May–Hegglin anomaly

May–Hegglin anomaly
Classification and external resources
Specialty hematology
ICD-10 D72.0
ICD-9-CM 288.2
OMIM 155100
DiseasesDB 29517
eMedicine ped/1383

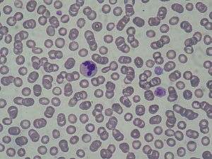
May–Hegglin anomaly (MHA), also known as Dohle leukocyte inclusions with giant platelets and macrothrombocytopenia with leukocyte inclusions,[1] is a rare genetic disorder of the blood platelets that causes them to be abnormally large.

History

MHA is named for German physician Richard May (January 7, 1863 – 1936) and Swiss physician Robert Hegglin.[2][3][4] The disorder was first described by Richard May in 1909 and was subsequently described by Robert Hegglin in 1945.

Pathogenesis

MHA is believed to be associated with the MYH9 gene.[5] The pathogenesis of the disorder had been unknown until recently, when autosomal dominant mutations in the gene encoding non-muscle myosin heavy chain IIA (MYH9) were identified. Unique cytoplasmic inclusion bodies are aggregates of nonmuscle myosin heavy chain IIA, and are only present in granulocytes. It is not yet known why inclusion bodies are not present in platelets, monocytes, and lymphocytes, or how giant platelets are formed. MYH9 is also found to be responsible for several related disorders with macrothrombocytopenia and leukocyte inclusions, including Sebastian, Fechtner, and Epstein syndromes, which feature deafness, nephritis, and/or cataract.[5] MHA is also a feature of the Alport syndrome (hereditary nephritis with sensorineural hearing loss).[6]

Presentation

In the leukocytes, the presence of very small rods (around 3 micrometers), or Dohle-Like bodies can be seen in the cytoplasm.

Treatment

In many cases, MHA requires no treatment. However, in extreme cases, blood platelet transfusions may be necessary

References

  1. Online Mendelian Inheritance in Man (OMIM) 155100
  2. synd/113 at Who Named It?
  3. R. May. Leukocyteneinschlüsse. Kasuistische Mitteilung. Deutsches Archiv für klinische Medizin, Leipzig, 1909, 96: 1-6.
  4. R. Hegglin. Über eine neue Form einer konstitutionellen Leukozytenanomalie, kombiniert mit Throbopathie. Schweizerische medizinische Wochenschrift, Basel, 1945, 75: 91-92.
  5. 1 2 Saito, H.; Kunishima, S. (Apr 2008). "Historical hematology: May-Hegglin anomaly". American Journal of Hematology. 83 (4): 304–306. doi:10.1002/ajh.21102. ISSN 0361-8609. PMID 17975807.
  6. Noris P et al. Thrombocytopenia, giant platelets, and leukocyte inclusion bodies (May-Hegglin anomaly): clinical and laboratory findings. Am J Med 1998;104(4):355-60
This article is issued from Wikipedia - version of the 3/21/2016. The text is available under the Creative Commons Attribution/Share Alike but additional terms may apply for the media files.