was introduced into orthopedic literature in 1911 by pioneer French radiologist Étienne Destot.[1]
Classification
Pilon fractures are categorized by the Ruedi-Allgower classification system.
Treatment
The treatment of Pilon fractures depends on the extent of the injury. This includes the involvement of other bones such as the fibula and the talus, involvement of soft tissue, and the fracture pattern. Treatment strategies and fixation methods used include internal and external fixation, as well as staged approaches, with the aim of reducing the fracture,reconstructing the involved bones and restoration of articular surface congruence, with minimal insult to soft tissues.[4] Appropriate wound management is important to reduce the high rate of infectious complications and secondary wound healing problems associated with open Pilon fractures.[5] Vacuum assisted closure wound therapy and using a staged protocol (awaiting soft-tissue recovery before extensive reconstructive efforts) may play a positive role.[5]
See also
References
- 1 2 Mandi, DM; Belin, RP; Banks, J; Barrett, B (Apr 2012). "Pilon fractures.". Clinics in podiatric medicine and surgery. 29 (2): 243–78, viii. doi:10.1016/j.cpm.2012.01.001. PMID 22424487.
- ↑ Liporace, Frank A.; Yoon, Richard S. (August 2012). "Decisions and Staging Leading to Definitive Open Management of Pilon Fractures". Journal of Orthopaedic Trauma. 26 (8): 488–498. doi:10.1097/BOT.0b013e31822fbdbe.
- ↑ Crist, BD; Khazzam, M; Murtha, YM; Della Rocca, GJ (Oct 2011). "Pilon fractures: advances in surgical management.". The Journal of the American Academy of Orthopaedic Surgeons. 19 (10): 612–22. PMID 21980026.
- ↑ Calori GM, Tagliabue L, Mazza E, de Bellis U, Pierannunzii L, Marelli BM, Colombo M, Albisetti W (Nov 2010). "Tibial pilon fractures: which method of treatment?". Injury. 41 (11): 1183–90. doi:10.1016/j.injury.2010.08.041. PMID 20870227.
- 1 2 Tarkin, IS; Clare, MP; Marcantonio, A; Pape, HC (Feb 2008). "An update on the management of high-energy pilon fractures.". Injury. 39 (2): 142–54. doi:10.1016/j.injury.2007.07.024. PMID 18054017.
