Epithelial-myoepithelial carcinoma
| Epithelial-myoepithelial carcinoma | |
|---|---|
![]() | |
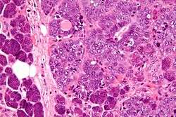
| Micrograph of an epithelial-myoepithelial carcinoma (right of image). The epithelial component has a tubular morphology and is evident only focally (upper left of image). Benign serous glands (parotid salivary gland) are also seen (left of image). H&E stain. | |
| Classification and external resources |
Epithelial-myoepithelial carcinoma, abbreviated EMCa, is a rare malignant tumour that typically arises in a salivary gland and consists of both an epithelial and myoepithelial component. They are predominantly found in the parotid gland[1] and represent approximately 1% of salivary gland tumours.[2]
Diagnosis
EMCas are diagnosed by examination of tissue, e.g. a biopsy.
Its appearance is very similar to adenomyoepithelioma of the breast, which may be the same tumour at a different anatomical site.[3]
The histologic differential diagnosis includes adenoid cystic carcinoma and pleomorphic adenoma.
Prognosis
They generally have a good prognosis.[1] In one larger study, the 5-year and 10-year survival were over 90% and 80% respectively.[4]
See also
Additional images
Intermed. mag.
High mag.
References
- 1 2 Kasper, HU.; Mellin, W.; Kriegsmann, J.; Cheremet, E.; Lippert, H.; Roessner, A. (1999). "Epithelial-myoepithelial carcinoma of the salivary gland--a low grade malignant neoplasm? Report of two cases and review of the literature.". Pathol Res Pract. 195 (3): 189–92. doi:10.1016/S0344-0338(99)80033-8. PMID 10220800.
- ↑ Tralongo, V.; Daniele, E. (1998). "Epithelial-myoepithelial carcinoma of the salivary glands: a review of literature.". Anticancer Res. 18 (1B): 603–8. PMID 9568184.
- ↑ Seifert, G. (Sep 1998). "Are adenomyoepithelioma of the breast and epithelial-myoepithelial carcinoma of the salivary glands identical tumours?". Virchows Arch. 433 (3): 285–8. PMID 9769134.
- ↑ Seethala, RR.; Barnes, EL.; Hunt, JL. (Jan 2007). "Epithelial-myoepithelial carcinoma: a review of the clinicopathologic spectrum and immunophenotypic characteristics in 61 tumors of the salivary glands and upper aerodigestive tract.". Am J Surg Pathol. 31 (1): 44–57. doi:10.1097/01.pas.0000213314.74423.d8. PMID 17197918.
This article is issued from Wikipedia - version of the 3/7/2016. The text is available under the Creative Commons Attribution/Share Alike but additional terms may apply for the media files.
