Porcelain gallbladder
| Porcelain gallbladder | |
|---|---|
|
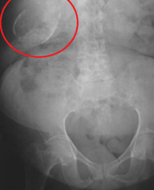
Porcelain gallbladder on X-ray | |
| Classification and external resources | |
| ICD-9-CM | 575.8 |
| eMedicine | radio/569 |
Porcelain gallbladder is a calcification of the gallbladder believed to be brought on by excessive gallstones, although the exact cause is not clear. As with gallstone disease in general, this condition occurs predominantly in overweight female patients of middle age. It is a morphological variant of chronic cholecystitis. Inflammatory scarring of the wall, combined with dystrophic calcification within the wall transforms the gallbladder into a porcelain-like vessel. Removal of the gallbladder (cholecystectomy) is the recommended treatment.
Association with cancer
Porcelain gallbladder is associated with gallbladder cancer, but the precise nature of the association is uncertain. Two review articles examined the association between cancer of the gallbladder and calcified gallbladder. One study reported an incidence of gallbladder cancer of about 1% in patients with calcified gallbladder. Another study found that of 69 calcified gallbladders, 3 of them contained cancer.[1][2] A recent review of 340 patients showed an overall rate of gallbladder malignancy in patients with gallbladder wall calcification of 6%.[3]
There are two types of wall calcification: diffuse intramural calcification in the muscular layer, and selective mucosal calcification - which poses a significant risk for cancer in 7%, in comparison with the first type, which is not premalignant.[4]
Symptoms
Symptoms can include abdominal pain (especially after eating), jaundice, and vomiting. First symptom to appear is jaundice followed by right upper quadrant pain. in the wall of the gallbladder
Diagnosis
Abdominal radiography (X-ray), abdominal ultrasound or CT scan.
Treatment
Due to the increased risk for gallbladder cancer, the recommended treatment is cholecystectomy which usually includes pre-operative or intra-operative imaging of the biliary tree. Cholecystectomy may be performed via an open incision or via laparoscopic methods, but gallbladder anatomy and consistency may complicate the operation.[5]
References
- ↑ Towfigh, S; McFadden, DW; Cortina, GR; Thompson Jr, JE; Tompkins, RK; Chandler, C; Hines, OJ (2001). "Porcelain gallbladder is not associated with gallbladder carcinoma". The American surgeon. 67 (1): 7–10. PMID 11206901.
- ↑ Stephen, Antonia E.; Berger, David L. (2001). "Carcinoma in the porcelain gallbladder: A relationship revisited". Surgery. 129 (6): 699–703. doi:10.1067/msy.2001.113888. PMID 11391368.
- ↑ Schnelldorfer, Thomas (June 2013). "Porcelain Gallbladder: A Benign Process or Concern for Malignancy?". Journal of Gastrointestinal Surgery. 17 (6): 1161–1168. doi:10.1007/s11605-013-2170-0. PMID 23423431.
- ↑ http://www.eurorad.org/eurorad/case.php?id=9373
- ↑ Tomioka, T.; Tajima, Y.; Inoue, K.; Onizuka, S.; Ikematsu, Y.; Kanematsu, T. (March 1997). "Laparoscopic Cholecystectomy Is a Safe Procedure for the Treatment of Porcelain Gallbladder". Endoscopy. 29 (03): 225–225. doi:10.1055/s-2007-1004172. PMID 9201480.
External links
- eMedicine.com – Porcelain Gallbladder by Ali Nawaz Khan and Margaret Aird
