Gallbladder cancer
| Gallbladder cancer | |
|---|---|
![]() | |
| Classification and external resources | |
| Specialty | Oncology |
| ICD-10 | C23–C24 |
| ICD-9-CM | 156 |
| DiseasesDB | 30714 |
| MeSH | D005706 |
Gallbladder cancer is a relatively uncommon cancer. It has peculiar geographical distribution being common in central and South America, central and eastern Europe, Japan and northern India; it is also common in certain ethnic groups e.g. Native American Indians and Hispanics.[1] If it is diagnosed early enough, it can be cured by removing the gallbladder, part of the liver and associated lymph nodes. Most often it is found after symptoms such as abdominal pain, jaundice and vomiting occur, and it has spread to other organs such as the liver.
It is a rare cancer that is thought to be related to gallstones building up, which also can lead to calcification of the gallbladder, a condition known as porcelain gallbladder. Porcelain gallbladder is also rare. Some studies indicate that people with porcelain gallbladder have a high risk of developing gallbladder cancer, but other studies question this. The outlook is poor for recovery if the cancer is found after symptoms have started to occur, with a 5-year survival rate close to 3%.
Signs and symptoms

- Steady pain in the upper right abdomen
- Indigestion Dyspepsia (gas)
- Bile (dark green color) in vomit.
- Weakness
- Loss of appetite
- Weight loss
- Jaundice and vomiting due to obstruction
Early symptoms mimic gallbladder inflammation due to gallstones. Later, the symptoms may be that of biliary and stomach obstruction.
Risk factors
- Gender—approx. twice more common in women than men, usually in seventh and eighth decades.
- Obesity increases the risk for gallbladder cancer.
- Chronic cholecystitis and cholelithiasis.
- Chronic typhoid infection of gallbladder. Chronic Salmonella typhi carriers have 3 to 200 times higher risk of gallbladder cancer than non-carriers and 1–6% lifetime risk of development of cancer.[2]
- Various single nucleotide polymorphisms (SNPs) have been shown to be associated with gallbladder cancer. However, existing genetic studies in GBC susceptibility have so far been insufficient to confirm any association.[3]
Diagnosis
Early diagnosis is not generally possible. People at high risk, such as women or Native Americans with gallstones, are evaluated closely. Transabdominal ultrasound, CT scan, endoscopic ultrasound, MRI, and MR cholangio-pancreatography (MRCP) can be used for diagnosis. A biopsy is the only certain way to tell whether the tumorous growth is malignant or not.[4]
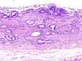
Gallbladder adenocarcinoma lymphatic invasion histopathology
Incidentally discovered gallbladder cancer (adenocarcinoma) following a cholecystectomy.
Gallbladder adenocarcinoma histopathology
Differential diagnosis
Xanthogranulomatous cholecystitis (XGC) is a rare form of gallbladder disease which mimics gallbladder cancer although it is not cancerous.[5][6] It was first discovered and reported in the medical literature in 1976 by J.J. McCoy, Jr., and colleagues.[5][7]
Treatment
The most common and most effective treatment is surgical removal of the gallbladder (cholecystectomy) with part of liver and lymph node dissection. However, with gallbladder cancer's extremely poor prognosis, most patients will die within a year of surgery. If surgery is not possible, endoscopic stenting of the biliary tree can reduce jaundice and a stent in stomach may relieve vomiting. Chemotherapy and radiation may also be used with surgery. If gall bladder cancer is diagnosed after cholecystectomy for stone disease (incidental cancer), reoperation to remove part of liver and lymph nodes is required in most cases. When it is done as early as possible, patients have the best chance of long-term survival and even cure.[8]
Epidemiology
Most tumors are adenocarcinomas, with a small percent being squamous cell carcinomas.
- Rare tumor, the U.S. incidence is 3 cases per 100,000 people each year
- Gallbladder cancer is more common in South American countries, Japan, and Israel. In Chile gallbladder cancer is the fourth most common cause of cancer deaths.
- 5th most common gastrointestinal cancer
- Up to 5 times more common in women than men depending on population (e.g. 73% female in China [9]).
- The age adjusted incidence rates of gall bladder cancer is highest in Chile followed by In the state of Assam in India[10]
Prognosis
The cancer commonly spreads to the liver, bile duct, stomach, and duodenum.
References
- ↑ Kapoor VK, McMichael AJ (2003). "Gallbladder cancer: an 'Indian' disease". Natl Med J India. 16 (4): 209–13. PMID 14606770.
- ↑ Ferreccio, C. (2012). "Salmonella typhi and Gallbladder Cancer". Bacteria and Cancer. p. 117. doi:10.1007/978-94-007-2585-0_5. ISBN 978-94-007-2584-3.
- ↑ Srivastava K, Srivastava A, Sharma KL, Mittal B. Candidate gene studies in gallbladder cancer: a systematic review and meta-analysis. Mutat Res. 2011 Jul–Oct;728(1–2):67–79.
- ↑ "Tests for gallbladder cancer". Cancer Research UK. Retrieved 17 September 2012.
- 1 2 Makino I, Yamaguchi T, Sato N, Yasui T, Kita I (August 2009). "Xanthogranulomatous cholecystitis mimicking gallbladder carcinoma with a false-positive result on fluorodeoxyglucose PET". World J. Gastroenterol. 15 (29): 3691–3. doi:10.3748/wjg.15.3691. PMC 2721248
. PMID 19653352. - ↑ Rao RV, Kumar A, Sikora SS, Saxena R, Kapoor VK (2005). "Xanthogranulomatous cholecystitis: differentiation from associated gall bladder carcinoma". Trop Gastroenterol. 26 (1): 31–3. PMID 15974235.
- ↑ McCoy JJ, Vila R, Petrossian G, McCall RA, Reddy KS (March 1976). "Xanthogranulomatous cholecystitis. Report of two cases". J S C Med Assoc. 72 (3): 78–9. PMID 1063276.
- ↑ Kapoor VK (March 2001). "Incidental gallbladder cancer". Am. J. Gastroenterol. 96 (3): 627–9. doi:10.1111/j.1572-0241.2001.03597.x. PMID 11280526.
- ↑ Hsing AW, Gao YT, Han TQ, et al. (December 2007). "Gallstones and the risk of biliary tract cancer: a population-based study in China". Br. J. Cancer. 97 (11): 1577–82. doi:10.1038/sj.bjc.6604047. PMC 2360257
. PMID 18000509. - ↑ National Cancer Registry Programme (2013).Three-year report of population based cancer registries:2009-2011. NCDIR-ICMR,Bangalore.
External links
- U.S. National Cancer Institute Gallbladder Cancer Treatment (www.cancer.gov)
- The Johns Hopkins Esophageal Cancer Web page
