Exostosis
| Exostosis | |
|---|---|
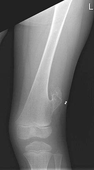
![]() | |
| X-ray of the left femur of a 10-year-old boy with an exostosis at the lateral side, just above the knee. | |
| Classification and external resources | |
| ICD-9-CM | 726.91 |
| DiseasesDB | 18621 |
| Patient UK | Exostosis |
| MeSH | D005096 |
An exostosis (plural: exostoses) is the formation of new bone on the surface of a bone.[1] Exostoses can cause chronic pain ranging from mild to debilitatingly severe, depending on the shape, size, and location of the lesion. It is most commonly found in places like the ribs, where small bone growths form, but sometimes larger growths can grow on places like the ankles, knees, shoulders, elbows and hips. Very rarely are they on the skull.
They normally form on the bones of joints, and can grow upwards. For example, if an extra bone formed on the ankle, it might grow up to the shin.
When used in the phrases "Cartilaginous exostosis" or "Osteocartilaginous exostosis", it is considered synonymous with Osteochondroma. Some sources consider the terms to mean the same thing even without qualifiers, but this interpretation is not universal.
Fossil record
Evidence for exostosis found in the fossil record is studied by paleopathologists, specialists in ancient disease and injury. Exostosis has been reported in dinosaur fossils from several species, including Acrocanthosaurus atokensis, Albertosaurus sarcophagus, Allosaurus fragilis, Gorgosaurus libratus, and Poekilopleuron bucklandii.[2]
Hereditary Multiple Exostoses
Hereditary multiple exostoses (also called: hereditary multiple osteochondromas (HMO) is a condition that is estimated to affect 1 in 50,000 individuals. Multiple benign or noncancerous bone tumors develop in the affected individuals. The number and location vary among affected patients. Most people seem unaffected at birth; however, by the age of 12 years, they develop multiple exostoses.
Types of exostosis
- Surfer's ear (Exostosis of the ear canal)
- Hereditary multiple exostoses (HME)
- Subungual exostosis
- Buccal exostosis
- Torus mandibularis
- Torus palatinus
See also
- Osteoma
- Ganglion cyst
- Bone spur
- List of radiographic findings associated with cutaneous conditions
- Pachyostosis
- Pachyosteosclerosis
- Osteosclerosis
References
- ↑ "exostosis" at Dorland's Medical Dictionary
- ↑ Molnar, R. E., 2001, Theropod paleopathology: a literature survey: In: Mesozoic Vertebrate Life, edited by Tanke, D. H., and Carpenter, K., Indiana University Press, p. 337-363.
External links
- The Ear and Balance Center, The Sonos Group
- MHE Research Foundation (Multiple Hereditary Exostoses)
- Surfer's Ear Explanation, Dr. Shohet
- -1691025402 at GPnotebook (equates "Exostosis" with "osteochondroma")]
