Gallstone
| Gallstone | |
|---|---|
| cholelith | |
|
Numerous small gallstones made up largely of cholesterol | |
| Classification and external resources | |
| Pronunciation | cholelith /ˈkoʊləlɪθ/), cholelithiasis /ˌkoʊləlɪˈθaɪəsᵻs/ |
| Specialty | General surgery |
| ICD-10 | K80 |
| ICD-9-CM | 574 |
| OMIM | 600803 |
| DiseasesDB | 2533 |
| MedlinePlus | 000273 |
| eMedicine | emerg/97 |
| MeSH | D042882 |
A gallstone is a stone formed within the gallbladder out of bile components.[1] The term cholelithiasis may refer to the presence of stones in the gallbladder or to the diseases caused by gallstones.[2] Most people with gallstones (about 80%) never have symptoms.[1][3] In 1–4% of those with gallstones, a crampy pain in the right upper part of the abdomen, known as biliary colic, occurs each year.[4] Complications of gallstones include inflammation of the gallbladder, inflammation of the pancreas, and liver inflammation.[1][4] Symptoms of these complications may include pain of more than five hours duration, fever, yellowish skin, vomiting, or tea-color urine.[1]
Risk factors for gallstones include birth control pills, pregnancy, a family history of gallstones, obesity, diabetes, liver disease, or rapid weight loss. Gallstones are formed in the gallbladder, typically from either cholesterol or bilirubin.[1] Gallstones may be suspected based on symptoms.[4] Diagnosis is then typically confirmed by ultrasound. Complications may be detected on blood tests.[1]
Prevention is by maintaining a healthy weight and eating a proper diet. If there are no symptoms, treatment is usually not needed. In those who are having gallbladder attacks surgery to remove the gallbladder is typically recommended. This can be either done through several small incisions or through a single larger incision. Surgery is typically done under general anesthesia. In those who are unable to have surgery, medication to try to dissolve the stones or shock wave lithotripsy may be tried.[1]
In the developed world, 10–15% of adults have gallstones.[4] Rates in many parts of Africa, however, are as low as 3%.[5] Gallbladder and biliary related diseases occurred in about 104 million people (1.6%) in 2013 and they resulted in 106,000 deaths.[6][7] Women more commonly have stones than men and they occur more commonly after the age of 40. Certain ethnic groups have gallstones more often than others. For example, 48% of American Indians have gallstones. Once the gallbladder is removed, outcomes are generally good.[1]

Definitions
Gallstone disease refers to the condition where gallstones are either in the gallbladder or common bile duct.[2] The presence of stones in the gallbladder is referred to as cholelithiasis, from the Greek chol- (bile) + lith- (stone) + iasis- (process). If gallstones migrate into the ducts of the biliary tract, the condition is referred to as choledocholithiasis, from the Greek chol- (bile) + docho- (duct) + lith- (stone) + iasis- (process). Choledocholithiasis is frequently associated with obstruction of the biliary tree, which in turn can lead to acute ascending cholangitis, from the Greek: chol- (bile) + ang- (vessel) + itis- (inflammation), a serious infection of the bile ducts. Gallstones within the ampulla of Vater can obstruct the exocrine system of the pancreas, which in turn can result in pancreatitis.
Signs and symptoms

Gallstones may be asymptomatic, even for years. These gallstones are called "silent stones" and do not require treatment.[8][9] The size and number of gallstones present does not appear to influence whether or not people are symptomatic or asymptomatic.[10] A characteristic symptom of gallstones is a gallstone attack, in which a person may experience colicky pain in the upper-right side of the abdomen, often accompanied by nausea and vomiting, that steadily increases for approximately 30 minutes to several hours. A person may also experience referred pain between the shoulder blades or below the right shoulder. These symptoms may resemble those of a "kidney stone attack". Often, attacks occur after a particularly fatty meal and almost always happen at night, and after drinking.
In addition to pain, nausea, and vomiting, a person may experience a fever. If the stones block the duct and cause bilirubin to leak into the bloodstream and surrounding tissue, there may also be jaundice and itching. This can also lead to confusion. If this is the case, the liver enzymes are likely to be raised. [11]
Other complications
Rarely, in cases of severe inflammation, gallstones may erode through the gallbladder into adherent bowel potentially causing an obstruction termed gallstone ileus.[12]
Other complications include ascending cholangitis if there is a bacterial infection which can cause purulent inflammation in the biliary tree and liver, and acute pancreatitis as blockage of the bile ducts can prevent active enzymes being secreted into the bowel, instead damaging the pancreas. [11]
Risk factors
Gallstone risk increases for females (especially before menopause) and for people near or above 40 years;[13] the condition is more prevalent among both North and South Americans and among those of European descent than among other ethnicities. A lack of melatonin could significantly contribute to gallbladder stones, as melatonin inhibits cholesterol secretion from the gallbladder, enhances the conversion of cholesterol to bile, and is an antioxidant, which is able to reduce oxidative stress to the gallbladder.[14] Researchers believe that gallstones may be caused by a combination of factors, including inherited body chemistry, body weight, gallbladder motility (movement), and low calorie diet. The absence of such risk factors does not, however, preclude the formation of gallstones.
A clear relationship has been proven between diet and gallstone formation. According to a study limited to 80 patients in Nepal, non-vegetarians have 9 times the incidence of gallstones compared to vegetarians.[15] The methodology of the study has been disputed.[16] Nutritional factors that may increase risk of gallstones include constipation; eating fewer meals per day; low intake of the nutrients folate, magnesium, calcium, and vitamin C;[17] and, at least for men, a high intake of carbohydrate, a high glycemic load, and high glycemic index diet.[18] Wine and whole-grained bread may decrease the risk of gallstones.[19]
Rapid weight loss increases risk of gallstones.[20] Patients taking orlistat, a weight loss drug, may already be at increased risk for the formation of gall stones. Weight loss with orlistat can increase the risk of gall stones.[21] On the contrary, ursodeoxycholic acid (UCDA), a bile acid, also a drug marketed as Ursodiol, appears to prevent formation of gallstones during weight loss.[22] A high fat diet during weight loss also appears to prevent gallstones.[22]
Pigment gallstones are most commonly seen in the developing world. Risk factors for pigment stones include hemolytic anemias (such as from sickle-cell disease and hereditary spherocytosis), cirrhosis, and biliary tract infections.[23] People with erythropoietic protoporphyria (EPP) are at increased risk to develop gallstones.[24][25] Additionally, prolonged use of proton pump inhibitors has been shown to decrease gallbladder function, potentially leading to gallstone formation.[26]
Pathophysiology
Cholesterol gallstones develop when bile contains too much cholesterol and not enough bile salts. Besides a high concentration of cholesterol, two other factors are important in causing gallstones. The first is how often and how well the gallbladder contracts; incomplete and infrequent emptying of the gallbladder may cause the bile to become overconcentrated and contribute to gallstone formation. This can be caused by high resistance to the flow of bile out of the gallbladder due to the complicated internal geometry of the cystic duct.[27] The second factor is the presence of proteins in the liver and bile that either promote or inhibit cholesterol crystallization into gallstones. In addition, increased levels of the hormone estrogen, as a result of pregnancy or hormone therapy, or the use of combined (estrogen-containing) forms of hormonal contraception, may increase cholesterol levels in bile and also decrease gallbladder movement, resulting in gallstone formation.
Composition
Gallstones can vary in size and shape from as small as a grain of sand to as large as a golf ball.[28] The gallbladder may contain a single large stone or many smaller ones. Pseudoliths, sometimes referred to as sludge, are thick secretions that may be present within the gallbladder, either alone or in conjunction with fully formed gallstones. The clinical presentation is similar to that of cholelithiasis. The composition of gallstones is affected by age, diet and ethnicity.[29] On the basis of their composition, gallstones can be divided into the following types:
-
Gallbladder opened to show small cholesterol gallstones
-

µCT of a gallstone
-

The large, yellow stone is largely cholesterol, while the green-to-brown stones is mostly bile pigments
-
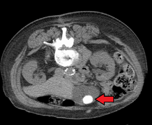
Images of a CT of gallstones
-
Large gallstone
Cholesterol stones
Cholesterol stones vary from light yellow to dark green or brown or chalk white and are oval, usually solitary, between 2 and 3 cm long, each often having a tiny, dark, central spot. To be classified as such, they must be at least 80% cholesterol by weight (or 70%, according to the Japanese- classification system).[30] Between 35% and 90% of stones are cholesterol stones.[3]
Bilirubin stones
Bilirubin ("pigment", "black pigment") stones are small, dark (often appearing black), and usually numerous. They are composed primarily of bilirubin (insoluble bilirubin pigment polymer) and calcium (calcium phosphate) salts that are found in bile. They contain less than 20% of cholesterol (or 30%, according to the Japanese-classification system).[30] Between 2% and 30% of stones are bilirubin stones.[3]
Mixed stones
Mixed ("Brown Pigment") stones typically contain 20–80% cholesterol (or 30–70%, according to the Japanese- classification system).[30] Other common constituents are calcium carbonate, palmitate phosphate, bilirubin and other bile pigments (calcium bilirubinate, calcium palmitate and calcium stearate). Because of their calcium content, they are often radiographically visible. They typically arise secondary to infection of the biliary tract which results in the release of β-glucuronidase (by injured hepatocytes and bacteria) which hydrolyzes bilirubin glucuronides and increases the amount of unconjugated bilirubin in bile. Between 4% and 20% of stones are mixed.[3]
Diagnosis

Diagnosis is than typically confirmed by ultrasound. Complications may be detected on blood tests.[1]
A positive Murphy's sign is a common finding on physical examination during a gallbladder attack.
Treatment
Surgical
Cholecystectomy (gallbladder removal) has a 99% chance of eliminating the recurrence of cholelithiasis. Surgery is only indicated in symptomatic patients. The lack of a gallbladder may have no negative consequences in many people. However, there is a portion of the population—between 10 and 15%—who develop a condition called postcholecystectomy syndrome[31] which may cause gastrointestinal distress and persistent pain in the upper-right abdomen, as well as a 10% risk of developing chronic diarrhea.[32]
There are two surgical options for cholecystectomy:
- Open cholecystectomy is performed via an abdominal incision (laparotomy) below the lower right ribs. Recovery typically requires 3–5 days of hospitalization, with a return to normal diet a week after release and to normal activity several weeks after release.[8]
- Laparoscopic cholecystectomy, introduced in the 1980s,[33] is performed via three to four small puncture holes for a camera and instruments. Post-operative care typically includes a same-day release or a one night hospital stay, followed by a few days of home rest and pain medication.[8] Laparoscopic cholecystectomy patients can, in general, resume normal diet and light activity a week after release, with some decreased energy level and minor residual pain continuing for a month or two. Studies have shown that this procedure is as effective as the more invasive open cholecystectomy, provided the stones are accurately located by cholangiogram prior to the procedure so that they can all be removed.
Medical
Cholesterol gallstones can sometimes be dissolved with ursodeoxycholic acid taken by mouth, but it may be necessary for the person to take this medication for years.[34] Gallstones may recur, however, once the drug is stopped. Obstruction of the common bile duct with gallstones can sometimes be relieved by endoscopic retrograde sphincterotomy (ERS) following endoscopic retrograde cholangiopancreatography (ERCP). Gallstones can be broken up using a procedure called extracorporeal shock wave lithotripsy (often simply called "lithotripsy"),[34] which is a method of concentrating ultrasonic shock waves onto the stones to break them into tiny pieces. They are then passed safely in the feces. However, this form of treatment is suitable only when there is a small number of gallstones.
Other animals
Gallstones are a valuable by-product of animals butchered for meat because their use as a purported antipyretic and antidote in the folk remedies of some cultures, in particular, in China. The finest gallstones tend to be sourced from old dairy cows, which are called niuhuang (yellow thing of cattle) in Chinese. Much as in the manner of diamond mines, slaughterhouses carefully scrutinize workers for gallstone theft.[35]
See also
References
- 1 2 3 4 5 6 7 8 9 "Gallstones". NIDDK. November 2013. Retrieved 27 July 2016.
- 1 2 Internal Clinical Guidelines Team (October 2014). "Gallstone Disease: Diagnosis and Management of Cholelithiasis, Cholecystitis and Choledocholithiasis. Clinical Guideline 188": 101. PMID 25473723.
- 1 2 3 4 Lee, JY; Keane, MG; Pereira, S (June 2015). "Diagnosis and treatment of gallstone disease.". The Practitioner. 259 (1783): 15–9, 2. PMID 26455113.
- 1 2 3 4 Ansaloni, L (2016). "2016 WSES guidelines on acute calculous cholecystitis.". World journal of emergency surgery : WJES. 11: 25. PMID 27307785.
- ↑ editors, Ronnie A. Rosenthal, Michael E. Zenilman, Mark R. Katlic, (2011). Principles and practice of geriatric surgery (2nd ed. ed.). Berlin: Springer. p. 944. ISBN 9781441969996.
- ↑ Global Burden of Disease Study 2013, Collaborators (22 August 2015). "Global, regional, and national incidence, prevalence, and years lived with disability for 301 acute and chronic diseases and injuries in 188 countries, 1990-2013: a systematic analysis for the Global Burden of Disease Study 2013.". Lancet (London, England). 386 (9995): 743–800. PMID 26063472.
- ↑ GBD 2013 Mortality and Causes of Death, Collaborators (10 January 2015). "Global, regional, and national age-sex specific all-cause and cause-specific mortality for 240 causes of death, 1990-2013: a systematic analysis for the Global Burden of Disease Study 2013.". Lancet (London, England). 385 (9963): 117–71. PMID 25530442.
- 1 2 3 National Institute of Diabetes and Digestive and Kidney Diseases (2007). "Gallstones" (PDF). Bethesda, Maryland: National Digestive Diseases Information Clearinghouse, National Institutes of Health, United States Department of Health and Human Services. Retrieved 2010-11-06.
- ↑ Heuman DM, Mihas AA, Allen J (2010). "Cholelithiasis". Omaha, Nebraska: Medscape (WebMD). Retrieved 2010-11-06.
- ↑ Acalovschi, Monica; Blendea, Dan; Feier, Cristina; Letia, Alfred I.; Raitu, Nadia; Dumitrascu, Dan L.; Veres, Adina (2003). "Risk factors for symptomatic gallstones in patients with liver cirrhosis: a case-control study". The American Journal of Gastroenterology. 98 (8): 1856–1860. doi:10.1111/j.1572-0241.2003.07618.x. PMID 12907344.
- 1 2 "Gallstones (Cholelithiasis) Clinical Presentation: History, Physical Examination". emedicine.medscape.com. Retrieved 2016-11-14.
- ↑ Fitzgerald JE, Fitzgerald LA, Maxwell-Armstrong CA, Brooks AJ (2009). "Recurrent gallstone ileus: time to change our surgery?". Journal of Digestive Diseases. 10 (2): 149–151. doi:10.1111/j.1751-2980.2009.00378.x. PMID 19426399.
- ↑ Roizen MF and Oz MC, Gut Feelings: Your Digestive System, pp. 175–206 in Roizen and Oz (2005)
- ↑ Koppisetti, Sreedevi; Jenigiri, Bharat; Terron, M. Pilar; Tengattini, Sandra; Tamura, Hiroshi; Flores, Luis J.; Tan, Dun-Xian; Reiter, Russel J. (2008). "Reactive Oxygen Species and the Hypomotility of the Gall Bladder as Targets for the Treatment of Gallstones with Melatonin: A Review". Digestive Diseases and Sciences. 53 (10): 2592–603. doi:10.1007/s10620-007-0195-5. PMID 18338264.
- ↑ Thunell S (2009). "Prevalence of different types of gallstone in the patients with cholelithiasis at Kathmandu Medical College, Nepal". PubMed. Retrieved 2015-10-11.
- ↑ Shrestha, Rojeet; Gyawali, P; Yadav, BK; Poudel, Bibek (2009-01-01). "In response to the article entitled "Prevalence of different types ofgallstone in the patients with cholelithiasis at Kathmandu MedicalCollege" by Pradhan SB, Joshi MR and Vaidya A published in KUMJ2009 Vol 7, No. 3, Issue 25, 268-71". Kathmandu University Medical Journal. 7 (28). ISSN 1812-2027.
- ↑ Ortega RM, Fernández-Azuela M, Encinas-Sotillos A, Andrés P, López-Sobaler AM (1997). "Differences in diet and food habits between patients with gallstones and controls". Journal of the American College of Nutrition. 16 (1): 88–95. doi:10.1080/07315724.1997.10718655. PMID 9013440. Retrieved 2010-11-06.
- ↑ Tsai, C.-J.; Leitzmann, M. F.; Willett, W. C.; Giovannucci, E. L. (2005-06-01). "Dietary carbohydrates and glycaemic load and the incidence of symptomatic gall stone disease in men". Gut. 54 (6): 823–828. doi:10.1136/gut.2003.031435. ISSN 1468-3288. PMC 1774557
. PMID 15888792. - ↑ Misciagna, Giovanni; Leoci, Claudio; Guerra, Vito; Chiloiro, Marisa; Elba, Silvana; Petruzzi, José; Mossa, Ascanio; Noviello, Maria R.; Coviello, Angelo; Minutolo, Marino Capece; Mangini, Vito; Messa, Caterina; Cavallini, Aldo; Michele, Giampiero De; Giorgio, Italo (1996). "Epidemiology of cholelithiasis in southern Italy. Part II". European Journal of Gastroenterology & Hepatology. 8 (6): 585–93. doi:10.1097/00042737-199606000-00017.
- ↑ Choices, NHS. "Should you lose weight fast? - Live Well—NHS Choices". www.nhs.uk. Retrieved 2016-02-16.
- ↑ Commissioner, Office of the. "Safety Information—Xenical (orlistat) capsules". www.fda.gov. Retrieved 2016-06-18.
- 1 2 Stokes, Caroline S.; Gluud, Lise Lotte; Casper, Markus; Lammert, Frank (2014-07-01). "Ursodeoxycholic Acid and Diets Higher in Fat Prevent Gallbladder Stones During Weight Loss: A Meta-analysis of Randomized Controlled Trials". Clinical Gastroenterology and Hepatology. 12 (7): 1090–1100.e2. doi:10.1016/j.cgh.2013.11.031. ISSN 1542-3565.
- ↑ Trotman, Bruce W.; Bernstein, Seldon E.; Bove, Kevin E.; Wirt, Gary D. (1980). "Studies on the Pathogenesis of Pigment Gallstones in Hemolytic Anemia". Journal of Clinical Investigation. 65 (6): 1301–8. doi:10.1172/JCI109793. PMC 371467
. PMID 7410545. - ↑ Endocrine and Metabolic Disorders: Cutaneous Porphyrias, pp. 63–220 in Beers, Porter and Jones (2006)
- ↑ Thunell S (2008). "Endocrine and Metabolic Disorders: Cutaneous Porphyrias". Whitehouse Station, New Jersey: Merck Sharp & Dohme Corporation. Retrieved 2010-11-07.
- ↑ M. A. Cahan, M. A.; L. Balduf; K. Colton; B. Palacioz; W. McCartney; T. M. Farrell (2006). "Proton pump inhibitors reduce gallbladder function". Surgical Endoscopy. 20 (9): 1364–1367. doi:10.1007/s00464-005-0247-x. PMID 16858534.
- ↑ Experimental investigation of the flow of bile in patient specific cystic duct models M Al-Atabi, SB Chin…, Journal of biomechanical engineering, 2010
- ↑ Gallstones—Cholelithiasis; Gallbladder attack; Biliary colic; Gallstone attack; Bile calculus; Biliary calculus Last reviewed: July 6, 2009. Reviewed by: George F. Longstreth. Also reviewed by David Zieve
- ↑ Channa, Naseem A.; Khand, Fateh D.; Khand, Tayab U.; Leghari, Mhhammad H.; Memon, Allah N. (2007). "Analysis of human gallstones by Fourier Transform Infrared (FTIR)". Pakistan Journal of Medical Sciences. 23 (4): 546–50. ISSN 1682-024X. Retrieved 2010-11-06.
- 1 2 3 Kim IS, Myung SJ, Lee SS, Lee SK, Kim MH (2003). "Classification and nomenclature of gallstones revisited" (PDF). Yonsei Medical Journal. 44 (4): 561–70. ISSN 0513-5796. PMID 12950109. Retrieved 2010-11-06.
- ↑ Jensen (2010). "Postcholecystectomy syndrome". Omaha, Nebraska: Medscape (WebMD). Retrieved 2011-01-20.
- ↑ Marks, Janet; Shuster, Sam; Watson, A. J. (1966). "Small-bowel changes in dermatitis herpetiformis". The Lancet. 288 (7476): 1280–2. doi:10.1016/S0140-6736(66)91692-8. PMID 4163419.
- ↑ Keus, Frederik; de Jong, Jeroen; Gooszen, H G; Laarhoven, C JHM; Keus, Frederik (2006). "Laparoscopic versus open cholecystectomy for patients with symptomatic cholecystolithiasis". Cochrane Database of Systematic Reviews (4): CD006231. doi:10.1002/14651858.CD006231. PMID 17054285.
- 1 2 National Health Service (2010). "Gallstones — Treatment". NHS Choices: Health A-Z—Conditions and treatments. London: National Health Service. Retrieved 2010-11-06.
- ↑ "Interview with Darren Wise. Transcrip". Omaha, Nebraska: Medscape (WebMD). Retrieved 2010-11-06.
External links
| Wikimedia Commons has media related to Gallstones. |
- MedlinePlus Encyclopedia Gallbladder removal
- 5-Minute Clinical Consult Cholelithiasis
- cholelithiasis US Classic gallstone with shadow and cholecystitis
- Gallstones In-Depth Report from nytimes.com.

